切换至 "中华医学电子期刊资源库"

中华肺部疾病杂志(电子版) ›› 2025, Vol. 18 ›› Issue (05) : 673 -678. doi: 10.3877/cma.j.issn.1674-6902.2025.05.002

论著

原发性干燥综合征伴肺结节的临床特征
徐蓓1, 厉小梅1,(), 王俐1, 李雨薇1, 徐晓玲2, 陈卓3   
  1. 1230001 合肥,中国科学技术大学附属第一医院风湿免疫科
    2230001 合肥,中国科学技术大学附属第一医院呼吸与危重症医学科
    3230001 合肥,中国科学技术大学附属第一医院临床病理中心
  • 收稿日期:2025-06-30 出版日期:2025-10-25
  • 通信作者: 厉小梅
  • 基金资助:
    国家自然科学基金项目(U2120365)

Clinical characteristics of primary Sjögren′s syndrome complicated with pulmonary nodules

Bei Xu1, Xiaomei Li1,(), Li Wang1, Yuwei Li1, Xiaoling Xu2, Zhuo Chen3   

  1. 1Department of Rheumatology and Immunology, the First Affiliated Hospital of University of Science and Technology of China, Hefei 230001, China
    2Department of Respiratory and Critical Care Medicine, the First Affiliated Hospital of University of Science and Technology of China, Hefei 230001, China
    3The Clinical Pathology Centre, the First Affiliated Hospital of University of Science and Technology of China, Hefei 230001, China
  • Received:2025-06-30 Published:2025-10-25
  • Corresponding author: Xiaomei Li
引用本文:

徐蓓, 厉小梅, 王俐, 李雨薇, 徐晓玲, 陈卓. 原发性干燥综合征伴肺结节的临床特征[J/OL]. 中华肺部疾病杂志(电子版), 2025, 18(05): 673-678.

Bei Xu, Xiaomei Li, Li Wang, Yuwei Li, Xiaoling Xu, Zhuo Chen. Clinical characteristics of primary Sjögren′s syndrome complicated with pulmonary nodules[J/OL]. Chinese Journal of Lung Diseases(Electronic Edition), 2025, 18(05): 673-678.

目的

分析原发性干燥综合征(primary Sjögren′s syndrome, pSS)伴肺结节(pulmonary nodule, PN)的临床特征。

方法

回顾性分析2017年5月至2024年12月我院收治的32例pSS伴肺结节患者的临床资料、组织病理学检查结果及胸部CT影像学资料。

结果

32例中男3例(9.38%),女29例(90.62%),有吸烟史4例(12.50%),临床表现口干26例、眼干12例和关节痛7例;呼吸道症状咳嗽、胸闷、胸痛和咯血13例;无呼吸道症状、体检肺部CT发现肺结节17例。免疫球蛋白(immunoglobulin, IgG)升高16例。组织病理学检查显示,良性病变10例(31.25%),其中肺淀粉样变2例、肺肉芽肿炎2例,纤维钙化结节1例及炎性细胞浸润5例;肿瘤患者22例(68.88%),其中肺癌17例,淋巴瘤4例,浆细胞瘤1例。良性病变者较肺癌和淋巴瘤患者呼吸道症状咳嗽、胸闷、胸痛和咯血常见(P<0.05);淋巴瘤患者肺结节数多(P<0.05);单个肺结节、磨玻璃样改变与肺癌相关。随访结束,32例中生存者26例(81.25%),死亡者6例(18.75%),其中因肺癌死亡者4例(12.50%),淋巴瘤死亡者1例(3.12%),良性病变死亡者1例(3.12%);脑出血死亡者1例,5例为呼吸系统并发症相关死亡。

结论

pSS患者肺结节活检多为恶性肿瘤,单发结节及磨玻璃样改变常与肺癌相关,呼吸道症状多见于良性病变者。

Objective

To analyze the clinical characteristics of pulmonary nodules (PN) in patients with primary Sjögren′s syndrome (pSS).

Methods

A retrospective analysis was conducted on the clinical data, histopathological examination results, and chest CT imaging findings of 32 pSS patients with pulmonary nodules admitted to our hospital from May 2017 to December 2024.

Results

Among the 32 patients, 3 cases(9.38%) were male and 29 cases (90.62%) were female. Four patients (12.50%) had a history of smoking. Clinical manifestations included dry mouth 26 cases, dry eyes 12 cases, and arthralgia 7 cases. Respiratory symptoms (cough, chest tightness, chest pain, and hemoptysis) were present in 13 cases, while 17 cases had no respiratory symptoms and pulmonary nodules were discovered incidentally on physical examination CT. Immunoglobulin G (IgG) was elevated in 16 cases. Histopathological examination revealed benign lesions in 10 cases (31.25%), including pulmonary amyloidosis 2 cases, pulmonary granulomatous inflammation 2 cases, fibrocalcified nodules 1 case, and inflammatory cell infiltration 5 cases. Malignant tumors were found in 22 cases (68.88%), including lung cancer 17 cases, lymphoma 4 cases, and plasmacytoma 1 case. Respiratory symptoms (cough, chest tightness, chest pain, and hemoptysis) were significantly more common in patients with benign lesions compared to those with lung cancer or lymphoma (P<0.05). Patients with lymphoma had a significantly higher number of pulmonary nodules (P<0.05). Solitary pulmonary nodules and ground-glass opacity were associated with lung cancer. At the end of follow-up, 26 patients (81.25%) were alive, and 6 patients (18.75%) had died. Causes of death included lung cancer in 4 cases(12.50%), lymphoma in 1 case(3.12%), and benign lesions in 1 case(3.12%); one death was due to cerebral hemorrhage, and five were related to respiratory complications.

Conclusion

Malignant tumors are common findings in pSS patients with lung nodule biopsies. Solitary nodules and ground-glass opacity are frequently associated with lung cancer, while respiratory symptoms are more common in patients with benign lesions.

表1 pSS伴肺结节患者临床资料
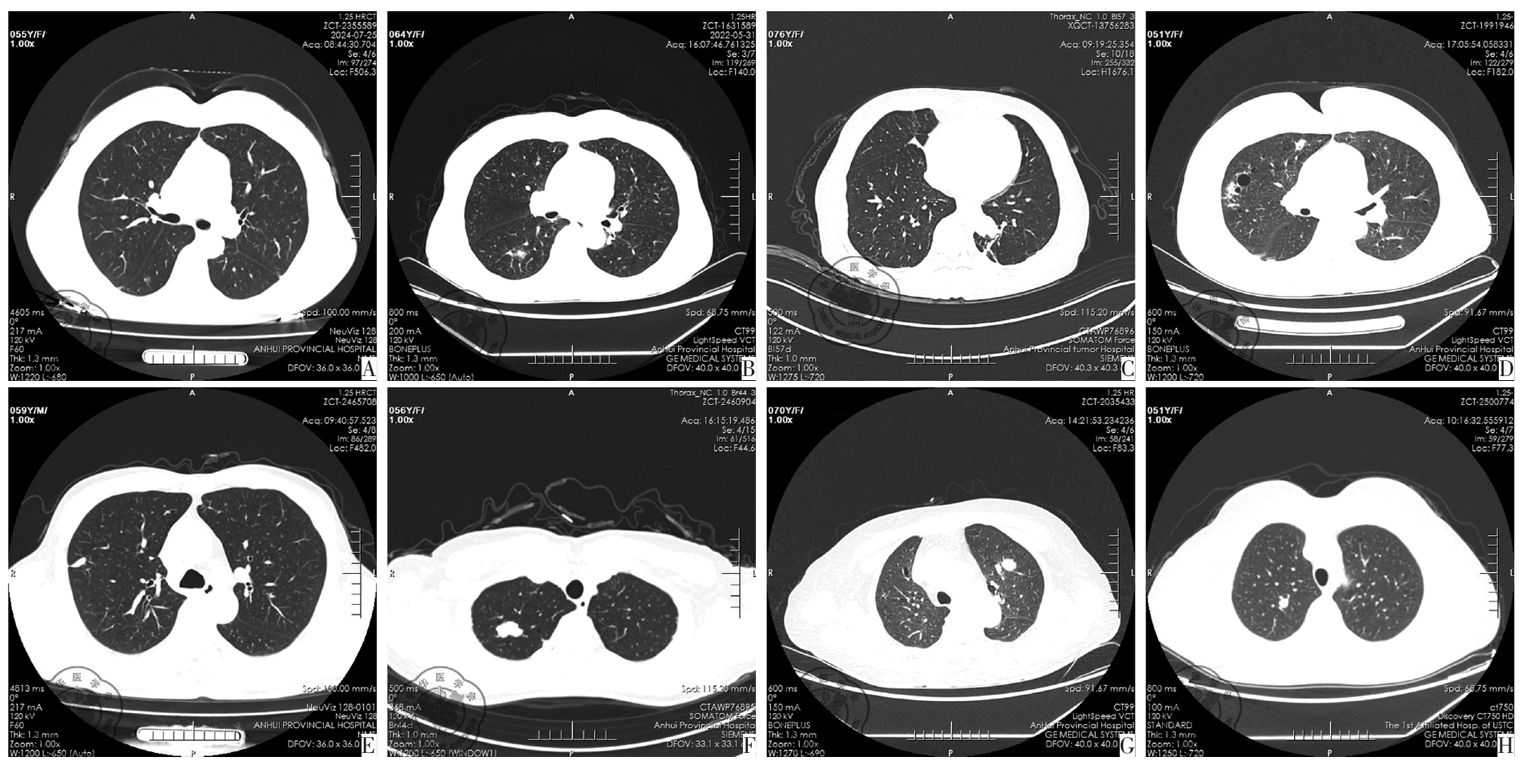
图1 pSS伴肺结节患者胸部CT扫描检查。图A为右肺下叶7 mm混杂磨玻璃结节,经手术肺活检诊断为微浸润腺癌;图B为右下肺边界欠清磨玻璃结节,经手术肺活检诊断为边缘区淋巴瘤;图C为左肺下叶分叶状结节影,局部包绕胸主动脉,病变区域支气管狭窄,经肺细针穿刺诊断为弥漫大B细胞淋巴瘤,生发中心源性;图D为双肺多发结节状高密度影,伴肺组织囊性变,经胸腔镜活检诊断为肺淀粉样轻链沉积;图E为右肺上叶一边界较清实性结节,18 mm×8 mm,经手术肺活检诊断为肉芽肿性炎;图F为右肺上叶不规则边界尚清高密度结节,可见分叶,23 mm×14 mm,其内可见点状钙化影,手术活检证实为纤维钙化结节;图G为左肺上叶类圆形高密度影,边缘见浅分叶,穿刺活检示多灶淋巴细胞、浆细胞浸润,并见较多碳末沉积;图H为右肺上叶类圆形高密度影,约10 mm,界清,经手术肺活检诊断为浆细胞瘤
表2 pSS伴肺结节患者组织病理学结果[n(%)]
图2 pSS伴肺结节患者病理学检查。图A为肺微浸润肺癌(HE染色,×200);图B为弥漫性大B细胞淋巴瘤(HE染色,×200);图C为浆细胞瘤(HE染色,×100);图D为淀粉样变(HE染色,×200)
表3 pSS伴PNs患者亚组临床特征比较
1
杨莎莎,张毛为,孙宜田,等. 结缔组织疾病相关间质性肺病并发小气道功能障碍临床分析[J/OL]. 中华肺部疾病杂志(电子版), 2024, 17(5): 738-743.
2
Parambil GJ, Myers LJ, Lindell MR, et al. Interstitial lung disease in primary Sjögren syndrome[J]. Chest, 2006, 130(5): 1489-1495.
3
MU, HP K, AA B, et al. Lung manifestation in asymptomatic patients with primary Sjogren syndrome: assessment with high resolution CT and pulmonary function tests[J]. J Thorac Imag, 2001, 16(4): 282-289.
4
Christian L, Markus U, Klaus W, et al. High-resolution CT imaging of the lung for patients with primary Sjögren′s syndrome[J]. European J Radiol, 2004, 52(2): 137-143.
5
Ryoko E, Tetsuya K, Tetsuyoshi H, et al. CT findings of thoracic manifestations of primary Sjögren syndrome: radiologic-pathologic correlation[J]. Radiographics, 2013, 33(7): 1933-1949.
6
Thomas F, Adrien B, Benjamin C, et al. Pulmonary manifestations of Sjögren′s syndrome[J]. European Respir Rev, 2016, 25(140): 110-123.
7
Kreider M, Highland K. Pulmonary involvement in Sjögren syndrome[J]. Semin Respir Crit Care Med, 2014, 35(2): 255-264.
8
Carlotta N, JA J, SC C, et al. Primary Sjögren′s syndrome 1976-2005 and associated interstitial lung disease: a population-based study of incidence and mortality[J]. BMJ Open, 2013, 3(11): e003569.
9
Manuel Ramos-Casals, Roser Solans, Jose Rosas, et al. Primary Sjogren syndrome in Spain: clinical and immunologic expression in 1010 patients.[J]. Medicine, 2008, 87(4): 210-219.
10
赵德胜,郑浩然,苏丹. 合肥市某三级医院医务人员肺结节检出情况及影响因素分析[J]. 实用预防医学2024, 31(2): 180-184.
11
钱春蕊,周燕,张晶,等. 高分辨率CT与多层螺旋CT在肺结节及早期肺癌中的应用[J/OL]. 中华肺部疾病杂志(电子版), 2024, 17(5): 827-830.
12
方济,陈鹏程,方琼. 健康体检人群肺部结节检出情况及影响因素的探讨[J]. 黑龙江医药科学2023, 46(5): 171-172+175.
13
Franquet T, Giménez A, Monill JM, et al. Primary Sjögren′s syndrome and associated lung disease: CT findings in 50 patients[J]. AJR Am J Roentgenol, 1997, 169(3): 655-658.
14
Koyama M, Johkoh T, Honda O, et al. Pulmonary involvement in primary Sjögren′s syndrome: spectrum of pulmonary abnormalities and computed tomography findings in 60 patients[J]. J Thorac Imag, 200116(4): 290-296.
15
徐艳,臧银善,高玲,等. 原发性干燥综合征合并肺受累高分辨CT特点及相关危险因素探讨[J]. 风湿病与关节炎2019, 8(9): 39-42.
16
Casal Moura M, Navin PJ, Johnson GB, et al. Pulmonary nodules in patients with primary Sjögren′s syndrome: Causes, clinico-radiologic features, and outcomes[J]. Respir Med, 2020, 174: 106200.
17
Grogg KL, Aubry MC, Vrana JA, et al. Nodular pulmonary amyloidosis is characterized by localized immunoglobulin deposition and is frequently associated with an indolent B-cell lymphoproliferative disorder[J]. Am J Surg Pathol, 2013, 37(3): 406-412.
18
Lachmann HJ, Hawkins PN. Amyloidosis and the lung[J]. Chron Respir Dis, 2006, 3(4): 203-214.
19
Hansen LA, Prakash UB, Colby TV. Pulmonary lymphoma in Sjögren′s syndrome[J]. Mayo Clin Proc, 1989, 64(8): 920-931.
20
Xian JZ, Cherian SV, Idowu M, et al. A 45-year-old woman with multiple pulmonary nodules and sjögren syndrome[J]. Chest, 2019, 155(2): e51-e54.
21
Polansky SM, Ravin CE. Nodular pulmonary infiltrate in a patient with Sjögren′s syndrome[J]. Chest, 1980, 77(3): 411-412.
22
Kobayashi H, Matsuoka R, Kitamura S, et al. Sjögren′s syndrome with multiple bullae and pulmonary nodular amyloidosis[J]. Chest, 1988, 94(2): 438-440.
23
Voulgarelis M, Ziakas PD, Papageorgiou A, et al. Prognosis and outcome of non-Hodgkin lymphoma in primary Sjögren syndrome[J]. Medicine (Baltimore), 2012, 91(1): 1-9.
24
Brito-Zerón P, Kostov B, Fraile G, et al. Characterization and risk estimate of cancer in patients with primary Sjögren syndrome[J]. J Hematol Oncol, 2017, 10(1): 90.
25
Liang Y, Yang Z, Qin B, et al. Primary Sjögren′s syndrome and malignancy risk: a systematic review and meta-analysis[J]. Ann Rheum Dis, 2014, 73(6): 1151-1156.
26
Routsias JG, Goules JD, Charalampakis G, et al. Malignant lymphoma in primary Sjögren′s syndrome: an update on the pathogenesis and treatment[J]. Semin Arthritis Rheum, 2013, 43(2): 178-186.
27
Retamozo S, Brito-Zerón P, Ramos-Casals M. Prognostic markers of lymphoma development in primary Sjögren syndrome[J]. Lupus, 2019, 28(8): 923-936.
28
Gorodetskiy VR, Probatova NA, Vasilyev VI. Unusual course of generalized lymph node primary plasmacytoma in a patient with Sjögren′s syndrome: a case report[J]. J Med Case Rep, 2017, 11(1): 116.
29
Vasaitis L, Nordmark G, Theander E, et al. Population-based study of patients with primary Sjögren′s syndrome and lymphoma: lymphoma subtypes, clinical characteristics, and gender differences[J]. Scand J Rheumatol, 2020, 49(3): 225-232.
30
Brom M, Moyano S, Gandino IJ, et al. Incidence of cancer in a cohort of patients with primary Sjögren syndrome in Argentina[J]. Rheumatol Int, 2019, 39(10): 1697-1702.
31
Xu Y, Fei Y, Zhong W, et al. The Prevalence and clinical characteristics of primary Sjögren′s syndrome patients with lung cancer: An analysis of ten cases in China and literature review[J]. Thorac Cancer, 2015, 6(4): 475-479.
32
Khoor A, Colby TV. Amyloidosis of the Lung[J]. Arch Pathol Lab Med, 2017, 141(2): 247-254.
33
Rajagopala S, Singh N, Gupta K, et al. Pulmonary amyloidosis in Sjögren′s syndrome: a case report and systematic review of the literature[J]. Respirology, 2010, 15(5): 860-866.
34
Tastekin F, Kerim D, Sen S, et al. Coexistence of Sjögren′s syndrome and pulmonary nodular amyloidosis[J]. Int J Rheum Dis, 2023, 26(12): 2563-256.
[1] 李陈钰, 贺青卿, 庄大勇, 周鹏, 岳涛, 邵长秀, 徐婧, 李小磊. 乳腺、肺及甲状腺同时性三原发癌一例[J/OL]. 中华乳腺病杂志(电子版), 2025, 19(03): 188-189.
[2] 文旻, 越桐, 李明, 张丹, 苏改秀, 赖建铭, 吴凤岐. 儿童原发性干燥综合征患儿的早期肾损伤特点及临床诊治[J/OL]. 中华妇幼临床医学杂志(电子版), 2025, 21(02): 230-236.
[3] 丁科, 张亚琼, 刘杰, 邓莉平, 张永喜, 熊勇. 获得性免疫缺陷综合征相关淋巴瘤患者的临床特征及生存状况的变化趋势[J/OL]. 中华实验和临床感染病杂志(电子版), 2024, 18(05): 278-284.
[4] 张艳云, 白起之, 张健伟, 郭大志, 马丹, 龚明福. 基于AI 的CT 定量用于肺结节性质及浸润程度的影像学分析[J/OL]. 中华肺部疾病杂志(电子版), 2025, 18(03): 411-415.
[5] 宋飞鹏, 王盈升, 许洪波, 吕发金. 不同既往癌症病史对PNI-GARS和Lung-RADS 诊断意义[J/OL]. 中华肺部疾病杂志(电子版), 2024, 17(06): 925-930.
[6] 蔡玉琳, 牛丹, 马丹, 王爽. 不同CT 重建算法对人工智能肺结节诊断的意义[J/OL]. 中华肺部疾病杂志(电子版), 2024, 17(06): 931-935.
[7] 张青, 宋明, 闫嘉, 王娇. 卡瑞利珠单抗联合克唑替尼治疗ALK 阳性NSCLC 疗效分析[J/OL]. 中华肺部疾病杂志(电子版), 2024, 17(06): 967-970.
[8] 王黔宇, 王云, 蒋婷, 杨芳, 廖江荣. 微波消融和冷冻消融治疗肺结节有效性及安全性对比分析[J/OL]. 中华肺部疾病杂志(电子版), 2024, 17(06): 980-984.
[9] 犹成亿, 尤恒, 叶东樊, 张雯, 刘禹, 王仁宇, 苏琳茜, 甘慧, 徐智. 基于3D Res U-Net-Faster RCNN 技术和CT 影像学特征的肺结节性质预测模型的建立[J/OL]. 中华肺部疾病杂志(电子版), 2024, 17(05): 673-679.
[10] 钱春蕊, 周燕, 张晶, 蔡笃财, 门慧, 王松海, 黎莉, 邢龙. 高分辨率CT 与多层螺旋CT 在肺结节及早期肺癌中的应用[J/OL]. 中华肺部疾病杂志(电子版), 2024, 17(05): 827-830.
[11] 张龙, 孙善柯, 徐伟, 李文柱, 李俊达, 池涌泉, 何广胜, 成峰, 王学浩, 饶建华. 腹腔镜脾切除治疗血液系统疾病的临床疗效分析[J/OL]. 中华肝脏外科手术学电子杂志, 2024, 13(06): 870-875.
[12] 陈志, 李猛, 万修华. 肠道菌群与干眼的研究进展[J/OL]. 中华眼科医学杂志(电子版), 2025, 15(01): 55-59.
[13] 孙铭远, 褚恒, 徐海滨, 张哲. 人工智能应用于多发性肺结节诊断的研究进展[J/OL]. 中华临床医师杂志(电子版), 2024, 18(08): 785-790.
[14] 马钰杰, 游雨禾, 朴哲, 薛洪省, 曹文军, 王珍, 赵志龙. 人工智能在肺结节预测模型中应用的研究现状[J/OL]. 中华胸部外科电子杂志, 2025, 12(01): 39-48.
[15] 王嘉巍, 张广健, 杜昊楠, 余宸傲, 张佳. 混合现实技术在肺结节手术中的应用进展[J/OL]. 中华胸部外科电子杂志, 2024, 11(04): 254-259.
阅读次数
全文


摘要


AI


AI小编
你好!我是《中华医学电子期刊资源库》AI小编,有什么可以帮您的吗?