切换至 "中华医学电子期刊资源库"

中华肺部疾病杂志(电子版) ›› 2025, Vol. 18 ›› Issue (05) : 841 -843. doi: 10.3877/cma.j.issn.1674-6902.2025.05.035

病例报告

本瑞利珠单抗治疗重度嗜酸性粒细胞性哮喘二例
郭素娟1, 杨志成2, 刘敏1, 胡潇1, 刘俊茹3, 孙雪睿3, 邓梅3, 荣磊1,()   
  1. 1518000 深圳,香港大学深圳医院呼吸与危重症医学科
    2518000 深圳,香港大学深圳医院药学部
    3518000 深圳,香港大学深圳医院病理科
  • 收稿日期:2025-02-06 出版日期:2025-10-25
  • 通信作者: 荣磊

Two cases of severe eosinophilic asthma treated with Benralizumab

Sujuan Guo, Zhicheng Yang, Min Liu   

  • Received:2025-02-06 Published:2025-10-25
引用本文:

郭素娟, 杨志成, 刘敏, 胡潇, 刘俊茹, 孙雪睿, 邓梅, 荣磊. 本瑞利珠单抗治疗重度嗜酸性粒细胞性哮喘二例[J/OL]. 中华肺部疾病杂志(电子版), 2025, 18(05): 841-843.

Sujuan Guo, Zhicheng Yang, Min Liu. Two cases of severe eosinophilic asthma treated with Benralizumab[J/OL]. Chinese Journal of Lung Diseases(Electronic Edition), 2025, 18(05): 841-843.

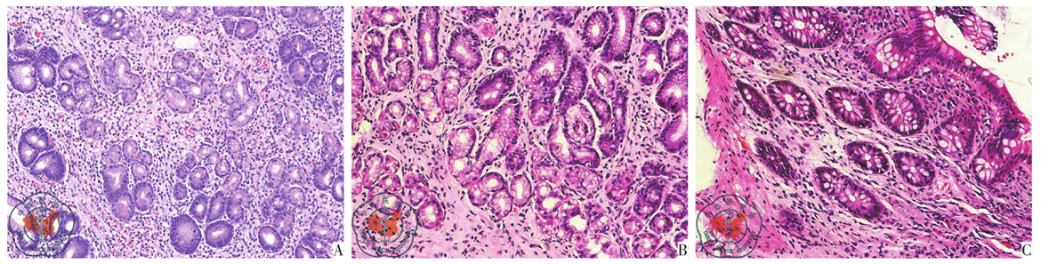
图1 图A为胃角活检20×,黏膜固有层见较多嗜酸性粒细胞浸润,最多约100个/HPF;图B为胃角活检20×,黏膜固有层未见明显嗜酸性粒细胞浸润;图C为横结肠活检20×,黏膜固有层未见明显嗜酸性粒细胞浸润
1
Qingling Zhang, Xiuhua Fu, Changzheng Wang, et al. Severe eosinophilic asthma in Chinese C-BIOPRED asthma cohort[J]. Clin Transl Med, 2022, 12(2): e710.
2
Bousquet Jean, Chanez Pascal, Lacoste Jean Yves, et al. Eosinophilic inflammation in asthma[J]. New Engl J Med, 323(15): 1033-1039.
3
Price David B, Rigazio Anna, Campbell Jonathan D, et al. Blood eosinophil count and prospective annual asthma disease burden: a UK cohort study[J]. Lancet Respirat Med, 2015, 3(11): 849-858.
4
GBD 2015 Chronic Respiratory Disease Collaborators. Global, regional,and national deaths, prevalence, disability-adjusted life years, and years lived with disability for chronic obstructive pulmonary disease and asthma, 1990-2015: a systematic analysis for the Global Burden of Disease Study[J]. Lancet Respir Med, 2017, 5(9): 691-706.
5
Roland KolEOSk, Alexander Kozhich, Masamichi Koike, et al. MEDI-563, a humanized anti-IL-5 receptor alpha mAb with enhanced antibody-dependent cell-mediated cytotoxicity function[J]. J Allergy Clin Immunol, 2010, 125(6): 1344-1353.
6
Laviolette M, Gossage DL, Gauvreau G, et al. Effects of benralizumab on airway eosinophils in asthmatic patients with sputum eosinophilia[J]. J Allergy Clin Immunol, 2013, 132: 1086-1096.
7
Global Initiative for Asthma. Global Strategy for Asthma Management and Prevention, 2023. Updated July 2023. Available from:

URL    
8
Bleecker ER, FitzGerald JM, Chanez P, et al. Efficacy and safety of benralizumab for patients with severe asthma uncontrolled with high-dosage inhaled corticosteroids and long-acting β(2)-agonists (SIROCCO): a randomised, multicentre, placebo-controlled phase 3 trial[J]. Lancet, 2016, 388(10056): 2115-2127.
9
FitzGerald JM, Bleecker ER, Nair P, et al. Benralizumab, an anti-interleukin-5 receptor α monoclonal antibody, as add-on treatment for patients with severe, uncontrolled, eosinophilic asthma (CALIMA): a randomised, double-blind, placebo-controlled phase 3 trial[J]. Lancet, 2016, 388(10056): 2128-2141.
10
Kefang Lai, Dejun Sun, Ranran Dai, et al. Benralizumab efficacy and safety in severe asthma: A randomized trial in Asia[J]. Respir Med, 2024, doi:10.1016/j.rmed.2024.107611.
11
林慧敏,谢佳星. 重症哮喘应用贝那利珠单抗治疗二例[J]. 结核与肺部疾病杂志2022, 3(1): 80-86.
12
Menzies-Gow A, Gurnell M, Heaney LG, et al. Oral corticosteroid elimination via a personalised reduction algorithm in adults with severe, eosinophilic asthma treated with benralizumab (PONENTE): a multicentre, open-label, single-arm study[J]. Lancet Respir Med, 2022, 10(1): 47-58.
13
Jackson David J, Heaney Liam G, Humbert Marc, et al. Reduction of daily maintenance inhaled corticosteroids in patients with severe eosinophilic asthma treated with benralizumab (SHAMAL): a randomised, multicentre, open-label, phase 4 study[J]. Lancet, 2024, 403(10423): 271-281.
14
Alessandra Bettiol, Maria Letizia Urban, Roberto Padoan, et al. Benralizumab for eosinophilic granulomatosis with polyangiitis: a retrospective, multicentre, cohort study[J]. Lancet Rheumatol, 2023, 5(12): e707-e715.
15
Kliewer Kara L, Murray-Petzold Cristin, Collins Margaret H, et al. Benralizumab for eosinophilic gastritis: A phase 2, randomized, double-blind, placebo-controlled trial[J]. Lancet Gastroenterol Hepatol, 2023, 8(9): 803-815.
No related articles found!
阅读次数
全文


摘要


AI


AI小编
你好!我是《中华医学电子期刊资源库》AI小编,有什么可以帮您的吗?