切换至 "中华医学电子期刊资源库"

中华肺部疾病杂志(电子版) ›› 2026, Vol. 19 ›› Issue (01) : 15 -21. doi: 10.3877/cma.j.issn.1674-6902.2026.01.003

论著

miR-766-3p/PNCK/mTOR通路在气道上皮细胞机械损伤中的作用研究
赖燕婷1,2, 黄茂宏1,2, 洪平阳1,2, 曾惠清1,2, 杜艳萍1,2, 张孝斌1,2,()   
  1. 1361000 厦门,厦门大学附属中山医院呼吸与危重症医学科
    2350000 福州,福建医科大学临床医学院
  • 收稿日期:2025-03-09 出版日期:2026-02-25
  • 通信作者: 张孝斌
  • 基金资助:
    国家自然科学基金面上项目(82170103); 厦门市科技局卫生指导性项目(3502Z20224ZD1053)

Study on the mechanism of the miR-766-3p/PNCK/mTOR signaling pathway in mechanical injury of airway epithelial cells

Yanting Lai1,2, Maohong Huang1,2, Pingyan Hong1,2, Huiqing Zeng1,2, Yanping Du1,2, Xiaobin Zhang1,2,()   

  1. 1Department of Pulmonary and Critical Care Medicine, Zhongshan Hospital of Xiamen University, Xiamen 361000, China
    2Clinical Medical College of Fujian Medical University, Fuzhou 350000, China
  • Received:2025-03-09 Published:2026-02-25
  • Corresponding author: Xiaobin Zhang
引用本文:

赖燕婷, 黄茂宏, 洪平阳, 曾惠清, 杜艳萍, 张孝斌. miR-766-3p/PNCK/mTOR通路在气道上皮细胞机械损伤中的作用研究[J/OL]. 中华肺部疾病杂志(电子版), 2026, 19(01): 15-21.

Yanting Lai, Maohong Huang, Pingyan Hong, Huiqing Zeng, Yanping Du, Xiaobin Zhang. Study on the mechanism of the miR-766-3p/PNCK/mTOR signaling pathway in mechanical injury of airway epithelial cells[J/OL]. Chinese Journal of Lung Diseases(Electronic Edition), 2026, 19(01): 15-21.

目的

探讨机械损伤对气道上皮细胞生长影响及miR-766-3p/PNCK/mTOR通路的作用。

方法

选择气道上皮细胞转染has-miR-766-3p mimics、inhibitor及阴性对照组(negative control, NC),通过机械划痕对气道上皮细胞进行损伤造模,采用细胞计数试剂盒-8(cell counting kit-8, CCK8)检测细胞活性;苏木精-伊红染色法(hematoxylin-eosin staining, HE)染色分析细胞形态;Transwell法检测细胞迁移能力;蛋白印迹法(Western blot, WB)检测蛋白表达水平;逆转录-定量聚合酶链反应(quantitative reverse transcription polymerase chain reaction, RT-qPCR)检测RNA表达水平。

结果

造模后细胞hsa-miR-766-3p RNA表达下降(1 .01比0.31),侵袭能力下降(180比123)、活性下降(0.97比0.72),差异有统计学意义(P<0.05)。细胞造模过表达miR-766-3p,细胞侵袭能力(127比94.5)、活性(0.7比0.52)下降,抑制性表达miR-766-3p后细胞侵袭能力(118比217)、活性(0.69比0.87)上升,差异有统计学意义(P<0.05)。抑制性表达miR-766-3p后,妊娠上调非泛素性钙调蛋白激酶(pregnancy-upregulated nonubiquitous calmodulin kinase, PNCK)(0.34比0.84)、哺乳动物雷帕霉素靶蛋白(mammalian target of rapamycin, mTOR)(0.45比1.05)表达水平上升,差异有统计学意义(P<0.05)。

结论

体外细胞研究显示,机械损伤影响miR-766-3p表达,miR-766-3p通过PNCK、mTOR表达影响气道上皮细胞活性及迁移能力。

Objective

To explore the impact of mechanical injury on the growth of airway epithelial cells by simulating mechanical damage through mechanical scratches, and to investigate the role of the miR-766-3p/PNCK/m-TOR pathway in this process.

Methods

The airway epithelial cells were transfected with has-miR-766-3p mimics, inhibitors, and corresponding negative control(NC), and the airway epithelial cells were mechanically scratched to create a damage model; cell counting kit-8(CCK8) method was used to detect cell viability; hematoxylin-eosin staining(HE) staining analysis of cell morphology; Transwell method for detecting cell migration ability; Western blot(WB) was used to detect protein expression levels; Quantitative reverse transcription polymerase chain reaction(RT qPCR)was used to detect RNA expression levels.

Results

After modeling, the hsa-miR-766-3p RNA expression of cells decreased (1.01 vs. 0.31), the invasion ability decreased (180 vs. 123), and the cell activity decreased (0.97 vs. 0.72). The differences were statistically significant (P<0.05). After cell modeling, overexpression of miR-766-3p decreased cell invasion ability (127 vs. 94.5) and cell activity (0.7 vs. 0.52). After inhibitory expression of miR-766-3p, cell invasion ability (118 vs. 217) and activity (0.69 vs. 0.87) increased. The differences were statistically significant (P<0.05). After inhibitory expression of miR-766-3p, the expression of Pregnancy-upregulated nonubiquitous calmodulin kinase(PNCK)(0.34 vs. 0.84) and mammalian Target of rapamycin(mTOR)(0.45 vs. 1.05) increased, and the difference was statistically significant (P<0.05).

Conclusion

Through in vitro cell studies, it is believed that mechanical injury can affect the expression of miR-766-3p, and miR-766-3p further influences the activity and migration ability of airway epithelial cells by affecting the expression of PNCK and mTOR.

图1 细胞造模后生长情况注:①16HBE;②16HBE+miRNA NC;③16HBE+miRNA mimics;④16HBE+miRNA inhibitor NC;⑤16HBE+miRNA inhibitor;⑥16HBE;②~⑥机械划痕处理
图2 每组miR-766-3p RNA分子表达量注:realtive expression为相对表达;control为对照组;NC为非特异性对照组;mimics为模拟物;inhibitor为抑制剂;*、***、****为差异有统计学意义
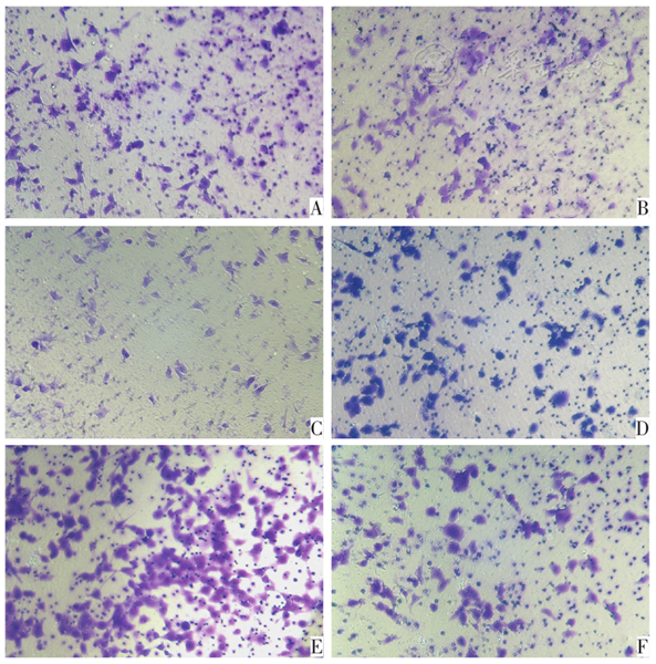
图3 细胞迁移检测结果注:A为16HBE;B为16HBE+miRNA NC+造模;C为16HBE+miRNA mimics+造模;D为16HBE+miRNA inhibitor NC+造模;E为16HBE+miRNA inhibitor+造模;F为16HBE+造模
图4 CCK8检测细胞增殖活性注:control为对照组;NC为阴性对照组;mimics为模拟物;inhibitor为抑制剂;****为差异有统计学意义
图5 WB蛋白质印迹法PNCK及mTOR表达注:control为对照组;NC为阴性对照组;mimics为模拟物;inhibitor为抑制剂;ns为无统计学意义;*~***为有统计学意义
1
Jinmei W, Shujuan Q, Wentao L, et al. Analysis of clinical characteristics of 617 patients with benign airway stenosis[J]. Front Med, 2023, 10: 1202309
2
Agrawal Abhinav, Baird Brandon J, Madariaga Maria Lucia L, et al. Multi-disciplinary management of patients with benign airway strictures: A review[J]. Respir Med, 2021, 187: 106582.
3
Piazza C, Filauro M, Dikkers FG, et al. Long-term intubation and high rate of tracheostomy in COVID-19 patients might determine an unprecedented increase of airway stenoses: a call to action from the European Laryngological Society[J]. Eur Arch Otorhinolaryngol, 2021, 278(1): 1-7.
4
Marchioni A, Tonelli R, Andreani A, et al. Molecular mechanisms and physiological changes behind benign tracheal and subglottic stenosis in adults[J]. Int J Mol Sci, 2022, 23(5): 2421.
5
Feng L, Peipei L, Zhigang C, et al. Establishment of two canine models of benign airway stenosis and the effect of mitomycin C on airway stenosis[J]. Int J Pediatr Otorhinolaryngol, 2022, 159: 111205.
6
Chen Y, Yang C, Miao Y, et al. Macrophage STING signaling promotes fibrosis in benign airway stenosis via an IL6-STAT3 pathway[J]. Nat Commun, 2025, 16(1): 289.
7
Nicolas G, Hideo S, Hervé D. Airway stenting: Technological advancements and its role in interventional pulmonology.[J]. Respirology (Carlton, Vic.), 2020, 25(9): 953-962.
8
Kunyan S, Hong Z, Wei Z, et al. Long-term prognostic factors of clinical success after interventional bronchoscopy in patients with scarring central airway stenosis[J]. BMC Pulm Med, 2021, 21(1): 73.
9
Xiao L, Jinbing P, Haoyu Q, et al. Treatment of scarring central airway stenosis with pirfenidone: Case report[J]. Medicine, 2022, 101(43): e31354-e31354.
10
Xiaojian Q, Yan L, Jie Z, et al. Paclitaxel-loaded PLGA coating stents in the treatment of benign cicatrical airway stenosis[J]. J Clin Med, 2022, 11(3): 517-517.
11
Li X, Ma Y, Wang P, et al. Endoscopic intervention combined with pirfenidone for the treatment of cicatricial central airway stenosis: a report of 4 cases[J]. Zhonghua Jie He He Hu Xi Za Zhi, 2025, 48(4): 378-381.
12
Chen X, Wang W, Ye Y, et al. The wound healing of autologous regenerative factor on recurrent benign airway stenosis: A canine experimental and pilot study[J]. Respiration, 2024, DOI: 10.1159/000536007.
13
郭喜喜,王振华,胡红军,等. miR-766-3p调控肺癌细胞增殖、迁移、侵袭的分子机制[J]. 分子诊断与治疗杂志2020, 12(12): 1621-1625,1630.
14
Gao Jianchao, Fei Lexue, Wu Xiaotang, et al. MiR-766-3p suppresses malignant behaviors and stimulates apoptosis of colon cancer cells via targeting TGFBI[J]. Can J Gastroenterol Hepatol, 2022, 2022: 7234704.
15
He Xin-Xin, Luo Shan-Shan, Qin Hai-Quan, et al. MicroRNA-766-3p-mediated downregulation of HNF4G inhibits proliferation in colorectal cancer cells through the PI3K/AKT pathway[J]. Cancer Gene Ther, 2022, 29(6): 803-813.
16
Bishwanath A, Wanna C, Kesara N. Atractylodin inhibited the migration and induced autophagy in cholangiocarcinoma cells via PI3K/AKT/mTOR and p38MAPK signalling pathways[J]. J Pharm Pharmacol, 2021, 73(9): 1191-1200.
17
Zhao Y, Feng X, Li B, et al. Dexmedetomidine protects against 1ipopo1ysaccharide- induced acute kidney injury by enhancing autophagy through inhibition of the P13K/Akt/mTOR path way[J]. Front Pharmacol, 2020, 11: 128.
18
Lijie W, Xingxing Y, Zhuying L, et al. The role of macrophage autophagy in asthma: A novel therapeutic strategy[J]. Mediators Inflamm, 2023, 2023: 7529685.
19
Monika B, Nataša K. Interplay between NLRP3 inflammasome and autophagy[J]. Front Immunol, 2020, 11: 591803.
20
Zhu H, Wang W, Yang H, et al. Cyclobenzaprine HCl ameliorates OVA-induced asthma through modulating the TLR4/MyD88/NF-κB and PI3K/AKT/mTOR signaling pathways[J]. Int Immunopharmacol, 2025, 163: 115249.
21
张泽宇,梅晓峰,陶柳颖,等. 香烟烟雾联合肺炎克雷伯杆菌诱导慢阻肺模型小鼠气道重塑机制[J]. 中国实验动物学报2025, 33(5): 644-655.
22
郭栋伟,张鹏飞,任明君,等. 银杏叶提取物防治慢性阻塞性肺疾病的机制研究:基于PI3K/Akt/mTOR信号通路调控肺泡巨噬细胞自噬[J]. 中国全科医学2023, 26(3): 293-303.
23
Chuang X, Sha C, Runfeng L, et al. Isoforskolin alleviates AECOPD by improving pulmonary function and attenuating inflammation which involves downregulation of Th17/IL-17A and NF-κB/NLRP3[J]. Front Pharmacol, 2021, 12: 721273.
24
Qi J, Lu B, Jin WC, et al. FP receptor inhibits autophagy to aggravate aging-related cardiac fibrosis through PI3K/AKT/mTOR signaling pathway[J]. Arch Gerontol Geriatr, 2025, 133: 105824.
25
王小燕,韩崇兰. 扁塑藤素对非小细胞肺癌细胞株A549恶性生物学行为的影响[J/OL]. 中华肺部疾病杂志(电子版), 2023, 16(6): 822-825.
26
Li T, Chen H, Guo Y, et al. Nuciferine restores autophagy via the PI3K-AKT-mTOR pathway to alleviate renal fibrosis in diabetic kidney disease[J]. J Agric Food Chem, 2025, 73(9): 5223-5235.
27
Banday Mudassir M, Rao Sangeetha B, Shankar Shruthi, et al. IL-33 mediates Pseudomonas induced airway fibrogenesis and is associated with CLAD[J]. J Heart Lung Transplant, 2023, 42(1): 53-63.
28
罗佳,杨承纲. 非小细胞肺癌中PNCK、EGFR表达与EGFR基因突变状态的相关性[J]. 临床与实验病理学杂志2023, 39(11): 1345-1350.
29
Qing T, Wei Q, ZhengHao L, et al. SLC12A5 promotes hepatocellular carcinoma growth and ferroptosis resistance by inducing ER stress and cystine transport changes[J]. Cancer Med, 2023, 12(7): 8526-8541.
30
Yuanji X, Jiling W, Shaoli C, et al. PNCK depletion inhibits proliferation and induces apoptosis of human nasopharyngeal carcinoma cells in vitro and in vivo [J]. J Cancer, 2019, 10(27): 6925-6932.
[1] 樊恒, 孙敏, 朱建华. 红景天苷通过抑制PI3K/AKT/mTOR信号通路对大鼠脓毒症急性肾损伤的保护作用[J/OL]. 中华危重症医学杂志(电子版), 2024, 17(03): 188-195.
[2] 武良玉, 程灏. 雷帕霉素对核苷类逆转录酶抑制剂治疗人类免疫缺陷病毒感染并发神经病理性痛的影响[J/OL]. 中华实验和临床感染病杂志(电子版), 2021, 15(04): 250-256.
[3] 邬文莉, 卢志远, 黎凡, 王洪涛, 郝建锁, 高梓君, 陈亦阳. 雷帕霉素通过促进细胞自噬抑制大鼠血管平滑肌细胞增殖活性效应[J/OL]. 中华口腔医学研究杂志(电子版), 2022, 16(01): 12-20.
[4] 左一凡, 吴琪, 王志维. 哺乳动物雷帕霉素靶蛋白抑制剂在心脏移植中的应用研究进展[J/OL]. 中华移植杂志(电子版), 2021, 15(04): 250-256.
[5] 熊震, 阳光辉, 郑小春, 王娜. 支气管镜下联合介入治疗75例良性中央气道狭窄效果分析[J/OL]. 中华肺部疾病杂志(电子版), 2023, 16(05): 645-649.
[6] 蒋德雄, 王红军, 张雪漫, 饶耀. 经支气管镜球囊扩张术治疗良性中心气道狭窄临床分析[J/OL]. 中华肺部疾病杂志(电子版), 2020, 13(05): 639-642.
[7] 王辉, 崔恬玉, 段凡. 哺乳动物雷帕霉素靶蛋白信号通路在IgA肾病发病机制中的作用研究进展[J/OL]. 中华肾病研究电子杂志, 2025, 14(04): 209-213.
[8] 何娅妮, 陈佳. 雷帕霉素在肾脏病中的应用现状[J/OL]. 中华肾病研究电子杂志, 2014, 03(04): 183-187.
[9] 陈芳, 罗颉, 李申堂, 罗叶萍, 杨作成. 哺乳动物雷帕霉素靶蛋白基因rs1883965位点多态性与川崎病的关联性研究[J/OL]. 中华诊断学电子杂志, 2018, 06(03): 172-176.
阅读次数
全文


摘要


AI


AI小编
你好!我是《中华医学电子期刊资源库》AI小编,有什么可以帮您的吗?