Home    中文  
 
  • Search
  • lucene Search
  • Citation
  • Fig/Tab
  • Adv Search
Just Accepted  |  Current Issue  |  Archive  |  Featured Articles  |  Most Read  |  Most Download  |  Most Cited
Case Report

Successful treatment of one case of severe pneumonia complicated with acute respiratory distress syndrome and secondary multiple organ failure

  • Shanshan Tang ,
  • Hongmei Wu , ,
  • Shuang Wang
Expand

Received date: 2025-05-20

  Online published: 2025-11-06

Copyright

Copyright by Chinese Medical Association No content published by the journals of Chinese Medical Association may be reproduced or abridged without authorization. Please do not use or copy the layout and design of the journals without permission. All articles published represent the opinions of the authors, and do not reflect the official policy of the Chinese Medical Association or the Editorial Board, unless this is clearly specified.

Cite this article

Shanshan Tang , Hongmei Wu , Shuang Wang . Successful treatment of one case of severe pneumonia complicated with acute respiratory distress syndrome and secondary multiple organ failure[J]. Chinese Journal of Lung Diseases(Electronic Edition), 2025 , 18(05) : 844 -846 . DOI: 10.3877/cma.j.issn.1674-6902.2025.05.036

重症肺炎(severe pneumonia, SP)是由病原微生物感染引起的急性肺部损伤伴严重全身炎症反应综合征,病死率达30%~50%[1,2]。约40%重症肺炎进展为急性呼吸窘迫综合征(acute respiratory distress syndrome, ARDS),全身炎症风暴介导组织损伤及缺血缺氧性损害,进一步进展为多器官功能障碍综合征(multiple organ dysfunciton syndrome, MODS)[3]。本文回顾了我院收治的1例重症肺炎合并ARDS继发MODS患者,探讨早期生命支持、精准抗感染等救治策略,为临床提供参考,报告如下。

病例资料

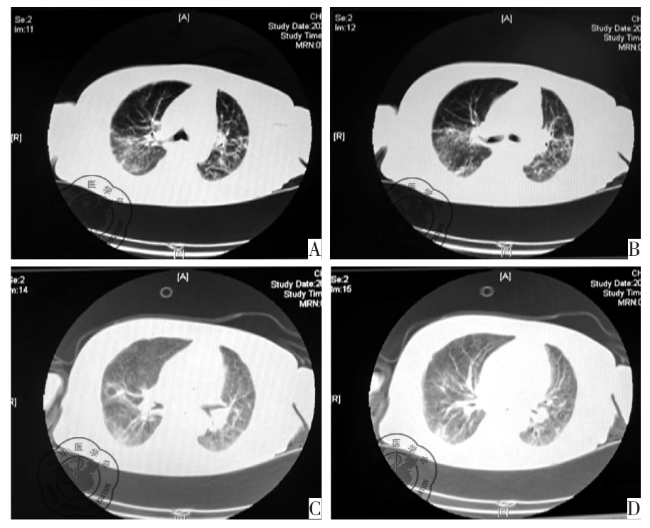
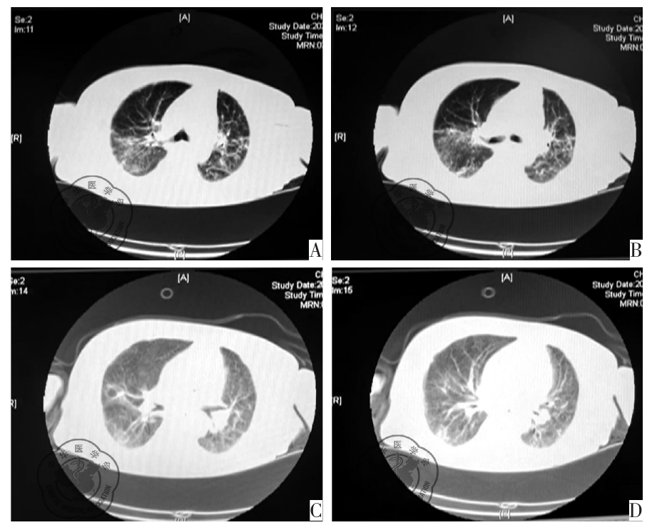
患者,男,62岁,因"反复跌倒2 d、头晕伴言语不清1 d"于2023年10月16日入院神经内科,行经皮椎动脉球囊扩张成形术+双侧椎动脉起始部支架植入术,术后转康复科行康复训练,2024年4月18日患者出现发热(39.6 ℃)、咳嗽、呼吸困难,血气分析:pH 7.42,动脉血氧分压(arterial oxygen partial pressure, PaO2) 33.5 mmHg,动脉血二氧化碳分压(arterial carbon dioxide partial pressure, PaCO2) 71.4 mmHg,诊断"重症肺炎",予无创呼吸机支持[吸入氧浓度(fraction of inspired oxygen, FiO2) 70%,呼气末正压(positive end-expiratory pressure, PEEP) 10 cmH2O],48 h内氧合持续恶化,血气分析:pH 7.32,PaO2 30 mmHg,PaCO2 50.7 mmHg,4月20日行气管插管术后转入我科监护室接受治疗。入科查体:体温38.3 ℃,心率100次/min,呼吸18次/min,血压101/66 mmHg,RASS评分-5分(深度镇静)。置入经口气管插管、胃管、尿管、右上肢PICC静脉置管;全身花斑样紫绀,四肢厥冷,双肺闻及广泛湿啰音,四肢肌力1级。既往有糖尿病病史,入院诊断:(1)重症肺炎;(2)ARDS;(3)MODS;(4)泌尿系统感染;(5)混合型酸碱平衡失调;(6)脑梗死恢复期(左侧偏瘫)。降钙素原(procalcitonin, PCT)36.12 ng/ml,C反应蛋白(C-reactive protein, CRP)367 mg/L,红细胞2.25×1012/L,白细胞10.24×109/L,白介素-8(interleukin-8, IL-8)236 pg/ml;血红蛋白72 g/L,血小板73×109/L,纤维蛋白原降解产物(fibrinogen degradation products, FDP)20 mg/L;血肌酐397.1 μmol/L,白蛋白29.9 g/L;动脉血气分析(FiO2 100%):pH 7.26,PaO2 43 mmHg,PaCO2 45.3 mmHg。胸部CT示双肺感染(图1);床旁超声提示左侧小腿肌间静脉血栓。床旁纤维支气管镜检查:双肺炎性改变(图2)。行床旁体外膜氧合(extracorporeal membrane oxygenation, ECMO)治疗(静脉-静脉模式,流量3.5 L/min,转速3 000转/min,气源2.5 L/min),联合有创机械通气(潮气量4 ml/kg,PEEP 12 cmH2O,FiO2 80%),去甲肾上腺素0.3 μg/kg·min维持平均动脉压≥65 mmHg,晶体液复苏1 500 ml,白蛋白50 g。早期予肠外营养(热卡25 kcal/kg·d),逐步过渡至肠内营养(目标量2 000 kcal/d),补充人血白蛋白纠正低蛋白血症(维持血清白蛋白≥30 g/L)。4月22日支气管肺泡灌洗液宏基因组二代测序(metagenomics next generation sequencing, mNGS):纹带棒状杆菌、鲍曼不动杆菌,采用美罗培南1 g Q8H+多黏菌素B 50万U Q12H静脉滴注;4月23日因高钾血症(6.2 mmol/L)、容量超负荷(BNP:698 pg/ml),立即启动连续性肾脏替代治疗(continuous renal replacement therapy, CRRT)。4月28日肺泡灌洗液培养:光滑念珠菌+热带念珠菌,采用米卡芬净100 mg QD静脉滴注;5月1日痰培养:铜绿假单胞菌(对左氧氟沙星敏感),采用左氧氟沙星0.5 g QD+万古霉素500 mg Q12H静脉滴注。5月9日准备撤除ECMO,拔除ECMO管道时发现右股静脉阻力增大,床旁超声提示右心腔及大血管内气体栓塞,经多学科会诊诊断为ECMO管道附壁血栓形成导致负压过大引起穿刺点进气,采用提高氧浓度、头低足高左侧卧位并制动、增加抗凝等处理,拔除管道后予鱼精蛋白中和肝素,输注冷沉淀及血浆纠正凝血异常。5月15日拔除气管插管,鼻导管吸氧3升/min。
图1 患者胸部CT扫描双肺纹理增多、增粗,双肺野透光度大,双肺野外周带胸膜下可见囊状透光影,双肺可见散在片架状密度增高影,双肺内多发斑片、条索状密度增高影,双上肺可见小钙化灶
图2 电子支气管镜检查图。图A、B为支气管镜检查提示主气管管壁黏膜光整;图C、D为各级支气管壁黏膜可见白色分泌物,炎性改变
患者经40 d综积极救治后,生命体征平稳:体温正常,氧合指数>300 mmHg,炎性指标恢复正常,于2024年5月29日转呼吸科继续治疗。出院前复查:胸部CT示双肺炎症吸收80%;肾功能恢复,血小板及凝血功能正常。随访2个月显示患者意识清楚,可配合床旁康复训练,改良Rankin量表评分4分。

讨论

重症肺炎为临床常见急危重症之一,发病率和病死率高,老年人群及合并基础疾病者突出。本例患者为老年男性,有糖尿病病史,胸腺退化、T细胞功能减弱,叠加糖尿病导致免疫功能低下,感染后易发生细胞因子风暴,加剧肺血管内皮损伤及ARDS进展,致MODS[4]。缺氧诱导因子-1α(hypoxia-inducible factor-1 α,HIF-1α)为缺氧应激核心分子驱动因子,通过转录激活IL-8等促炎介质、破坏内皮屏障完整性及触发远隔器官纤维化/微血栓形成,介导ARDS向多器官障碍的级联损伤[5]。文献报道ECMO组较常规通气组新发多器官障碍风险降低34.1%,减少急性肾损伤CRRT比例[6]。早期ECMO干预通过快速纠正缺氧、促进HIF-1α降解,从源头阻断"缺氧-炎症-内皮损伤"恶性循环,显著降低多器官障碍风险[7]。文献对429例ECMO治疗与常规治疗患者进行分析显示,早期ECMO可使重度ARDS患者24 h内氧合指数提升≥50%,氧合改善速度与28 d生存率呈正相关[8]。本例患者在ARDS诊断后6 h内启动ECMO,遵循了严重ARDS体外膜氧合治疗中早期干预原则,改善氧合并通过下调呼吸机参数降低机械通气相关肺损伤,减少炎症因子释放对其他器官的二次打击[9]。ECMO支持下的血流动力学稳定为肾脏、肝脏等器官提供基础灌注保障,于逆转病情具有临床意义。
ECMO是一种对常规治疗难以纠正的呼吸和/或循环衰竭患者提供稳定、持续、有效氧供和循环血量支持的心肺辅助技术,在救治重症肺炎合并ARDS患者中发挥关键作用,但其并发症率较高[10]。ECMO相关空气栓塞发生率3%~5%,其中管道操作失误达42%,使病死率升高至50%以上[11,12]。本例患者在拔除右股静脉ECMO置管时出现阻力增大,经床旁超声确诊右心腔及大血管气体栓塞,诱因可能为拔管时穿刺点负压进气,与ECMO管道压力波动及操作规范性密切相关。本例通过床旁超声监测实现快速诊断,及时发现并处理了血管内气体栓塞,较传统胸部CT检查诊断时间缩短,有效避免了潜在生命威胁,为继续抗感染治疗赢得宝贵时间。
血管内皮细胞的损伤能激活凝血级联反应,增加血栓形成风险[13]。重症肺炎患者中约60%凝血功能障碍,静脉血栓栓塞风险较普通患者增加3倍,抗血小板治疗使出血风险提升2.5倍[14,15]。ECMO治疗期间抗凝处理激活凝血系统,形成"感染-内皮损伤-血栓"恶性循环[16]。将活化部分凝血活酶时间控制在45~55 s可使膜肺血栓发生率显著降低,出血事件较标准抗凝方案减少40%[17]。本例患者行血管内介入术后需抗血小板治疗以预防支架内血栓形成,重症感染可能提高出血风险。ECMO撤机时突发气体栓塞,需紧急强化肝素抗凝清除管路血栓避免气栓增加,大剂量肝素使用增加拔管创口出血风险。采用鱼精蛋白中和肝素,联合输注冷沉淀补充凝血因子,控制气栓进展并通过凝血因子替代治疗维持止血功能。每日监测纤维蛋白原、D-二聚体及血小板计数,结合床旁动态超声血栓筛查,及时调整抗凝强度,成功平衡抗凝与出血,有效规避严重并发症。
mNGS是二代测序检测方式之一,通过对样本例核酸进行高通量测序,经生物信息鉴定,可获得病原学微生物序列数、覆盖度等数据,检测出潜在病原体,指导用药,降低病死率[18,19]。mNGS技术在重症肺炎的临床应用使病原体检出率提高30%~40%,适用于合并免疫抑制的混合感染[20]。多中心RCT表明,重症肺炎患者接受基于病原学证据的精准抗感染治疗对比经验性治疗,可使病死率下降27%,抗生素使用时长缩短40%[21]。本例患者合并细菌与真菌,与机械通气时长、免疫抑制状态及ECMO导管留置密切相关[22]。患者入院72 h内通过支气管肺泡灌洗液mNGS检测出纹带棒状杆菌和鲍曼不动杆菌,较传统培养方法提前48 h获病原学证据,为靶向治疗奠定基础,通过动态痰培养与药敏试验,及时调整抗菌方案,显著改善预后。
本病例起病急,以肺部感染为首发症状,易漏诊及误诊。需拓宽思路,利用多学科合作,早期诊断及治疗。病例报告结论的普适性及具体干预措施需大量临床研究进一步优化,为今后类似患者个体化临床救治提供参考。

利益冲突 所有作者声明不存在利益冲突

唐杉杉,吴红梅,王爽,等.重症肺炎合并急性呼吸窘迫综合征继发多器官衰竭救治成功一例[J/OL].中华肺部疾病杂志(电子版), 2025, 18(5): 844-846.

1
卢亚楠,李童星,胡焕丽. 重症肺炎患者菌群分布特点及预后不良风险预测模型构建和验证[J]. 中国病原生物学杂志2025, 20(8): 1035-1040.

2
GBD 2019 Diseases and Injuries Collaborators. Global burden of 369 diseases and injuries in 204 countries and territories, 1990-2019: a systematic analysis for the Global Burden of Disease Study 2019[J]. Lancet, 2020, 396(10258): 1204-1222.

3
Grasselli G, Tonetti T, Protti A, et al. Pathophysiology of COVID-19-associated acute respiratory distress syndrome: a multicentre prospective observational study[J]. Lancet Respir Med, 2020, 8(12): 1201-1208.

4
Polito MV, Silverio A, Bellino M, et al. Cardiovascular Involvement in COVID-19: What Sequelae Should We Expect?[J]. Cardiol Ther, 2021, 10(2): 377-396.

5
Vohwinkel CU, Burns N, Coit E, et al. HIF1A-dependent induction of alveolar epithelial PFKFB3 dampens acute lung injury[J]. JCI insight, 2022, 7(24): e157855.

6
Pilarczyk K, Huenges K, Bewig B, et al. Acute kidney injury in patients with severe ARDS requiring extracorporeal membrane oxygenation: incidence, prognostic impact and risk factors[J]. J Clin Med, 2022, 11(4): 1079.

7
魏丁,乔艳艳,顾兴,等. 体外膜肺氧合救治急性呼吸窘迫综合征不良预后危险因素分析[J/OL]. 中华肺部疾病杂志(电子版), 2024, 17(3): 363-367.

8
Combes A, Peek GJ, Hajage D, et al. ECMO for severe ARDS: systematic review and individual patient data meta-analysis[J]. Intensive care medicine, 2020, 46(11): 2048-2057.

9
中华医学会重症医学分会. 严重急性呼吸窘迫综合征体外膜肺氧合治疗中国专家共识[J/OL]. 中华重症医学电子杂志(网络版), 2020, 6(3): 201-216.

10
Blum JM, Lynch WR, Coopersmith CM. Clinical and billing review of extracorporeal membrane oxygenation[J]. Chest, 2015, 147(6): 1697-1703.

11
Peek GJ, Mugford M, Tiruvoipati R, et al. CESAR trial collaboration. Efficacy and economic assessment of conventional ventilatory support versus extracorporealmembrane oxygenation for severe adult respiratory failure (CESAR): a multicentre randomised controlled trial[J]. Lancet, 2009, 374(9698): 1351-1363.

12
Chan KM, Wan WTP, Ling L, et al. Management of circuit air in extracorporeal membrane oxygenation: a single center experience[J]. ASAIO J, 2022, 68(3): e39-e43.

13
Carsana L, Sonzogni A, Nasr A, et al. Pulmonary post-mortem findings in a series of COVID-19 cases from northern Italy: a two-centre descriptive study[J]. Lancet Infect Dis, 2020, 20(10): 1135-1140.

14
Tang N, Li D, Wang X, et al. Abnormal coagulation parameters are associated with poor prognosis in patients with novel coronavirus pneumonia[J]. J Thromb Haemost, 2020, 18(4): 844-847.

15
Bonaventura A, Vecchié A, Dagna L, et al. Endothelial dysfunction and immunothrombosis as key pathogenic mechanisms in COVID-19[J]. Nat Rev Immunol, 2021, 21(5): 319-329.

16
Nagashima S, Mendes MC, Camargo Martins AP, et al. Endothelial dysfunction and thrombosis in patients with COVID-19-brief report[J]. Arterioscler Thromb Vasc Biol, 2020, 40(10): 2404-2407.

17
Kuzmin B, Wacker M, Ponomarenko J, et al. Anticoagulation management during veno-venous ECMO support because of ARDS: Single-center experience[J]. Heliyon, 2024, 10(22): e40417.

18
徐旺,王赛妮,李华娟,等. 肺泡灌洗液宏基因组二代测序辅助诊断肺隐球菌病一例[J/OL]. 中华肺部疾病杂志(电子版), 2023, 16(1): 132-134.

19
陈婷婷,江文洁,华晓兰,等. 宏基因组二代测序在肺部感染患者病原体检测中的应用价值[J]. 广西医科大学学报2022, 39(5): 820-825.

20
Zeng W, Liang Y, He X, et al. Exploring the pathogen diagnosis and prognostic factors of severe COVID-19 using metagenomic next-generation sequencing: A retrospective study[J]. J Med Biochem, 2024, 43(4): 528-536.

21
Ong SWX, Tong SYC. Target trial emulation for antibiotic use in acute COVID-19-taking aim at a common intervention[J]. JAMA Netw Open, 2025, 8(5): e2511507.

22
Sah SK, Shariff A, Pathakamuri N, et al. Antifungal therapy in the management of fungal secondary infections in COVID-19 patients: A systematic review and meta-analysis[J]. PLoS One, 2022, 17(7): e0271795.

Outlines

/

京ICP 备07035254号-28
Copyright © Chinese Journal of Lung Diseases(Electronic Edition), All Rights Reserved.
Tel: 023-65425691 E-mail: xqcjld@163.com
Powered by Beijing Magtech Co. Ltd