切换至 "中华医学电子期刊资源库"

中华肺部疾病杂志(电子版) ›› 2025, Vol. 18 ›› Issue (05) : 784 -788. doi: 10.3877/cma.j.issn.1674-6902.2025.05.022

论著

口腔来源的齿垢密螺旋体肺脓肿一例及文献复习
吴志利1, 骆小莉2, 徐静1, 胡明冬1, 陈晓龙1,()   
  1. 1400037 重庆,陆军(第三)军医大学第二附属医院老年与特勤医学科
    2400037 重庆,陆军(第三)军医大学第二附属医院呼吸与危重症医学中心
  • 收稿日期:2025-02-13 出版日期:2025-10-25
  • 通信作者: 陈晓龙
  • 基金资助:
    重庆市自然科学基金面上项目(CSTB2023NSCQMSX0388); 陆军军医大学科技创新能力提升专项项目(2022XQN33); 陆军军医大学第二附属医院青年博士人才孵育项目(2022YQB065)

A case of lung abscess caused by Treponema denticola from oral source and literature review

Zhili Wu1, Xiaoli Luo2, Jing Xu1, Mingdong Hu1, Xiaolong Chen1,()   

  1. 1Department of Geriatric and Special Operations Medicine
    2Center for Respiratory and Critical Care Medicine, Xinqiao Hospital, Army Medical University, Chongqing 400037, China
  • Received:2025-02-13 Published:2025-10-25
  • Corresponding author: Xiaolong Chen
引用本文:

吴志利, 骆小莉, 徐静, 胡明冬, 陈晓龙. 口腔来源的齿垢密螺旋体肺脓肿一例及文献复习[J/OL]. 中华肺部疾病杂志(电子版), 2025, 18(05): 784-788.

Zhili Wu, Xiaoli Luo, Jing Xu, Mingdong Hu, Xiaolong Chen. A case of lung abscess caused by Treponema denticola from oral source and literature review[J/OL]. Chinese Journal of Lung Diseases(Electronic Edition), 2025, 18(05): 784-788.

目的

提高对口腔厌氧菌致肺脓肿的临床认识,分析齿垢密螺旋体(Treponema denticola, Tdenticola)致肺脓肿的发病机制、诊断策略及治疗方法,强调口腔-肺轴感染在呼吸道感染性疾病中的重要性。

方法

收治1例58岁女性,患有2型糖尿病及口腔卫生不良,确诊为齿垢密螺旋体肺脓肿,结合文献复习分析其临床特点。患者以慢性干咳为主要表现,影像学表现为双肺多发实变影。通过支气管镜活检、传统微生物培养及宏基因组二代测序(metagenomic next-generation sequencing, mNGS)进行病原学诊断,治疗上采用哌拉西林他唑巴坦,序贯青霉素G抗感染治疗,辅以口腔局部干预(聚维酮碘含漱)和血糖控制。文献检索涵盖自1986年至2024年相关发病机制、诊断难点及治疗策略,检索数据库包括PubMed和中国知网。

结果

血沉(erythrocyte sedimentation rate, ESR)64.00 mm/1 h、血糖(glucose, GLU)11.10 mmol/L、C反应蛋白(C-reactive protein, CRP)8.3 mg/L,最后经mNGS检测确诊(齿垢密螺旋体序列数9165),传统培养未检出病原体。予以哌拉西林他唑巴坦治疗10 d后症状改善,随后序贯青霉素G治疗6周,复查CT显示病灶显著吸收。口腔菌群误吸是核心致病机制,糖尿病及免疫低下为高危因素;mNGS可克服传统培养限制,精准识别厌氧菌;β-内酰胺类抗生素联合口腔清洁是有效治疗方案,疗程需4~6周。

结论

齿垢密螺旋体肺脓肿罕见易误诊,多见于口腔卫生不良合并基础疾病者。mNGS技术可显著提升病原体检出率,利于临床有效抗感染治疗。青霉素类药物治疗结合口腔干预及基础疾病管理,是实现治愈的关键,多学科协作模式有助于优化诊疗流程。

Objective

This study seks to improve the clinical understanding of lung absceses that originate from the oral cavity. It emphasizes the pathogenesis, diagnostic aproaches, and treatment methods of Treponema denticola (T. denticola)-induced lung absceses. Moreover, the significance of oral-lung axis infection in respiratory infectious diseases is highlighted.

Methods

We present a case of T. denticola lung absces in a 58-year-old female patient with type 2 diabetes and por oral hygiene, and analyze its clinical characteristics while reviewing literature. The patient had chronic dry cough as the primary symptom, and imaging showed multiple consolidations in both lungs. We conducted a comprehensive etiological diagnosis by employing bronchoscopic biopsy, traditional microbial culture, and metagenomic next-generation sequencing (mNGS). The treatment regimen involved a sequential aproach with the use of piperacilin-tazobactam, penicilin G, and local oral care using povidone-iodine gargle, along with blod glucose management. A literature search included pathogenesis, diagnostic chalenges, and treatment strategies.

Results

Erythrocyte sedimentation rate(ESR)64.00 mm/1 h, glucose(GLU)11.10 mmol/L, C-reactive protein(CRP)8.3 mg/L, The patient was definitively diagnosed by mNGS (T. denticola sequence count: 9, 165), while traditional culture failed to detect the pathogen. Symptoms improved after 10 days of initial piperacillin sodium-tazobactam sodium treatment, and follow-up CT after 6 weeks of sequential penicillin G therapy showed significant lesion resolution. Literature indicates that aspiration of oral flora is the core pathogenic mechanism, with diabetes and immunodeficiency as high-risk factors. Moreover, mNGS can overcome the limitations of traditional culture and accurately identify anaerobic bacteria. Effective treatments include β-lactam antibiotics combined with oral hygiene, typically requiring a 4-6 week course.

Conclusion

T. denticola lung abscess is rare but prone to misdiagnosis, particularly in individuals with poor oral hygiene and underlying diseases. mNGS technology significantly improves pathogen detection rates, guiding clinicians in precise anti-infective therapy. Penicillin-based treatment combined with oral intervention and management of underlying conditions is key to cure, and a multidisciplinary collaborative model is crucial for optimizing diagnosis and treatment.

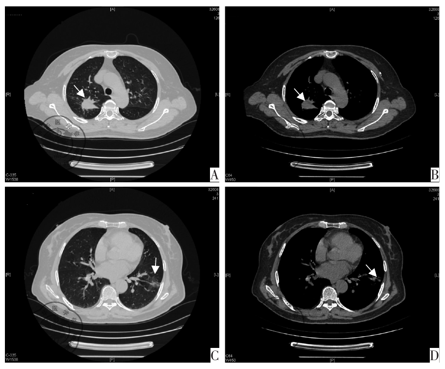
图1 患者治疗前。图A为肺窗显示右肺上叶后段实性片状、结节影,边缘欠规整,周围少量模糊影(箭头);图B为纵隔窗显示增强后中度不均匀强化,其内见无强化低密度影(箭头);图C为肺窗显示左肺下叶外侧基底段实性结节影(箭头);图D为纵隔窗(箭头)
图2 患者治疗后。图A为肺窗显示右肺上叶后段实性肿块、结节及斑片影(箭头);图B为纵隔窗(箭头);图C为肺窗显示左肺下叶外侧基底段絮状影(箭头);图D为纵隔窗(箭头)
1
Chu L, Wu Y, Xu X, et al. Glutathione catabolism by Treponema denticola impacts its pathogenic potential[J]. Anaerobe, 2020, 62: 102170.
2
任成山,王关嵩,钱桂生. 慢性阻塞性肺疾病的成因及其治疗的困惑与希望[J/OL]. 中华肺部疾病杂志(电子版), 2019, 12(2): 127-141.
3
鲍晓利,唐楠. 齿垢密螺旋体肺炎致咯血一例[J]. 中国呼吸与危重监护杂志2021, 20(12): 889-891.
4
Gliga S, Devaux M, Woimant MG, et al. Actinomyces graevenitzii pulmonary abscess mimicking tuberculosis in a healthy young man[J]. Can Respir J, 2014, 21(6): e75-e77.
5
Zhang M, Zhang XY, Chen YB. Primary pulmonary actinomycosis: a retrospective analysis of 145 cases in mainland China[J]. Int J Tuberc Lung Dis, 2017, 21(7): 825-831.
6
Shi T, Chen H, Liu Y, et al. Clinical applications of metagenomic next-generation sequencing in the identification of pathogens in periprosthetic joint infections: a retrospective study[J]. J Orthop Surg Res, 2024, 19(1): 301.
7
Katsuda R, Inubushi J, Tobata H, et al. Genetic homology between bacteria isolated from pulmonary abscesses or pyothorax and bacteria from the oral cavity[J]. Microbiol Spectr, 2022, 10(1): e0097421.
8
Gaeckle NT, Pragman AA, Pendleton KM, et al. The oral-lung axis: the impact of oral health on lung health[J]. Respir Care, 2020, 65(8): 1211-1220.
9
Okuda K, Kimizuka R, Abe S, et al. Involvement of periodontopathic anaerobes in aspiration pneumonia[J]. J Periodontology, 2005, 76(11 Suppl): 2154-2160.
10
Youn HS, Saitoh SI, Miyake K, et al. Inhibition of homodimerization of toll-like receptor 4 by curcumin[J]. Biochemical pharmacology, 2006, 72(1): 62-69.
11
Cheepsattayakorn A, Cheepsattayakorn R. Human genetic influence on susceptibility of tuberculosis: from infection to disease[J]. J Med Assoc Thai, 2009, 92(1): 136.
12
American Diabetes Association. Standards of care in diabetes-2023 abridged for primary care providers[J]. Clinical Diabetes, 2023, 41(1): 4-31.
13
Nozawa A, Oshima H, Togawa N, et al. Development of oral care chip, a novel device for quantitative detection of the oral microbiota associated with periodontal disease[J]. PLoS One, 2020, 15(2): e0229485.
14
黄培恩,申道南,吴亚菲. 齿垢密螺旋体与龈下菌斑微生物相互作用的研究进展[J]. 中华口腔医学杂志2021, 56(4): 380-384.
15
Siqueira Jr JF, Roças IN. Diversity of endodontic microbiota revisited[J]. J Dent Res, 2009, 88(11): 969-981.
16
Kuhajda I, Zarogoulidis K, Tsirgogianni K, et al. Lung abscess-etiology, diagnostic and treatment options[J].Ann Transl Med, 2015, 3(13): 183.
17
Yu X, Jiang W, Huang X, et al. rRNA analysis based on long-read high-throughput sequencing reveals a more accurate diagnostic for the bacterial infection of ascites[J].Biomed Res Int, 2021, 2021(1): 6287280.
18
Zhang K, Bai YZ, Liu C, et al. Composition of pathogenic microorganism in chronic osteomyelitis based on metagenomic sequencing and its application value in etiological diagnosis[J]. BMC Microbiol, 2023, 23(1): 313.
19
Schlaberg R, Chiu CY, Miller S, et al. Validation of metagenomic next-generation sequencing tests for universal pathogen detection[J]. Arch Pathol Lab Med, 2017, 141(6): 776-786.
20
Huang J, Jiang E, Yang D, et al. Metagenomic next-generation sequencing versus traditional pathogen detection in the diagnosis of peripheral pulmonary infectious lesions[J]. Infect Drug Resist, 2020: 567-576.
21
Yaqoob H, Naved N, Khan SA, et al. Evaluation of dentists’ clinical practices and antibiotic use in managing endodontic emergencies in Karachi, Pakistan: a cross-sectional survey[J]. BMC Oral Health, 2024, 24(1): 1565.
22
Pretzl B, Sälzer S, Ehmke B, et al. Administration of systemic antibiotics during non-surgical periodontal therapy—A consensus report[J].Clin Oral Investig, 2019, 23(7): 3073-3085.
23
Gupta D, Agarwal R, Aggarwal AN, et al. Guidelines for diagnosis and management of community-and hospital-acquired pneumonia in adults: Joint ICS/NCCP (I) recommendations[J]. Lung India, 2012, 29(Suppl 2): S27-S62.
24
Ricardo PT, Flavia RFT. Antimicrobial agents used in the control of periodontal biofilms: effective adjuncts to mechanical plaque control?[J]. Braz Oral Res, 2009, 23(Suppl 1): 39-48.
25
Sanz M, Herrera D, Kebschull M, et al. Treatment of stage Ⅰ-Ⅲ periodontitis-The EFP S3 level clinical practice guideline[J]. J Clin Periodontol, 2020, 22(Suppl 22): 4-60.
26
American Diabetes Association. Standards of care in diabetes-2023 abridged for primary care providers[J]. Clin Diabetes, 2023, 41(2): 328.
27
American Diabetes Association Professional Practice Committee. 6. Glycemic goals and hypoglycemia: standards of care in diabetes-2024[J]. Diabetes care, 2023, 47(Suppl 1): S111.
28
Zhang YF, Wang W, Xin XW, et al. Management of descending necrotizing mediastinitis with severe thoracic empyema using minimally invasive video-assisted thoracoscopic surgery: a case report[J]. Transl Pediatr, 2022, 11(8): 1415-1421.
29
Li Y, Shi P, Zhu R. A pulmonary abscess caused by Porphyromonas endodontalis infection: A case report and literature review[J]. Diagn Microbiol Infect Dis, 2024, 108(1): 116126.
[1] 王柳清, 李萍, 李小石, 刘阳, 吴鹤龄, 周国平. 以头痛、乏力首诊于神经科的鹦鹉热衣原体肺炎二例及文献复习[J/OL]. 中华实验和临床感染病杂志(电子版), 2024, 18(03): 176-181.
[2] 李倩, 邓莉平, 陈果, 张忠威, 莫平征, 胡文佳, 陈良君, 张捷, 张永喜, 杨蓉蓉, 熊勇. 宏基因组二代测序在获得性免疫缺陷综合征合并中枢神经系统感染中的临床应用[J/OL]. 中华实验和临床感染病杂志(电子版), 2023, 17(01): 24-31.
[3] 孙国先, 蔡萍, 刘微丽, 孟丽君, 侯红玲. 宏基因组二代测序在鲍曼不动杆菌肺炎混合感染者诊疗中的应用[J/OL]. 中华实验和临床感染病杂志(电子版), 2022, 16(02): 115-121.
[4] 罗来邦, 王绪杨, 胡续光, 张友福, 徐志丹. 宏基因组二代测序早期筛查肝移植术后人类微小病毒B19感染临床研究[J/OL]. 中华移植杂志(电子版), 2022, 16(06): 346-352.
[5] 叶春幸, 丘国清, 林缓卿, 申严, 陈思达, 赖育庭, 徐香琴. 宏基因组二代测序肺结核及病原体特征分析[J/OL]. 中华肺部疾病杂志(电子版), 2024, 17(06): 985-990.
[6] 林英, 何洪, 杨琦, 姚兴伟, 马婧涵, 杨玉婷, 刘月红, 贾悦, 李长安. 联合宏基因组二代测序诊断普雷沃氏菌致肺脓肿1例并文献复习[J/OL]. 中华肺部疾病杂志(电子版), 2024, 17(04): 625-629.
[7] 徐旺, 王赛妮, 李华娟, 唐英俊, 刘峰, 林玲, 黄华萍. 肺泡灌洗液宏基因组二代测序辅助诊断肺隐球菌病一例[J/OL]. 中华肺部疾病杂志(电子版), 2023, 16(01): 132-134.
[8] 徐心怡, 曹磊, 刘澄英. 8例鹦鹉热衣原体肺炎临床特征分析[J/OL]. 中华肺部疾病杂志(电子版), 2022, 15(05): 739-741.
[9] 任腾, 刘伟, 焦娇, 李艳燕, 马瑞娜, 房延凤, 金发光. 耶氏肺孢子菌肺炎的临床特征分析[J/OL]. 中华肺部疾病杂志(电子版), 2022, 15(04): 473-476.
[10] 杨翔, 郭兰骐, 谢剑锋, 邱海波. 宏基因组二代测序在脓毒症病原体诊断中的应用进展[J/OL]. 中华重症医学电子杂志, 2023, 09(03): 292-297.
[11] 黄建玲, 王丽. 猪链球菌脑膜炎一例报道[J/OL]. 中华脑科疾病与康复杂志(电子版), 2024, 14(03): 187-189.
[12] 张庭秀, 胡绳, 马李杰, 肖贞良. 普雷沃氏菌感染致肺脓肿特征分析[J/OL]. 中华诊断学电子杂志, 2022, 10(04): 234-237.
[13] 裴小华, 张涛, 金柯, 柏云, 高飞, 朱蓓, 赵卫红. 非人类免疫缺陷病毒患者感染肺孢子菌肺炎的诊断学特征并文献复习[J/OL]. 中华诊断学电子杂志, 2022, 10(04): 224-228.
[14] 韩英杰, 张卫锋, 任占良, 任小朋, 张泳. 1例小细胞肺癌误诊为肺脓肿诊治分析[J/OL]. 中华胸部外科电子杂志, 2019, 06(04): 274-276.
阅读次数
全文


摘要


AI


AI小编
你好!我是《中华医学电子期刊资源库》AI小编,有什么可以帮您的吗?