切换至 "中华医学电子期刊资源库"

中华肺部疾病杂志(电子版) ›› 2026, Vol. 19 ›› Issue (01) : 36 -41. doi: 10.3877/cma.j.issn.1674-6902.2026.01.006

论著

肺结节-胸膜关系预测CT引导下肺穿刺活检后气胸风险的作用研究
严一杰1, 张军1, 孟繁杰2, 关志宇1,()   
  1. 1300000 天津,天津医科大学第二医院胸外科
    2100020 北京,首都医科大学附属北京朝阳医院胸外科
  • 收稿日期:2025-10-09 出版日期:2026-02-25
  • 通信作者: 关志宇
  • 基金资助:
    天津市卫计委重点攻关项目基金资助(15KG138)

Study on the role of pulmonary nodule-pleural relationship in predicting the risk of pneumothorax after ct-guided lung needle biopsy

Yijie Yan1, Jun Zhang1, Fanjie Meng2, Zhiyu Guan1,()   

  1. 1Department of Thoracic Surgery, Second Hospital of Tianjin Medical University, Tianjin 300000, China
    2Department of Thoracic Surgery, Beijing Chaoyang Hospital Affiliated to Capital Medical University, Beijing 100020, China
  • Received:2025-10-09 Published:2026-02-25
  • Corresponding author: Zhiyu Guan
引用本文:

严一杰, 张军, 孟繁杰, 关志宇. 肺结节-胸膜关系预测CT引导下肺穿刺活检后气胸风险的作用研究[J/OL]. 中华肺部疾病杂志(电子版), 2026, 19(01): 36-41.

Yijie Yan, Jun Zhang, Fanjie Meng, Zhiyu Guan. Study on the role of pulmonary nodule-pleural relationship in predicting the risk of pneumothorax after ct-guided lung needle biopsy[J/OL]. Chinese Journal of Lung Diseases(Electronic Edition), 2026, 19(01): 36-41.

目的

探讨肺结节-胸膜关系预测计算机断层扫描引导下肺穿刺活检(computed tomography-guided lung needle biopsy, CT-LNB)术后气胸风险的作用。

方法

回顾性选择2021年1月至2024年12月我院收治的行CT-LNB肺结节患者111例为对象。根据CT-LNB术后是否发生气胸分组,发生气胸27例为观察组、未发生气胸84例为对照组。采用最小绝对收缩和选择算子(least absolute shrinkage and selection operator, LASSO)回归、多变量Logistic回归分析CT-LNB术后发生气胸的危险因素,构建列线图。

结果

111例中结节接触胸膜32例,结节未接触胸膜29例(中位距离3.40 cm),结节伴胸膜尾征(pleural tail sign, PTS)50例。观察组结节接触胸膜2例(7.41%)低于对照组30例(35.71%)(P=0.005);穿刺路径存在PTS 14例(51.85%)高于对照组17例(20.24%)(P=0.001)。LASSO和Logistic回归分析显示,穿刺路径存在肺气肿(OR=6.937,P=0.031)、结节直径<2 cm(OR=4.151,P=0.020)、重复穿刺(OR=3.479,P=0.034)、肺内穿刺深度>2 cm(OR=8.079,P=0.011)、穿刺路径存在PTS(OR=6.450,P=0.005)是CT-LNB术后发生气胸的危险因素。受试者工作特征曲线(receiver operating characteristic, ROC)分析显示,列线图预测气胸风险曲线下面积(area under the curve, AUC)为0.88(95%CI:0.81~0.94)。临床决策曲线分析显示,高风险阈值0.05~0.78时,列线图预测气胸净临床收益较好。

结论

穿刺路径存在PTS、肺气肿、肺结节直径<2 cm、重复穿刺、肺内穿刺深度>2 cm是CT-LNB术后发生气胸的危险因素。预测模型可为临床提供气胸个体化风险决策,对伴PTS肺结节行活检时避免穿过PTS穿刺轨迹,降低气胸风险。

Objective

To explore the role of the relationship between pulmonary nodules and pleura in the prediction of pneumothorax risk after computed tomography-guided lung needle biopsy (CT-LNB).

Methods

A retrospective selection was conducted on 111 patients with pulmonary nodules who underwent CT-LNB treatment in our hospital from January 2021 to December 2024. The patients were divided into groups based on whether pneumothorax occurred after CT-LNB surgery. 27 cases with pneumothorax were classified as the observation group, and 84 cases without pneumothorax were classified as the control group. Least absolute shrinkage and selection operator (LASSO) regression and multivariate Logistic regression were used to analyze the risk factors for pneumothorax after CT-LNB and to construct a nomogram.

Results

Among the 111 cases, 32 cases had nodules in contact with the pleura, 29 cases had nodules not in contact with the pleura (with a median distance of 3.40 cm), and 50 cases had nodules with the pleural tail sign (PTS). In the observation group, 2 cases (7.41%) had nodules in contact with the pleura, which was lower than 30 cases (35.71%) in the control group (P=0.005); 14 cases (51.85%) in the observation group had PTS in the puncture path, which was higher than 17 cases (20.24%) in the control group (P=0.001). LASSO and Logistic regression analysis showed that the presence of PTS in the puncture path (OR=6.450, P=0.005), nodule diameter <2 cm (OR=4.151, P=0.020), repeated puncture (OR=3.479, P=0.034), intrapulmonary puncture depth >2 cm (OR=8.079, P=0.011), and PTS in the puncture path were risk factors for pneumothorax after CT-LNB. Receiver operating characteristic (ROC) curve analysis showed that the area under the curve (AUC)for predicting pneumothorax by the nomogram was 0.88 (95%CI: 0.81~0.94). Clinical decision curve analysis showed that when the high-risk threshold was 0.05~0.78, the nomogram had better net clinical benefit for predicting pneumothorax.

Conclusion

The presence of PTS in the puncture path, emphysema, nodule diameter <2 cm, repeated puncture, and intrapulmonary puncture depth >2 cm are risk factors for pneumothorax after CT-LNB surgery. The pneumothorax risk prediction model may be used clinically for individualized risk decision-making for pneumothorax, and when performing biopsy on pulmonary nodules with PTS, avoid puncturing through the PTS puncture trajectory to reduce the risk of pneumothorax.

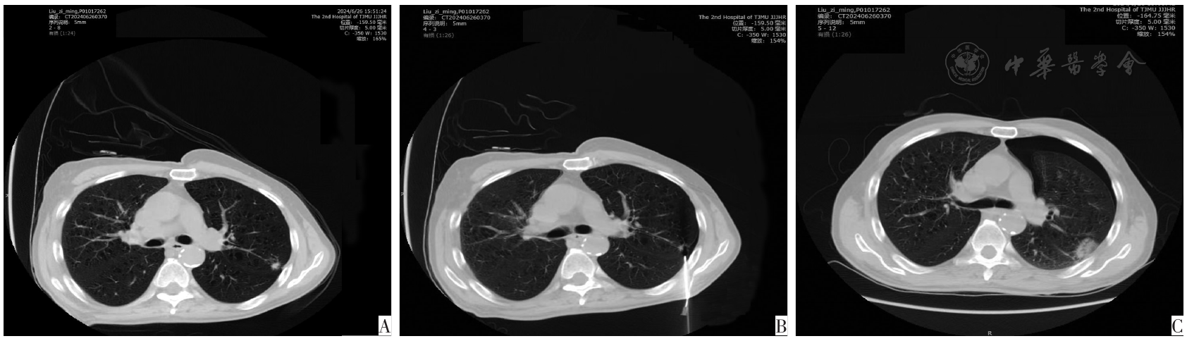
图1 CT-LNB前后69岁,男性左上叶肺结节患者CT图。图A为活检前轴向平面CT示直径9.9 mm、接触胸膜长度5.7 mm结节;图B为活检过程中获得侧卧CT示结节和经肺途径插入的活检针,肺内路径距离为17.3 mm;图C为活检后4 h仰卧CT示左侧气胸,需放置胸管
表1 两组肺结节患者临床资料结果比较
表2 多变量Logistic回归分析CT-LNB后发生气胸的影响因素
图2 CT-LNB后发生气胸风险预测列线图
1
Constantinescu A, Stoicescu ER, Iacob R, et al. CT-guided transthoracic core-needle biopsy of pulmonary nodules: Current practices, efficacy, and safety considerations[J]. J Clin Med, 2024, 13(23): 7330.
2
Liu Y, Zhao L, Yu HL, et al. Computed tomography-guided percutaneous biopsy for diagnosing pulmonary nodules: a prospective, multicenter observational study[J]. J Thorac Dis, 2025, 17(4): 1876.
3
Dadal Y, Zkamaz S, Alkolu M. Pneumothorax and pulmonary hemorrhage frequency and risk factors of computed tomography-guided transthoracic pulmonary biopsy complications[J]. J Res Clin Med, 2023, 11(1): DOI:10.34172/jrcm.2023.32199.
4
Weinand JT, du PisanieL, Ngeve S, et al. Pneumothorax after computed tomography-guided lung biopsy: Utility of immediate post-procedure computed tomography and one-hour delayed chest radiography[J]. PLoS One, 2023, 18(4): e0284145.
5
Saggiante L, Biondetti P, Lanza C, et al. Computed-tomography-guided lung biopsy: A practice-oriented document on techniques and principles and a review of the literature[J]. Diagnostics, 2024, 14(11): 1089.
6
Bourgeais G, Frampas E, Liberge R, et al. Pneumothorax incidence with normal saline instillation for sealing the needle track after computed tomography-guided percutaneous lung biopsy[J]. Cardiovasc Intervent Radiol, 2024, 47(5): 604-612.
7
Xiaoxing J, Dongnv W, Yitian W, et al. A meta-analysis examining the risk factors associated with pneumothorax during CT-guided percutaneous lung biopsy[J]. Int J Radiat Res, 2025, 23(1): 233-238.
8
Yang Y, Ma J, Peng Z, et al. Pneumothorax and pulmonary hemorrhage after C-arm cone-beam computed tomography-guided percutaneous transthoracic lung biopsy: incidence, clinical significance, and correlation[J]. BMC Pulm Med, 2024, 24(1): 33.
9
Peng B, Deng Z, Wang Y, et al. The risk of immediate pneumothorax after CT-guided lung needle biopsy: pleural tail sign as a novel factor[J]. Quant Imaging Med Surg, 2023, 13(2): 707-719.
10
Koshy M. Incidence and risk factors for pneumothorax following ct-guided lung biopsy: an analysis of lesion related and technical factors[J]. Int J Acad Med Pharm, 2025, 7(3): 499-503.
11
Zhao Y, Bao D, Wu W, et al. Development and validation of a prediction model of pneumothorax after CT-guided coaxial core needle lung biopsy[J]. Quant Imaging Med Surg, 202212(12):5404-5419.
12
杨金钢,吴少平,莫小军,等. CT引导下穿刺活检≤3.0 cm肺小结节的诊断价值及并发症对照研究[J]. 西部医学2025, 37(6): 921-926.
13
刘阳,岳孟超. CT引导下经皮穿刺肺活检诊断非小细胞肺癌准确率及其影响因素分析[J]. 河北医学2023, 29(10): 1654-1659.
14
许猛军,王泽贤,郭亚茹,等. CT定位下经皮肺穿刺活检术在肺部肿瘤患者中的应用[J/OL]. 中华肺部疾病杂志(电子版)2025, 18(5): 752-756.
15
韩蕃颉,王海滨,李淋淋,等. CT引导下经皮肺穿刺活检术后气胸风险的预测模型[J]. 实用医学杂志2025, 41(15): 2412-2417.
16
Sargent T, Kolderman N, Nair GB, et al. Risk factors for pneumothorax development following CT-guided core lung nodule biopsy[J]. J Bronchology Interv Pulmonol, 2022, 29(3): 198-205.
17
Chiu JH, Chang YY, Weng CY, et al. Risk factors for pneumothorax and pulmonary hemorrhage following computed tomography-guided transthoracic core-needle biopsy of subpleural lung lesions[J]. J Chin Med Assoc, 2022, 85(4): 500-506.
18
Deng XB, Xie L, Zhu HB, et al. The nodule-pleura relationship affects pneumothorax in CT-guided percutaneous transthoracic needle biopsy: avoiding to cross pleural tail sign may reduce the incidence of pneumothorax[J]. BMC Pulm Med, 2024, 24(1): 490.
19
Iguchi T, Hiraki T, Matsui Y, et al. CT-guided biopsy of lung nodules with pleural contact: Comparison of two puncture routes[J]. Diagn Interv Imaging, 2021, 102(9): 539-544.
20
Grange R, Sarkissian R, Bayle-Bleuez S, et al. Preventive tract embolization with gelatin sponge slurry is safe and considerably reduces pneumothorax after CT-guided lung biopsy with use of large 16-18 coaxial needles[J]. Br J Radiol, 2022, 95(1133): 20210869.
21
Rothman A, Lim S, Hasegawa D, et al. Abnormal pulmonary function testing as an independent risk factor for Procedural complications during Transthoracic needle biopsies[J]. J Bronchology Interv Pulmonol, 2022, 29(3): 213-219.
22
Onoda H, Higashi M, Murakami T, et al. Correlation between pleural tags on CT and visceral pleural invasion of peripheral lung cancer that does not appear touching the pleural surface[J]. Eur Radiol, 2021, 31(12): 9022-9029.
23
Lyu D, Wang Y, Tu W, et al. Prediction of visceral pleural invasion of clinical stage IA lung adenocarcinoma based on computed tomography features[J]. Transl Cancer Res, 2025, 14(3): 1596-1608.
24
He C, Zhao L, Yu HL, et al. Pneumothorax after percutaneous CT-guided lung nodule biopsy: a prospective, multicenter study[J]. Quant Imaging Med Surg, 2024, 14(1): 208-218.
25
Zhang J, An J, Jing X, et al. Assessing risk factors for complications in computer tomography-guided lung biopsy: quantitative analysis for predicting pneumothorax[J]. Ann Saudi Med, 2024, 44(4): 228-233.
26
Huo YR, Chan MV, Habib AR, et al. Pneumothorax rates in CT-Guided lung biopsies: a comprehensive systematic review and meta-analysis of risk factors[J]. Br J Radiol, 2020, 93(1108): 20190866.
[1] 郑佳, 李蕾, 管仁政, 曲政海. 肺炎支原体肺炎患儿发生塑型性支气管炎的危险因素分析及列线图预测模型的建立[J/OL]. 中华妇幼临床医学杂志(电子版), 2025, 21(05): 534-543.
[2] 徐世伟, 廖杜荣, 张镐, 叶辉, 陈志平, 雒洪志. 基于一种新炎症-营养指标构建结直肠癌术前淋巴结转移预测模型[J/OL]. 中华普通外科学文献(电子版), 2025, 19(06): 383-389.
[3] 腾鹏, 田景昌, 鄂春翔, 向阳, 田伯宇. 肌层浸润性膀胱癌患者根治性膀胱切除术预后列线图模型的构建及验证[J/OL]. 中华腔镜泌尿外科杂志(电子版), 2025, 19(05): 645-652.
[4] 李康虎, 刘凯, 王继伟, 王光远. 经腹腹膜前腹股沟疝修补术后尿潴留风险列线图预测模型的构建及验证[J/OL]. 中华疝和腹壁外科杂志(电子版), 2025, 19(04): 442-449.
[5] 黄少坚, 梁汉标, 李清平, 唐善华, 李青妍, 李芷西, 黄灿, 王小振, 陈灿辉, 王恺, 李川江. 基于影像组学和临床特征构建肝癌新辅助/转化治疗后病理学完全缓解预测模型[J/OL]. 中华肝脏外科手术学电子杂志, 2025, 14(06): 860-867.
[6] 赵俊宇, 林航宇, 李会灵, 王显飞, 游川. 肝癌肝切除术后大量腹水预测模型的建立与验证[J/OL]. 中华肝脏外科手术学电子杂志, 2025, 14(05): 740-747.
[7] 李毅, 姚略, 侯相见. 颅脑损伤去骨瓣减压术后新发出血的风险预测列线图模型构建[J/OL]. 中华神经创伤外科电子杂志, 2025, 11(05): 307-313.
[8] 慈娟娟, 吴俊成, 朱琴琴. 肝硬化合并食管胃静脉曲张破裂出血患者内镜治疗后再出血风险列线图的构建与验证[J/OL]. 中华消化病与影像杂志(电子版), 2026, 16(01): 47-52.
[9] 刘燕, 马亦旻. 消化道早癌患者内镜黏膜下剥离术后局部复发预测模型构建与验证[J/OL]. 中华消化病与影像杂志(电子版), 2025, 15(06): 576-582.
[10] 高星, 宦乡. 老年胃癌患者术后谵妄发生的风险列线图模型构建及应用验证[J/OL]. 中华消化病与影像杂志(电子版), 2025, 15(04): 398-404.
[11] 赵莉, 张敏伟, 郭浩东, 于海侠, 王光明, 李德春. 乳腺X线模型构建列线图预测乳腺癌HR及HER2的表达[J/OL]. 中华临床医师杂志(电子版), 2025, 19(10): 747-757.
[12] 王超, 张晓会, 李晓帆, 赵海丹. 维持性血液透析患者感染与心脑血管死亡风险的比较及联合预测模型构建[J/OL]. 中华临床医师杂志(电子版), 2025, 19(09): 675-681.
[13] 于少华, 苏飞, 芦永斌, 袁芳芸, 阚晓燕, 张涛, 侯小明. 基于血清电解质水平构建列线图模型对广泛期小细胞肺癌患者的预测价值[J/OL]. 中华临床医师杂志(电子版), 2025, 19(08): 574-581.
[14] 皇立媛, 浦洁, 王苏贵, 陈婷婷, 朱德慧, 胡雪. 中青年脑卒中患者应激障碍风险预测模型的构建与验证[J/OL]. 中华临床医师杂志(电子版), 2025, 19(07): 504-512.
[15] 邵燕, 童继春, 吴彩娟, 李冬梅, 金雅香, 郭姣. 损伤控制理念在多发肋骨骨折伴急性血气胸患者中的应用效果[J/OL]. 中华卫生应急电子杂志, 2025, 11(06): 341-345.
阅读次数
全文


摘要


AI


AI小编
你好!我是《中华医学电子期刊资源库》AI小编,有什么可以帮您的吗?