切换至 "中华医学电子期刊资源库"

中华肺部疾病杂志(电子版) ›› 2020, Vol. 13 ›› Issue (01) : 121 -124. doi: 10.3877/cma.j.issn.1674-6902.2020.01.032

病例报告

诱导肺结核诊断的结节性红斑和Poncet关节炎一例并文献复习
李竹筠1, 杨松1,()   
  1. 1. 400036 重庆,重庆市公共卫生医疗救治中心结核五科
  • 收稿日期:2019-10-11 出版日期:2020-02-25
  • 通信作者: 杨松

Induction of tuberous erythema and Poncet arthritis in pulmonary tuberculosis: one case report and review of literature

Zhujun Li1, Song Yang1()   

  • Received:2019-10-11 Published:2020-02-25
  • Corresponding author: Song Yang
引用本文:

李竹筠, 杨松. 诱导肺结核诊断的结节性红斑和Poncet关节炎一例并文献复习[J/OL]. 中华肺部疾病杂志(电子版), 2020, 13(01): 121-124.

Zhujun Li, Song Yang. Induction of tuberous erythema and Poncet arthritis in pulmonary tuberculosis: one case report and review of literature[J/OL]. Chinese Journal of Lung Diseases(Electronic Edition), 2020, 13(01): 121-124.

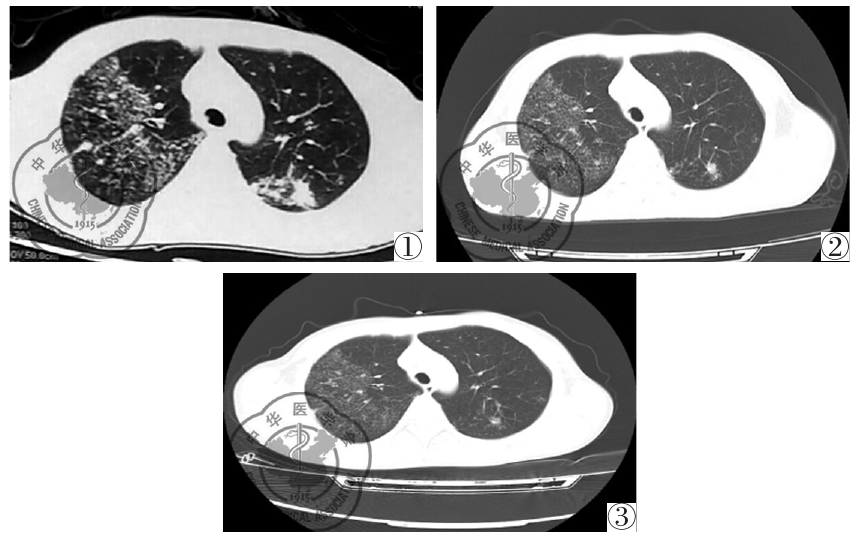
图3 患者经抗结核治疗2月后胸部CT影像学表现
图4 患者入院时四肢散在结节性红斑表现
1
Sharma A, Pinto B, Dogra S, et al. A case series and review of Poncet′s disease, and the utility of current diagnostic criteria[J]. Int J Rheum Dis, 2016, 19(10): 1010-1017.
2
Irmi ZI, Zaiton A, Faezah H. Reactive arthritis in tuberculosis: A case of Poncet′s Disease[J]. Malaysian Family Physician, 2013, 8(1): 24-27.
3
Adhi F, Hasan R, Adhi M, et al. Poncet′s disease: two case reports[J]. J Med Case Rep, 2017, 11(1): 93-97.
4
Ariza-Prota M, Pando-Sandoval A, Garcia-Clemente M, et al. Poncet′s disease mimicking rheumatoid arthritis in a patient with suspected Crohn′s disease[J]. Clin Case Rep, 2016, 4(1): 72-75.
5
Truong LN, O′Connell R, Oren A. A 49-Year-Old Man with Fever, Erythema Nodosum, and Ankle Swelling. Final Diagnosis: Extrapulmonary tuberculosis with hepatic and bone marrow involvement[J]. Ann Am Thorac Soc, 2015, 12(10): 1575-1577.
6
Bilan P, Sin C, Wann AR, et al. Cutaneous tuberculosis and erythema induratum: a retrospective study of 13 cases in France[J]. Ann Dermatol Venereol, 2015, 142(4): 237-244.
7
Chen X, Lu H, Gao Y. FDG PET/CT showing erythema nodosum associated with tuberculous lymphadenitis[J]. Clin Nucl Med, 2013, 38(12): 992-993.
8
黄鹤卿,张胜利,李忆农. 表现为结节性红斑的瘤型麻风病一例[J]. 中华风湿病学杂志,2010, 14(1): 68.
9
刘 白,姜祎群. 结节性红斑的病因学研究进展[J]. 国际皮肤性病学杂志,2016, 42(1): 30-32.
10
Chen S, Chen J, Chen L, et al. Mycobacterium tuberculosis Infection Is Associated with the Development of Erythema Nodosum and Nodular Vasculitis[J]. PLOS ONE, 2013, 8(5): e62653.
11
Koufakis T, Gabranis I. Erythema nodosum leads to the diagnosis of pulmonary tuberculosis[J]. Pan Afr Med J, 2014, 18: 291.
12
成琼辉,陈 年,张道军,等. 结核感染T细胞斑点试验在结节性红斑诊疗中的价值[J]. 第三军医大学学报,2015, 37(11): 1085-1086.
13
Varas P, Antúnez-Lay A, Bernucci JM, et al. Erythema nodosum: Analysis of 91 hospitalized patients[J]. Rev Med Chil, 2016, 144(2): 162-168.
14
Bjorn-Mortensen K, Ladefoged K, Simonsen J, et al. Erythema nodosum and the risk of tuberculosis in a high incidence setting[J]. Int J Circumpolar health, 2016, 75(1): 32666.
15
Karmakar PS, Sherpa PL, Ray AN, et al. Sweet's syndrome: a very rare association with pulmonary tuberculosis[J]. J Infect Dev Ctries, 2013, 7(5): 417-420.
16
Kumar B, Sandhu K. Erythema nodosum and antitubercular therapy[J]. J Dermatolog Treat, 2004, 15(4): 218-221.
17
Kao PT, Tu MY, Tang SH, et al. Tuberculosis of the breast with erythema nodosum: a case report[J]. J Med Case Rep, 2010, 4: 124.
18
杨 松. 肺结核合并Poncet病2例报告并文献复习[J]. 临床肺科杂志,2010, 15(6): 804-805.
19
刘加洪,宗成光. 以结节性红斑为主要表现的结核风湿症19例临床分析[J]. 中国防痨杂志,2014, 36(4): 294-296.
20
Arora S, Prakash TV, Carey RA, et al. Poncet′s disease: unusual presentation of a common disease[J]. Lancet, 2016, 387(10018): 617-618.
21
Talukder MK, Islam MI, Rahman SA, et al. Poncet′s disease (tubercular rheumatism)-a case report[J]. Mymensingh Med J, 2014, 23(4): 814-817.
22
Abdulaziz S, Almoallim H, Ibrahim A, et al. Poncet′s disease (reactive arthritis associated with tuberculosis): retrospective case series and review of literature[J]. Clin Rheumatol, 2012, 31(10): 1521-1528.
23
Biraris PR, Rathi VM, Udwadia ZF. Poncet′s Arthritis in a Patient with Multidrug-Resistant Tuberculosis[J]. Indian J Chest Dis Allied Sci, 2015, 57(3): 195-198.
24
Lugo-Zamudio GE, Barbosa-Cobos RE, González-Ramírez LV, et al. Tuberculous rheumatism "Poncet′s disease" . Case report[J]. Cir Cir, 2016, 84(2): 169-172.
25
翁心植,汤佩华. 结核病与其自家免疫反应引起的疾病[J]. 中华内科杂志,1982, 21(6): 345.
26
刘加洪,宗成光. 以结节性红斑为主要表现的结核风湿症19例临床分析[J]. 中国防痨杂志,2014, 36(4): 294-296.
27
Contessa C, Ramonda R, Campana C, et al. Atypical erythema nodosum in atypical tuberculosis presentation[J]. BMJ Case Rep, 2009,. pii: bcr09.2008.0944..
28
Sait S, Mubashir M, Anwar R, et al. Poncet′s disease (tubercular rheumatism) with primary involvement of the foot-A case report[J]. Foot Ankle Surg, 2016, 22(3): e17-20.
29
Sood I, Kasundra GM, Supriya PS, et al. A rare case of occult abdominal tuberculosis with Poncet's disease mimicking Adult onset Still's disease[J]. J Midlife Health, 2015, 6(3): 125-128.
[1] 李可心, 鲁瑞, 田燕, 王文俊, 李维, 万月强, 翟嵩, 刘拉羊. 阿达木单抗治疗银屑病致播散性肺结核一例并文献复习[J/OL]. 中华实验和临床感染病杂志(电子版), 2024, 18(04): 245-249.
[2] 王迎迎, 谢平. 乙型肝炎病毒感染合并肺结核患者发生肝损伤的危险因素及预测模型构建[J/OL]. 中华实验和临床感染病杂志(电子版), 2023, 17(04): 267-273.
[3] 王守豪, 陈汉竹, 马天时, 童永喜, 周哲雯, 徐成安, 杨兴娣, 任文雅, 潘红英. 结核硬脂酸棒状杆菌致肉芽肿性乳腺炎合并下肢结节性红斑一例并文献复习[J/OL]. 中华实验和临床感染病杂志(电子版), 2023, 17(01): 55-59.
[4] 王超, 包训迪, 徐东芳, 王庆. 实时荧光核酸恒温扩增技术、GeneXpert和BACTEC MGIT960液体快速培养法对涂阴肺结核的诊断效能[J/OL]. 中华实验和临床感染病杂志(电子版), 2023, 17(01): 41-47.
[5] 张燕, 杨跃青, 邱峥. IgG 联合血清细胞因子对肺结核并发慢性肺曲霉菌病的诊断意义[J/OL]. 中华肺部疾病杂志(电子版), 2024, 17(05): 809-812.
[6] 白若靖, 郭军. 维生素D对肺部疾病临床意义的研究进展[J/OL]. 中华肺部疾病杂志(电子版), 2024, 17(04): 659-662.
[7] 沙敏, 瞿秋霞, 朱卫东, 陈成. 肺结核与肺结节病相关肉芽肿组织中CXCR5的差异性表达[J/OL]. 中华肺部疾病杂志(电子版), 2024, 17(02): 189-194.
[8] 徐辉, 杨勇琼, 刘健, 许剑, 江佳莲, 邓正波. s-ChE、PCT、CRP在肺结核中的表达及继发肺部感染的预测意义[J/OL]. 中华肺部疾病杂志(电子版), 2024, 17(02): 292-295.
[9] 蔡小芳, 高慧, 葛军, 邢慧芸, 庄小燕, 李小丁. 多重耐药性肺结核治疗依从性预测分析[J/OL]. 中华肺部疾病杂志(电子版), 2024, 17(01): 51-56.
[10] 孟原竹, 蒋国路, 陈小兵, 蒋莉. 肺结核合并侵袭性肺曲霉感染临床特征及危险因素分析[J/OL]. 中华肺部疾病杂志(电子版), 2023, 16(04): 541-543.
[11] 肖泽林, 高健齐, 刘家杰, 曾定科. 负压封闭引流术治疗胸壁结核的临床应用[J/OL]. 中华肺部疾病杂志(电子版), 2023, 16(03): 397-399.
[12] 万秋, 杨伏萍, 唐莉歆. 含氯法齐明的联合方案治疗耐多药肺结核的疗效及安全性分析[J/OL]. 中华肺部疾病杂志(电子版), 2023, 16(02): 275-277.
[13] 张燕珍, 王锡携, 文小兰. 血清巨噬细胞迁移抑制因子对活动性肺结核分诊检测的意义[J/OL]. 中华肺部疾病杂志(电子版), 2023, 16(02): 200-202.
[14] 郭文秀, 吴胜男, 王小芸, 张敏. 基于网络药理学的百部联合川贝母治疗肺结核的作用机制研究[J/OL]. 中华临床医师杂志(电子版), 2023, 17(03): 335-342.
[15] 徐韫健, 吴柳, 尹小毛. 结核病γ-干扰素释放试验假阴性的影响因素分析[J/OL]. 中华临床实验室管理电子杂志, 2024, 12(02): 75-79.
阅读次数
全文


摘要


AI


AI小编
你好!我是《中华医学电子期刊资源库》AI小编,有什么可以帮您的吗?