切换至 "中华医学电子期刊资源库"

中华肺部疾病杂志(电子版) ›› 2023, Vol. 16 ›› Issue (01) : 132 -134. doi: 10.3877/cma.j.issn.1674-6902.2023.01.037

病例报告

肺泡灌洗液宏基因组二代测序辅助诊断肺隐球菌病一例
徐旺1, 王赛妮1, 李华娟1, 唐英俊1, 刘峰1, 林玲1, 黄华萍1,()   
  1. 1. 570102 海南,海南医学院第一附属医院呼吸内科 海南省临床医学中心
  • 收稿日期:2022-10-25 出版日期:2023-02-25
  • 通信作者: 黄华萍
  • 基金资助:
    海南省卫生厅课题(20A200129); 海南省临床医学中心建设项目

Diagnosis of pulmonary cryptococcosis based on metagenomic next generation sequencing of bronchoalveolar lavage fluid: a case report and literature review

Wang Xu1, Saini Wang1, Huajuan Li1   

  • Received:2022-10-25 Published:2023-02-25
引用本文:

徐旺, 王赛妮, 李华娟, 唐英俊, 刘峰, 林玲, 黄华萍. 肺泡灌洗液宏基因组二代测序辅助诊断肺隐球菌病一例[J/OL]. 中华肺部疾病杂志(电子版), 2023, 16(01): 132-134.

Wang Xu, Saini Wang, Huajuan Li. Diagnosis of pulmonary cryptococcosis based on metagenomic next generation sequencing of bronchoalveolar lavage fluid: a case report and literature review[J/OL]. Chinese Journal of Lung Diseases(Electronic Edition), 2023, 16(01): 132-134.

肺隐球菌病(pulmonary cryptococcosis, PC)的影像学表现多种多样,以单发或多发的周围型结节团块及局限的肺炎样病灶最为多见[1,2],主要取决于宿主的免疫状态,易被误诊为肺结核、肺癌等疾病。目前针对肺隐球菌病的诊断没有相关的指南推荐意见。临床多采用检测外周血隐球菌荚膜多糖抗原的传统方法,具有快速简便的优势,在孤立性肺隐球菌病的诊断中存在敏感性不足;常规支气管镜下毛刷及肺泡灌洗液培养,因多数肺隐球菌病病灶靠近外周,存在培养阳性率低;组织病理学检查,是肺隐球菌病确诊的"金标准",需经支气管镜肺活检、或在B超/CT引导下经皮肺穿刺活检以及经电视胸腔镜肺活检等方法获取肺组织标本,存在医院技术条件的限制。本文对我院收治的1例经肺泡灌洗液mNGS辅助诊断肺隐球菌病患者的全过程进行回顾性分析,结合文献对mNGS技术在诊断肺隐球菌病中的价值进行讨论,报告如下。

图1 2020-06肺部CT左下肺肿块影
图2 2020-07肺部CT左下肺肿块影较前吸收变小
图3 病理图。注:A:HE染色(×1000),B:六胺银染色(×1000)
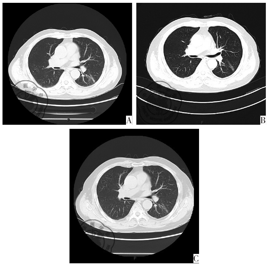
图4 治疗后肺部CT图。注:A:治疗2个月肺CT左下肺肿块影消失,局部可见纤维密度增高影;B:治疗6个月肺CT左下肺局部少许密度增高影;C:治疗12个月肺CT左下肺局部少许密度增高影
1
卢 蕾,陈 佳. 非免疫缺陷病毒患者肺隐球菌病的CT表现[J/CD]. 中华肺部疾病杂志(电子版), 2020, 13(1): 87-88.
2
甘 慧,张 冬,文 利,等. 结节肿块型肺隐球菌病的临床特征及CT表现[J/CD]. 中华肺部疾病杂志(电子版), 2021, 14(5): 564-568.
3
谷 雷,文 文,赖国祥. 肺隐球菌病诊治进展[J]. 中华医学杂志2020, 100(4): 317-320.
4
梁丽玲,梁志欣,陈良安. 肺隐球菌病临床诊治进展[J]. 中华医院感染学杂志2017, 27(6): 1437-1440.
5
刘又宁. 中国16家大型教学医院HAP临床调查[C]. 中华医学会第七届全国呼吸道感染学术大会暨第一届多学科抗感染治疗学术研讨会论文汇编.2011.
6
浙江省医学会呼吸病学分会. 肺隐球菌病诊治浙江省专家共识[J]. 中华临床感染病杂志2017, 10(5): 321-326.
7
Kohno S, Kakeya H, Izumikawa K, et al. Clinical features of pulmonary cryptococcosis in non-HIV patients in Japan[J]. J Infect Chemother, 2015, 21(1): 23-30.
8
Zhang Y, Li N, Zhang Y, et al. Clinical analysis of 76 patients pathologically diagnosed with pulmonary cryptococcosis[J]. Eur Respir J, 2012, 40(5): 1191-1200.
9
Liu K, Ding H, Xu B, et al. Clinical analysis of non-AIDS patients pathologically diagnosed with pulmonary cryptococcosis[J]. J Thorac Dis, 2016, 8(10): 2813-2821.
10
《中国真菌学杂志》编辑委员会. 隐球菌感染诊治专家共识[J]. 中国真菌学杂志2010, 5(2): 65-68, 86.
11
Chen X, Ding S, Lei C, et al. Blood and bronchoalveolar lavage fluid metagenomic next-generation sequencing in pneumonia[J]. Can J Infect Dis Med Microbiol, 2020, 2020: 6839103.
12
Besser J, Carleton HA, Gerner-Smidt P, et al. Next-generation sequencing technologies and their application to the study and control of bacterial infections[J]. Clin Microbiol Infect, 2018, 24(4): 335-341.
13
Gu W, Rauschecker AM, Hsu E, et al. Detection of neoplasms by metagenomic next-generation sequencing of cerebrospinal fluid[J]. JAMA Neurol, 2021, 78(11): 1355-1366.
14
戴媛媛,马筱玲. 宏基因组二代测序技术在临床病原学诊断中的应用[J]. 临床检验杂志2021, 39(1): 1-5.
15
Ren D, Ren C, Yao R, et al. The microbiological diagnostic performance of metagenomic next-generation sequencing in patients with sepsis[J]. BMC Infect Dis, 2021, 21(1): 1257.
16
Wu X, Li Y, Zhang M, et al. Etiology of severe community-acquired pneumonia in adults based on metagenomic next-generation sequencing: A prospective multicenter study[J]. Infect Dis Ther, 2020, 9(4): 1003-1015.
17
任成山,郭乔楠. 进一步提高对下呼吸道念珠菌感染的认识[J/CD]. 中华肺部疾病杂志(电子版), 2016, 9(5): 471-478
18
Huang J, Jiang E, Yang D, et al. Metagenomic next-generation sequencing versus traditional pathogen detection in the diagnosis of peripheral pulmonary infectious lesions[J]. Infect Drug Resist, 2020, 13: 567-576.
19
Meslier V, Quinquis B, Da Silva K, et al. Benchmarking second and third-generation sequencing platforms for microbial metagenomics[J]. Sci Data, 2022, 9(1): 694.
20
Xie G, Zhao B, Wang X, et al. Exploring the clinical utility of metagenomic next-generation sequencing in the diagnosis of pulmonary infection[J]. Infect Dis Ther, 2021, 10(3): 1419-1435.
[1] 王亚红, 蔡胜, 葛志通, 杨筱, 李建初. 颅骨骨膜窦的超声表现一例[J/OL]. 中华医学超声杂志(电子版), 2024, 21(11): 1089-1091.
[2] 唐金侨, 叶宇佳, 王港, 赵彬, 马艳宁. 医学影像学检查方法在颞下颌关节紊乱病中临床应用研究进展[J/OL]. 中华口腔医学研究杂志(电子版), 2024, 18(06): 406-411.
[3] 屈翔宇, 张懿刚, 李浩令, 邱天, 谈燚. USP24及其共表达肿瘤代谢基因在肝细胞癌中的诊断和预后预测作用[J/OL]. 中华普外科手术学杂志(电子版), 2024, 18(06): 659-662.
[4] 赵林娟, 吕婕, 王文胜, 马德茂, 侯涛. 超声引导下染色剂标记切缘的梭柱型和圆柱型保乳区段切除术的效果研究[J/OL]. 中华普外科手术学杂志(电子版), 2024, 18(06): 634-637.
[5] 熊鹰, 林敬莱, 白奇, 郭剑明, 王烁. 肾癌自动化病理诊断:AI离临床还有多远?[J/OL]. 中华腔镜泌尿外科杂志(电子版), 2024, 18(06): 535-540.
[6] 王秋生. 胆道良性疾病诊疗策略[J/OL]. 中华肝脏外科手术学电子杂志, 2024, 13(06): 779-782.
[7] 袁雨涵, 杨盛力. 体液和组织蛋白质组学分析在肝癌早期分子诊断中的研究进展[J/OL]. 中华肝脏外科手术学电子杂志, 2024, 13(06): 883-888.
[8] 中华医学会器官移植学分会. 肝移植术后缺血性胆道病变诊断与治疗中国实践指南[J/OL]. 中华肝脏外科手术学电子杂志, 2024, 13(06): 739-748.
[9] 郑大雯, 王健东. 胆囊癌辅助诊断研究进展[J/OL]. 中华肝脏外科手术学电子杂志, 2024, 13(06): 769-773.
[10] 李浩, 陈棋帅, 费发珠, 张宁伟, 李元东, 王硕晨, 任宾. 慢性肝病肝纤维化无创诊断的研究进展[J/OL]. 中华临床医师杂志(电子版), 2024, 18(09): 863-867.
[11] 谭瑞义. 小细胞骨肉瘤诊断及治疗研究现状与进展[J/OL]. 中华临床医师杂志(电子版), 2024, 18(08): 781-784.
[12] 王子阳, 王宏宾, 刘晓旌. 血清标志物对甲胎蛋白阴性肝细胞癌诊断的研究进展[J/OL]. 中华临床医师杂志(电子版), 2024, 18(07): 677-681.
[13] 陈慧, 邹祖鹏, 周田田, 张艺丹, 张海萍. 皮肤镜对头皮红斑性皮肤病辅助鉴别诊断的研究进展[J/OL]. 中华临床医师杂志(电子版), 2024, 18(07): 692-698.
[14] 胡云鹤, 周玉焯, 付瑞瑛, 于凡, 李爱东. CHS-DRG付费制度下GB1分组住院费用影响因素分析与管理策略探讨[J/OL]. 中华临床医师杂志(电子版), 2024, 18(06): 568-574.
[15] 朱旦华, 卢放根. 以腹水为主要特征的Castleman病16例[J/OL]. 中华临床医师杂志(电子版), 2024, 18(05): 462-473.
阅读次数
全文


摘要


AI


AI小编
你好!我是《中华医学电子期刊资源库》AI小编,有什么可以帮您的吗?