切换至 "中华医学电子期刊资源库"

中华肺部疾病杂志(电子版) ›› 2026, Vol. 19 ›› Issue (01) : 42 -48. doi: 10.3877/cma.j.issn.1674-6902.2026.01.007

论著

rt-PA剂量对中高危急性肺栓塞患者超声辅助置管溶栓期间肺动脉压和出血风险的影响
常人元1, 雷涛2, 王彤1, 陈宇3, 李志梅1, 高欣1, 周楠4, 曹磊5, 董艳芳6, 刘静静1,()   
  1. 1719000 榆林,榆林市第一医院药学部
    2719000 榆林,榆林市第一医院超声诊断科
    3719000 榆林,榆林市第一医院病案室
    4710068 西安,陕西省人民医院药学部
    5719000 榆林,榆林市第一医院急诊科
    6719000 榆林,榆林市第一医院呼吸与危重症医学科
  • 收稿日期:2025-07-18 出版日期:2026-02-25
  • 通信作者: 刘静静
  • 基金资助:
    陕西省自然科学基金项目(2023-JC-YB-639)

Effect of rt-PA dose on pulmonary artery pressure and bleeding volume during ultrasound-assisted catheter thrombolysis in patients with moderate- to high-risk acute pulmonary embolism

Renyuan Chang1, Tao Lei2, Tong Wang1, Yu Chen3, Zhimei Li1, Xin Gao1, Nan Zhou4, Lei Cao5, Yanfang Dong6, Jingjing Liu1,()   

  1. 1Department of Pharmacy, The First Hospital of Yulin, Yulin 719000, China
    2Department of Ultrasound, The First Hospital of Yulin, Yulin 719000, China
    3Medical Records Department, The First Hospital of Yulin, Yulin 719000, China
    4Department of Pharmacy, Shaanxi Provincial People′s Hospital, Xian 710068, China
    5Department of Emergency, The First Hospital of Yulin, Yulin 719000, China
    6Department of Respiratory and Critical Care Medicine, The First Hospital of Yulin, Yulin 719000, China
  • Received:2025-07-18 Published:2026-02-25
  • Corresponding author: Jingjing Liu
引用本文:

常人元, 雷涛, 王彤, 陈宇, 李志梅, 高欣, 周楠, 曹磊, 董艳芳, 刘静静. rt-PA剂量对中高危急性肺栓塞患者超声辅助置管溶栓期间肺动脉压和出血风险的影响[J/OL]. 中华肺部疾病杂志(电子版), 2026, 19(01): 42-48.

Renyuan Chang, Tao Lei, Tong Wang, Yu Chen, Zhimei Li, Xin Gao, Nan Zhou, Lei Cao, Yanfang Dong, Jingjing Liu. Effect of rt-PA dose on pulmonary artery pressure and bleeding volume during ultrasound-assisted catheter thrombolysis in patients with moderate- to high-risk acute pulmonary embolism[J/OL]. Chinese Journal of Lung Diseases(Electronic Edition), 2026, 19(01): 42-48.

目的

分析重组组织型纤溶酶原激活剂(recombinant tissue plasminogen activator, rt-PA)剂量对中高危急性肺栓塞(pulmonary embolism, PE)患者经超声辅助导管导向溶栓(ultrasound-assisted catheter-directed thrombolysis, UACDT)期间肺动脉压力及出血风险的影响。

方法

回顾性纳入2020年2月至2024年12月我院收治的经UACDT治疗中高危急性PE患者42例,根据累计rt-PA剂量分组,rt-PA≤24 mg 21例为对照组,rt-PA>24 mg 21例为观察组。记录治疗期间累计rt-PA剂量、收缩期肺动脉压(systolic pulmonary artery pressure, sPAP)变化及术后并发症,比较两组右心室压力负荷、血流动力学参数sPAP、平均肺动脉压(mean pulmonary artery pressure, mPAP)及舒张期肺动脉压(diastolic pulmonary artery pressure, dPAP),分析累计rt-PA剂量与术后出血风险关系。

结果

UACDT平均治疗时间(61.89±28.76)h,累计rt-PA(43.28±30.03)mg。sPAP随累计rt-PA增加呈下降趋势(F=12.451,P<0.001)。对照组治疗后右心负荷正常10例(47.62%)、轻度9例(42.86%)、中度1例(4.76%)、重度1例(4.76%)(P<0.001);观察组治疗后右心负荷正常14例(66.67%)、轻度7例(33.33%),无中度和重度患者(P<0.001)。两组治疗后sPAP、mPAP及dPAP较治疗前降低(P<0.05)。治疗后观察组sPAP(43.10±4.90) mmHg、mPAP(23.10±3.20 )mmHg和dPAP(17.60±2.70 )mmHg低于对照组sPAP(49.80±5.40) mmHg、mPAP(26.70±3.80)mmHg和dPAP(20.70±3.10)mmHg(P<0.05)。观察组治疗后肺血管阻力(201.20±28.80) dyn·s·cm-5低于对照组PVR(265.40±35.10)dyn·s·cm-5(P<0.001)。术后重症监护室平均住院时间(4.89±3.14)d,总住院时间(8.01±5.38)d。观察组血栓溶解完全18例(85.71%)高于对照组10例(48.00%)(χ2=6.886,P=0.032);平均血栓负荷评分(2.41±0.68)分高于对照组(1.85±0.72)分(t=3.66,P<0.001)。经救治观察组有效18例(85.71%)高于对照组11例(52.38%)(P=0.048)。截至随访结束,生存者37例(88.09%),死亡者5例(11.90%),轻度出血8例(19.05%),中度出血1例(2.39%)。

结论

UACDT治疗中高危PE患者,以低剂量率rt-PA延长溶栓时间,有助于改善肺循环动力学参数,不增加出血风险,耐受性良好。

Objective

To analyze the effects of recombinant tissue plasminogen activator (rt-PA) dosage on pulmonary artery pressure and bleeding risk during ultrasound-assisted catheter-directed thrombolysis (UACDT) in patients with intermediate- to high-risk acute pulmonary embolism (PE).

Methods

This retrospective study included 42 patients with intermediate-to-high-risk acute pulmonary embolism (PE) treated with UACDT at our hospital from February 2020 to December 2024. Patients were divided into two groups based on their cumulative rt-PA dose: 21 patients with rt-PA ≤ 24 mg were in the control group, and 21 patients with rt-PA > 24 mg were in the observation group. The cumulative rt-PA dose, changes in systolic pulmonary artery pressure (sPAP), and postoperative complications were recorded during treatment. Right ventricular pressure load and hemodynamic parameters, including sPAP, mean pulmonary artery pressure (mPAP), and diastolic pulmonary artery pressure (dPAP), were compared between the two groups. The relationship between cumulative rt-PA dose and postoperative bleeding risk was analyzed.

Results

The mean treatment time for UACDT was (61.89±28.76) h, and the cumulative rt-PA was (43.28±30.03) mg. sPAP showed a decreasing trend with increasing cumulative rt-PA (F=12.451, P<0.001). In the control group, after treatment, 10 cases (47.62%) had normal right ventricular load, 9 cases (42.86%) had mild right ventricular load, 1 case (4.76%) had moderate right ventricular load, and 1 case (4.76%) had severe right ventricular load (P<0.001). In the observation group, after treatment, 14 cases (66.67%) had normal right ventricular load, 7 cases (33.33%) had mild right ventricular load, and there were no moderate or severe cases (P<0.001). After treatment, sPAP, mPAP, and dPAP in both groups decreased compared to before treatment (P<0.05). After treatment, the sPAP (43.10±4.90)mmHg, mPAP (23.10±3.20)mmHg, and dPAP (17.60±2.70)mmHg in the observation group were lower than those in the control group (sPAP (49.80±5.40)mmHg, mPAP (26.70±3.80)mmHg, and dPAP (20.70±3.10)mmHg (P<0.05). After treatment, the pulmonary vascular resistance (201.20±28.80)dyn·s·cm-5 in the observation group was lower than that in the control group PVR (265.40±35.10)dyn·s·cm-5 (P<0.001). The average postoperative intensive care unit (ICU) stay was (4.89±3.14) days, and the total hospital stay was (8.01±5.38) days. Complete thrombolysis was achieved in 18 cases (85.71%) in the observation group, higher than in 10 cases (48.00%) in the control group (χ2=6.886, P=0.032); the average thrombus burden score was (2.41±0.68) points, higher than in the control group (1.85±0.72) points (t=3.66, P<0.001). Complete effectiveness was achieved in 18 cases (85.71%) in the observation group, higher than in 11 cases (52.38%) in the control group (P=0.048). At the end of follow-up, 37 patients (88.09%) survived, 5 patients (11.90) died, 8 patients (19.05%) experienced mild bleeding, and 1 patient (2.39%) experienced moderate bleeding.

Conclusion

UACDT treatment of intermediate-to high-risk PE patients with low-dose-rate rt-PA to prolong thrombolysis time helps improve pulmonary circulatory dynamic parameters, does not increase bleeding risk, and is well tolerated.

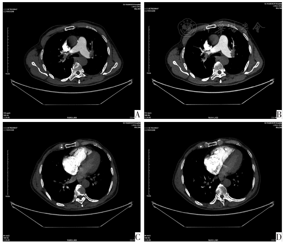
图1 典型病例的CTPA图像。图A、B为双侧肺动脉出现肺栓塞;图C、D为右心室和左心室测量显示右心室/左心室直径比为1.9,间隔向左弯曲进一步支持右室心肌应变
表1 UACDT治疗PE患者rt-PA及sPAP变化(±s)
表2 两组PE患者血流动力学参数变化(±s)
1
Guliani S, Gupta JD, Osofsky R, et al. Venoarterial extracorporeal membrane oxygenation is an effective management strategy for massive pulmonary embolism patients[J]. J Vasc Surg Venous Lymphat Disord, 2021, 9(2): 307-314.
2
Baran C, Kayan A, Baran CS. Algorithm of high-risk massive pulmonary thromboembolism with extracorporeal membrane oxygenation[J]. J Clin Med, 2024, 13(22): 6822.
3
陈文灯,陈敏,吴书香,等. 血清可溶性生长刺激表达基因2蛋白与急性肺栓塞并发肺动脉高压风险临床研究[J/OL]. 中华肺部疾病杂志(电子版), 2025, 18(3): 401-405.
4
Tu T, Toma C, Tapson VF, et al. A prospective, single-arm, multicenter trial of catheter-directed mechanical thrombectomy for intermediate-risk acute pulmonary embolism: the FLARE study[J]. JACC: Cardiovascul Int, 2019, 12(9): 859-869.
5
Rothschild DP, Goldstein JA, Ciacci J, et al. Ultrasound-accelerated thrombolysis (USAT) versus standard catheter-directed thrombolysis (CDT) for treatment of pulmonary embolism: a retrospective analysis[J]. Vascul Med, 2019, 24(3): 234-240.
6
Planer D, Yanko S, Matok I, et al. Catheter-directed thrombolysis compared with systemic thrombolysis and anticoagulation in patients with intermediate-or high-risk pulmonary embolism: systematic review and network meta-analysis[J]. CMAJ, 2023, 195(24): E833-E843.
7
Kearon C, Akl EA, Comerota AJ, et al. Antithrombotic therapy for VTE disease: antithrombotic therapy and prevention of thrombosis: American College of Chest Physicians evidence-based clinical practice guidelines[J]. Chest, 2012, 141(2): e419S-e496S.
8
Becattini C, Agnelli G, Lankeit M, et al. Acute pulmonary embolism:mortality prediction by the 2014 European Society of Cardiology risk stratification model[J]. Eur Respir J, 2016, 48(3): 780-786.
9
Amini S, Bakhshandeh H, Mosaed R, et al. Efficacy and safety of different dosage of recombinant tissue-type plasminogen activator (rt-PA) in the treatment of acute pulmonary embolism: a systematic review and meta-analysis[J]. Iran J Pharm Res, 2021, 20(2): 441.
10
Kearon C, Akl EA, Comerota AJ, et al. Antithrombotic therapy for VTE disease: antithrombotic therapy and prevention of thrombosis: American College of Chest Physicians evidence-based clinical practice guidelines[J]. Chest, 2012, 141(2): e419S-e496S.
11
Sharifi M, Awdisho A, Schroeder B, et al. Retrospective comparison of ultrasound facilitated catheter-directed thrombolysis and systemically administered half-dose thrombolysis in treatment of pulmonary embolism[J]. Vascul Med, 2019, 24(2): 103-109.
12
Kiser TH, Burnham EL, Clark B, et al. Half-dose versus full-dose alteplase for treatment of pulmonary embolism[J]. Crit Care Med, 2018, 46(10): 1617-1625.
13
Bagla S, Smirniotopoulos JB, van BredaA, et al. Ultrasound-accelerated catheter-directed thrombolysis for acute submassive pulmonary embolism[J]. J Vascul Int Rad, 2015, 26(7): 1001-1006.
14
Konstantinides SV, Meyer G, Becattini C, et al. 2019 ESC Guidelines for the diagnosis and management of acute pulmonary embolism developed in collaboration with the European Respiratory Society (ERS) The Task Force for the diagnosis and management of acute pulmonary embolism of the European Society of Cardiology (ESC)[J]. Eur Heart J, 2020, 41(4): 543-603.
15
Gusto Investigators. An international randomized trial comparing four thrombolytic strategies for acute myocardial infarction[J]. New Engl J Med, 1993, 329(10): 673-682.
16
Rudski LG, Lai WW, Afilalo J, et al. Guidelines for the echocardiographic assessment of the right heart in adults: a report from the American Society of Echocardiography: endorsed by the European Association of Echocardiography, a registered branch of the European Society of Cardiology, and the Canadian Society of Echocardiography[J]. J Am Soc Echocardiogr, 2010, 23(7): 685-713.
17
Lei M, Liu C, Luo Z, et al. Diagnostic management of inpatients with a positive D-dimer test: developing a new clinical decision-making rule for pulmonary embolism[J]. Pulmon Circulat, 2021, 11(1): 2045894020943378.
18
Ning D, Zhou L, Fu M Y, et al. Safety and efficacy of thrombolytic therapy in the treatment of early pulmonary embolism after thoracic surgery[J]. J Thorac Dis, 2024, 16(10): 6417.
19
Ferrazzini E, Méan M, Stalder O, et al. Incidence and clinical impact of bleeding events in older patients with acute venous thromboembolism[J]. Blood Adv, 2023, 7(2) 205-213.
20
Kaymaz C, Akbal OY, Tanboga I H, et al. Ultrasound-assisted catheter-directed thrombolysis in high-risk and intermediate-high-risk pulmonary embolism: a meta-analysis[J]. Current Vascul Pharmacol, 2018, 16(2): 179-189.
21
Kucher N, Boekstegers P, Müller OJ, et al. Randomized, controlled trial of ultrasound-assisted catheter-directed thrombolysis for acute intermediate-risk pulmonary embolism[J]. Circulation, 2014, 129(4): 479-486.
22
Tapson VF, Sterling K, Jones N, et al. A randomized trial of the optimum duration of acoustic pulse thrombolysis procedure in acute intermediate-risk pulmonary embolism: the OPTALYSE PE trial[J]. JACC Cardiovasc Interv, 2018, 11(14): 1401-1410.
23
Klein F, Möbius-Winkler S, Bäz L, et al. EKOS™ Jena Experience:Safety, feasibility, and midterm outcomes of percutaneous ultrasound-assisted catheter-directed thrombolysis in patients with intermediate-high-risk or high-risk pulmonary embolism[J]. Canad Respir J, 2022, 2022(1): 7135958.
24
Piazza G, Hohlfelder B, Jaff MR, et al. A prospective, single-arm, multicenter trial of ultrasound-facilitated, catheter-directed, low-dose fibrinolysis for acute massive and submassive pulmonary embolism: the SEATTLE Ⅱ study[J]. JACC Cardiovasc Interv, 2015, 8(10): 1382-1392.
25
Tapson VF, Sterling K, Jones N, et al. A randomized trial of the optimum duration of acoustic pulse thrombolysis procedure in acute intermediate-risk pulmonary embolism: the OPTALYSE PE trial[J]. JACC Cardiovasc Interv, 2018, 11(14): 1401-1410.
26
Sista AK. The OPTALYSE PE trial: another step toward understanding the truth about catheter-directed thrombolysis for submassive pulmonary embolism[J]. JACC Cardiovasc Interv, 2018, 11(14): 1411-1413.
27
Bakkum MJ, Schouten VL, Smulders YM, et al. Accelerated treatment with rtPA for pulmonary embolism induced circulatory arrest[J]. Thromb Res, 2021, 203: 74-80.
28
Elhakim A, Knauth M, Elhakim M, et al. Using a fibrinolysis delivery catheter in pulmonary embolism treatment for measurement of pulmonary artery hemodynamics[J]. Adv Respir Med, 2022, 90(6): 483-499.
29
Li HY, Wang YB, Ren XY, et al. Comparative efficacy and safety of thrombolytic agents for pulmonary embolism: a Bayesian network meta-analysis[J]. Pharmacology, 2023, 108(2): 111-126.
30
Kuo WT, Banerjee A, Kim PS, et al. Pulmonary embolism response to fragmentation, embolectomy, and catheter thrombolysis (PERFECT): initial results from a prospective multicenter registry[J]. Chest, 2015, 148(3): 667-673.
31
Machanahalli BalakrishnaA, Reddi V, Belford PM, et al. Intermediate- risk pulmonary embolism: a review of contemporary diagnosis, risk stratification and management[J]. Medicina (Kaunas), 2022, 58(9): 1186.
32
Melamed R, St HillCA, Engstrom BI, et al. Effects of a consensus-based pulmonary embolism treatment algorithm and response team on treatment modality choices, outcomes, and complications[J]. Clin Appl Thromb Hemost, 2020, 26: 1076029620928420.
33
Antoine D, Chuich T, Mylvaganam R, et al. Relationship of left ventricular outflow tract velocity time integral to treatment strategy in submassive and massive pulmonary embolism[J]. Pulm Circ, 2020, 10(3): 2045894020953724.
[1] 王寅欢, 杨英, 梁燕, 程琳. 乳腺癌根治术后发生急性肺栓塞一例并文献复习[J/OL]. 中华乳腺病杂志(电子版), 2021, 15(01): 55-57.
[2] 刘建鹏, 严丽燕, 冯少婷, 黄鹏, 梁开丽, 方鸿飞. D-二聚体、肌钙蛋白及氨基末端脑利钠肽前体在急性肺栓塞预后中的临床意义研究[J/OL]. 中华肺部疾病杂志(电子版), 2025, 18(06): 1019-1022.
[3] 陈文灯, 陈敏, 吴书香, 郑向真, 陈彬, 陈刘通. 血清可溶性生长刺激表达基因2 蛋白与急性肺栓塞并发肺动脉高压风险临床研究[J/OL]. 中华肺部疾病杂志(电子版), 2025, 18(03): 401-405.
[4] 赵信燕, 岳晓霞, 曹瑞玲, 张惠丽, 李向杰. 急性肺栓塞影像学及临床特征分析[J/OL]. 中华肺部疾病杂志(电子版), 2024, 17(02): 296-299.
[5] 张帅, 袁媛, 邢振川, 王焕勇, 张虹霞. 71例急性肺血栓栓塞症并发肺梗死临床特征[J/OL]. 中华肺部疾病杂志(电子版), 2023, 16(04): 566-568.
[6] 张立夏, 高泽宾, 庞停, 张越群. 银杏叶提取物联合尿激酶治疗急性肺栓塞的疗效及对CYS-C、NT-ProBNP、TnI与D-D的影响[J/OL]. 中华肺部疾病杂志(电子版), 2022, 15(05): 733-735.
[7] 尹婷婷, 刘基, 王康, 陈忠. CT肺动脉阻塞指数与血清D-二聚体、PLR水平的相关性分析[J/OL]. 中华肺部疾病杂志(电子版), 2022, 15(04): 521-523.
[8] 欧敏, 王斌, 张明周, 董俊康, 刘禹, 廖品亮, 任合玲, 姜欣, 蔡晓莲. 心电图及心脏超声在急性肺栓塞诊断及危险分层中的意义[J/OL]. 中华肺部疾病杂志(电子版), 2022, 15(04): 502-505.
[9] 代芬, 张璐, 张艺. 延续护理管理在急性肺栓塞患者康复中的临床应用[J/OL]. 中华肺部疾病杂志(电子版), 2019, 12(06): 806-808.
[10] 王琛, 陈国芳, 平蕾, 刘薇薇, 刘雷婧, 徐辉, 王磊. 青年卒中患者重组组织型纤溶酶原激活剂静脉溶栓临床疗效观察[J/OL]. 中华临床医师杂志(电子版), 2020, 14(02): 124-128.
[11] 卢光东, 贾振宇, 张金星, 赵林波, 施海彬. 大鼠急性肺栓塞模型的建立及CD147表达水平对栓塞大鼠肺动脉压力变化的影响[J/OL]. 中华介入放射学电子杂志, 2021, 09(03): 313-318.
[12] 张晓丽, 韩鑫, 韩坤锜, 李姗姗, 刘相静, 徐东成, 牟磊. 急性脑梗死患者重组组织型纤溶酶原激活剂静脉溶栓预后相关危险因素分析[J/OL]. 中华脑血管病杂志(电子版), 2022, 16(05): 338-341.
[13] 连立飞, 梁奇明, 许峰, 潘超, 朱遂强, 王芙蓉. 微创术联合rt-PA或尿激酶治疗自发性幕上脑出血的疗效[J/OL]. 中华脑血管病杂志(电子版), 2021, 15(06): 397-403.
[14] 梁奇明, 连立飞, 许峰, 潘超, 朱遂强, 王芙蓉. 混合密度征不增加微创术治疗脑出血的再出血风险[J/OL]. 中华脑血管病杂志(电子版), 2021, 15(06): 361-366.
[15] 谢凯凯, 曹文锋, 项正兵, 刘世民, 饶伟, 吴凌峰. 重组组织型纤溶酶原激活剂静脉溶栓与桥接治疗对前循环大血管闭塞的临床疗效比较[J/OL]. 中华脑血管病杂志(电子版), 2020, 14(02): 90-95.
阅读次数
全文


摘要


AI


AI小编
你好!我是《中华医学电子期刊资源库》AI小编,有什么可以帮您的吗?