Home    中文  
 
  • Search
  • lucene Search
  • Citation
  • Fig/Tab
  • Adv Search
Just Accepted  |  Current Issue  |  Archive  |  Featured Articles  |  Most Read  |  Most Download  |  Most Cited

Chinese Journal of Lung Diseases(Electronic Edition) ›› 2026, Vol. 19 ›› Issue (01): 145-150. doi: 10.3877/cma.j.issn.1674-6902.2026.01.023

• Original Article • Previous Articles    

EB Virus-associated pulmonary lymphomatoid granulomatosis with hemophagocytic syndrome: a case report and literature review

Rongrong Chen1, Eryun Qin1, Nini Wang1, Qing Zhang1, Qiliang Feng1, Ming Liu1, Jian Wu2, Yunfeng Zhao1,(), Chengshi Zhang1,()   

  1. 1Department of Respiratory and Critical Care Medicine, Punan Branch of Renji Hospital, Shanghai Jiao Tong University School of Medicine, Shanghai 200125, China
    2Department of Pathology, Punan Branch of Renji Hospital, Shanghai Jiao Tong University School of Medicine, Shanghai 200125, China
  • Received:2025-06-16 Online:2026-02-25 Published:2026-03-23
  • Contact: Yunfeng Zhao, Chengshi Zhang

Abstract:

Objective

To investigate the clinical manifestations and diagnosis of Epstein-Barr virus (EBV)-associated pulmonary lymphomatoid granulomatosis (PLG) complicated with hemophagocytic syndrome (HPS).

Methods

We retrospectively analyzed the clinical features, laboratory findings, and treatment course of a patient with EBV-associated PLG and HPS, along with a literature review.

Results

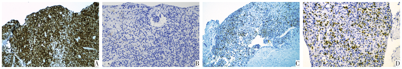
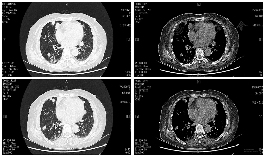
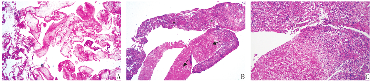
A 66-year-old female presented with fever, cough, and cutaneous nodular ecchymosis. The comprehensive examination revealed multiple nodules in both lungs, mediastinal lymphadenopathy, and splenomegaly; blood routine test: white blood cell count 2.15×109/L, hemoglobin 77 g/L, platelet count 67×109/L; C-reactive protein (CRP) 24.98 mg/L, erythrocyte sedimentation rate 35mm/1 h, ferritin>2 000.00μg/L, interleukin-2 receptor 7 500.00 U/ml, Epstein-Barr virus quantification positive, hepatitis B surface antigen, hepatitis B e antibody, and hepatitis B core antibody positive; bronchoalveolar lavage fluid next-generation sequencing(NGS) indicated Epstein-Barr virus positivity; bone marrow aspiration showed decreased platelet count and a bone marrow picture. Lung tissue biopsy immunohistochemistry (IHC) shows CD20(+ ) and Ki-67(+ ). Special stains: PAS (-) and PASM (-). In situ hybridization: EBER (+ ). The final pathological diagnosis suggests lymphomatoid granulomatosis cannot be excluded. The final diagnosis included HPS, PLG, EBV infection, chronic hepatitis B, and pulmonary infection. Initial treatment with anti-infectives, anti-inflammatory agents, and antivirals led to symptomatic improvement. However, the patient experienced recurrent pulmonary infections post-discharge. Ten months after onset, she was readmitted for fever and cough, and repeat lung biopsy confirmed B-cell lymphoma, prompting referral to hematology.

Conclusion

This report describes a rare case of EBV-associated PLG progressing to B-cell lymphoma with concurrent HPS. The findings aim to enhance clinicians′awareness of this disease entity.

Key words: Pulmonary lymphomatoid granulomatosis, Hemophagocytic syndrome, B-cell lymphoma, Epstein-Barr virus infection

京ICP 备07035254号-28
Copyright © Chinese Journal of Lung Diseases(Electronic Edition), All Rights Reserved.
Tel: 023-65425691 E-mail: xqcjld@163.com
Powered by Beijing Magtech Co. Ltd