切换至 "中华医学电子期刊资源库"

中华肺部疾病杂志(电子版) ›› 2017, Vol. 10 ›› Issue (05) : 625 -626. doi: 10.3877/cma.j.issn.1674-6902.2017.05.035

所属专题: 经典病例 经典病例 文献

病例报告

晚期肺腺癌并心包转移个体化治疗一例
李齐寅1, 封明霞1, 沈叶1, 崔社怀1,()   
  1. 1. 400042 重庆,第三军医大学大坪医院野战外科研究所
  • 收稿日期:2016-10-23 出版日期:2017-10-20
  • 通信作者: 崔社怀

One case report of individualized treatment in advanced lung adenocarcinoma combined with pericardial metastasis

Qinyin Li1, Mingxia Feng1, Ye Shen1   

  • Received:2016-10-23 Published:2017-10-20
引用本文:

李齐寅, 封明霞, 沈叶, 崔社怀. 晚期肺腺癌并心包转移个体化治疗一例[J/OL]. 中华肺部疾病杂志(电子版), 2017, 10(05): 625-626.

Qinyin Li, Mingxia Feng, Ye Shen. One case report of individualized treatment in advanced lung adenocarcinoma combined with pericardial metastasis[J/OL]. Chinese Journal of Lung Diseases(Electronic Edition), 2017, 10(05): 625-626.

图1 A、B:2015年9月,在我市某三甲医院门诊胸部CT,提示:双肺间质性改变,纵隔多发淋巴结肿大;2、双肺气肿,多发肺大泡;C、D:2015年12月,另一医院门诊胸部CT,提示:双肺间质性改变,伴右侧肺门结构不清,纵隔多发淋巴结肿大,肿瘤病变伴癌性淋巴管炎?间质性炎症待排;双肺气肿,多发肺大泡;心包积液
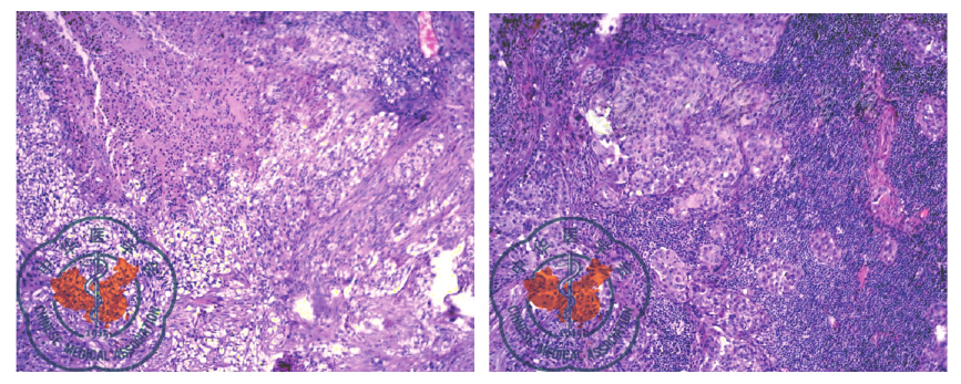
图2 A:右侧腹壁皮下结节:转移性腺癌,考虑肺来源;B:<左侧颈部淋巴结>:转移性腺癌,考虑肺来源
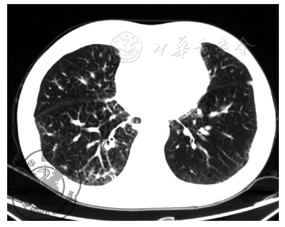
图3 胸部CT检查:右下肺癌治疗后复查,心包、胸腔未见明显胸腔积液
1
钱桂生. 为提高我国呼吸系统疾病的诊治水平而努力[J/CD]. 中华肺部疾病杂志(电子版), 2012, 5(1): 1-3.
2
Shao L, Song Z, Zhang Y, et al. Advances of molecular subtype and targeted therapy of lung cancer[J]. Zhongguo Fei Ai Za Zhi, 2012, 15(9): 545-552.
3
封明霞,曹国强,陈恒屹,等. 酷似肺炎起病的肺癌1例[J/CD]. 中华肺部疾病杂志(电子版), 2014, 7(1): 115-116.
4
殷和,王琼,金发光. 多种肿瘤标志物检测在肺癌辅助诊断中的价值[J/CD]. 中华肺部疾病杂志(电子版), 2016, 9(3): 271-274.
5
Arrieta O, Saavedra-Perez D, Kuri R, et al. Brain metastasis development and poor survival associated with carcinoembryonic antigen (CEA) level in advanced non-small cell lung cancer: a prospective analysis[J]. BMC cancer, 2009, 9: 119. doi: 10.1186/1471-2407-9-119.
6
Lee BE, Korst RJ, Kletsman E, et al. Transitioning from video-assisted thoracic surgical lobectomy to robotics for lung cancer: are there outcomes advantages? [J]. J Thoracic Cardiovasc Surg, 2014, 147(2): 724-749.
7
Mok TS, Wu YL, Thongprasert S, et al. Gefitinib or carboplatin-paclitaxel in pulmonary adenocarcinoma[J]. N Engl J Med, 2009, 361(10): 947-957.
8
Zhou C, Wu YL, Chen G, et al. Erlotinib versus chemotherapy as first-line treatment for patients with advanced EGFR mutation-positive non-small-cell lung cancer (OPTIMAL, CTONG-0802): a multicentre, open-label, randomised, phase 3 study[J]. Lancet Oncol, 2011, 12(8): 735-742.
9
Gridelli C, Peters S, Sgambato A, et al. ALK inhibitors in the treatment of advanced NSCLC[J]. Cancer Treat Rev, 2014, 40(2): 300-306.
10
Bradshaw M, Mansfield A, Peikert T. The role of vascular endothelial growth factor in the pathogenesis, diagnosis and treatment of malignant pleural effusion[J]. Current Oncol Rep, 2013, 15(3): 207-216.
11
Bates DO. Vascular endothelial growth factors and vascular permeability[J]. Cardiovasc Res, 2010, 87(2): 262-271.
12
杨帆,戚维波. 持续导管引流联合顺铂或博莱霉素心包灌注治疗肺癌性心包积液的疗效观察[J]. 中国生化药物杂志,2016, (1): 71-73.
13
周小昀,李龙芸,郝淮杰,等. 外周血循环肿瘤细胞在晚期肺癌患者的预测及预后价值研究[J]. 癌症进展,2010, 8(5): 484-490.
14
Alix-Panabieres C, Pantel K. Circulating tumor cells: liquid biopsy of cancer[J]. Clin Chem, 2013, 59(1): 110-118.
15
Bettegowda C, Sausen M, Leary RJ, et al. Detection of circulating tumor DNA in early- and late-stage human malignancies[J]. Sci Transl Med, 2014, 6(224): 224ra24.
[1] 赵鑫, 郝磊, 朱丽静, 土继政, 王博娟, 张凯, 王兴华. 超声造影评价肺腺癌与肺鳞癌血流灌注特征的价值研究[J/OL]. 中华医学超声杂志(电子版), 2023, 20(11): 1181-1185.
[2] 王浩元, 王舒, 王娟, 杨建军. 基于类器官模型探索肠道与肠道菌群间相互关系的研究进展[J/OL]. 中华普通外科学文献(电子版), 2024, 18(03): 220-224.
[3] 黄莹, 李璇, 刘梦杨, 彭桂林, 徐鑫, 韦兵, 杨超. 靶向联合治疗双肺移植术后KRAS和BRAF基因双突变晚期肺腺癌一例[J/OL]. 中华移植杂志(电子版), 2024, 18(05): 298-301.
[4] 蒋正东, 李徐奇, 王曙逢, 魏光兵. 复发性腹股沟疝的腹腔镜手术策略及疗效观察[J/OL]. 中华疝和腹壁外科杂志(电子版), 2023, 17(05): 539-543.
[5] 刘静, 徐爽, 缪亚军. 肺腺癌miR-3653表达与高危型人乳头瘤病毒感染及预后的关系[J/OL]. 中华肺部疾病杂志(电子版), 2024, 17(04): 600-604.
[6] 郑琪, 马婕群, 张彦兵, 廖子君, 张锐. EPHA5突变预测肺腺癌免疫检查点抑制剂治疗预后的临床意义[J/OL]. 中华肺部疾病杂志(电子版), 2024, 17(04): 548-552.
[7] 贾乃龙, 李传资, 王绥煌, 张余鹏, 林志华, 林昌昆, 黄垂志. 低剂量能谱CT结合多平面重建技术对肺癌和肺炎性结节鉴别诊断意义[J/OL]. 中华肺部疾病杂志(电子版), 2024, 17(02): 247-251.
[8] 杨伟光, 喇焕之, 张元桢. 营养状态及血液常规指标对肺腺癌免疫不良反应的预测分析[J/OL]. 中华肺部疾病杂志(电子版), 2023, 16(06): 829-832.
[9] 汪沛, 倪蓓君, 元及, 宫为一, 范军. 卡瑞利珠单抗联合卡铂和培美曲塞治疗进展期肺腺癌的疗效及预后分析[J/OL]. 中华肺部疾病杂志(电子版), 2023, 16(04): 511-513.
[10] 邱静, 黄庆. HJURP在肺腺癌组织中高表达并与患者不良预后相关性[J/OL]. 中华肺部疾病杂志(电子版), 2023, 16(04): 495-499.
[11] 王迪, 吕少诚, 黄金灿, 潘飞, 姜涛, 郎韧. 肺腺癌胰腺转移伴门静脉侵犯一例[J/OL]. 中华肝脏外科手术学电子杂志, 2023, 12(04): 457-460.
[12] 刘悦, 潘纯. 急性呼吸窘迫综合征患者肌松剂滴定的必要性与可行性[J/OL]. 中华重症医学电子杂志, 2024, 10(02): 108-112.
[13] 顾国英, 黄迎春, 刘佳, 居建明, 于国锋, 蒋荣. 个体化肠外营养在肠切除伴肠功能障碍患者中的应用研究[J/OL]. 中华消化病与影像杂志(电子版), 2023, 13(06): 489-493.
[14] 郑旭, 韩燕燕, 高珊, 李翀. 基于非标记定量蛋白质组学技术分析消岩汤干预人肺腺癌细胞后蛋白表达谱特征的影响[J/OL]. 中华针灸电子杂志, 2024, 13(01): 18-23.
[15] 申磊磊, 刘有, 宁浩勇, 云天洋, 侯小明, 郭俊唐, 梁朝阳, 刘阳. 第8版肺癌TNM分期亚实性结节T分期建议方案的验证[J/OL]. 中华胸部外科电子杂志, 2024, 11(01): 40-52.
阅读次数
全文


摘要


AI


AI小编
你好!我是《中华医学电子期刊资源库》AI小编,有什么可以帮您的吗?