切换至 "中华医学电子期刊资源库"

中华肺部疾病杂志(电子版) ›› 2026, Vol. 19 ›› Issue (01) : 70 -75. doi: 10.3877/cma.j.issn.1674-6902.2026.01.011

论著

CT引导下微波消融与冷冻消融治疗肺结节及肺癌疗效对比分析
杨芳1, 廖江荣1, 张丹1, 周裕祥1, 刘木波3, 吴秀琳2,(), 蒋婷1,()   
  1. 1563003 遵义,贵州航天医院呼吸与危重症医学科
    2400030 重庆,陆军(第三)军医大学第一附属医院老年医学与特勤医学科
    3563003 遵义,贵州航天医院中心实验室
  • 收稿日期:2025-11-20 出版日期:2026-02-25
  • 通信作者: 吴秀琳, 蒋婷
  • 基金资助:
    贵州省卫健委(gzwkj2025-248;gzwkj2024-108); 贵州省科技厅黔科合成果(LC(2024)062); 贵州省科技厅黔科合成果(LC(2025)一般010); 遵市科合HZ字(2025)198号; 遵市科人才(2024)9号

Comparative analysis of the efficacy of CT-Guided microwave ablation and cryoablation in the treatment of pulmonary nodules and lung cancer

Fang Yang1, Jiangrong Liao1, Dan Zhang1, Yuxiang Zhou1, Mupo Liu3, Xiulin Wu2,(), Ting Jiang1,()   

  1. 1Department of Respiratory and Critical Care Medicine, Guizhou Aerospace Hospital, Zunyi 563003, China
    2Department of Geriatrics and Specialized Medical Services, The First Affiliated Hospital of the Army (Third) Military Medical University, Chongqing 400030, China
    3Central Laboratory, Guizhou Aerospace Hospital, Zunyi 563003, China
  • Received:2025-11-20 Published:2026-02-25
  • Corresponding author: Xiulin Wu, Ting Jiang
引用本文:

杨芳, 廖江荣, 张丹, 周裕祥, 刘木波, 吴秀琳, 蒋婷. CT引导下微波消融与冷冻消融治疗肺结节及肺癌疗效对比分析[J/OL]. 中华肺部疾病杂志(电子版), 2026, 19(01): 70-75.

Fang Yang, Jiangrong Liao, Dan Zhang, Yuxiang Zhou, Mupo Liu, Xiulin Wu, Ting Jiang. Comparative analysis of the efficacy of CT-Guided microwave ablation and cryoablation in the treatment of pulmonary nodules and lung cancer[J/OL]. Chinese Journal of Lung Diseases(Electronic Edition), 2026, 19(01): 70-75.

目的

探讨计算机断层扫描(computed tomography, CT)引导下微波消融与冷冻消融治疗肺结节及肺癌的有效性及安全性。

方法

选择2018年7月至2023年10月我院收治的肺结节及肺癌患者49例,微波消融治疗26例为微波组,冷冻消融治疗23例为冷冻组。比较两组治疗后临床疗效、并发症、无进展生存率。

结果

23例冷冻组患者肿瘤部位左侧5例(21.74%)、右侧18例(78.26%),亚实性20例(86.96%)、实性3例(13.04%),结节大小5~10 mm 5例(21.74 %)、>10 mm 18例(78.26 %),病理类型良性15例(65.22%)、恶性8例(34.78%),其中肺鳞癌1例(4.35%)、肺腺癌7例(30.43 %)。26例微波组患者肿瘤部位左侧12例(46.15%)、右侧14例(53.85%),亚实性17例(65.38%)、实性9例(34.62%),结节大小<5 mm 1例(3.85%)、5~10 mm 4例(15.38%)、>10 mm 21例(80.77%),病理类型良性8例(30.77%)、恶性18例(69.23%),其中肺鳞癌1例(3.85%)、肺腺癌15例(57.69 %)、肉瘤样癌1例(3.85%)、乳腺癌转移1例(3.85%)。冷冻组气胸1例(4.35%)、皮下少量积气1例(4.35%)、复发3例(13.04%),无死亡病例;微波组气胸5例(19.23%)、胸腔积液1例(3.85%)、脓肿1例(3.85%)、远处转移1例(3.85%)、复发4例(15.38%)、死亡3例(11.54%)。

结论

微波消融及冷冻消融对肺结节治疗安全有效,可作为除手术之外肺结节治疗选择方式。

Objective

To investigate the efficacy and safety of computed tomography(CT)-guided microwave ablation versus cryoablation in the treatment of pulmonary nodules and lung cancer.

Methods

A total of 49 patients with pulmonary nodules or lung cancer admitted to our hospital from July 2018 to October 2023 were selected. Twenty-six patients treated with microwave ablation comprised the microwave group, and 23 patients treated with cryoablation comprised the cryoablation group. Post-treatment complications and progression-free survival rates were compared between the two groups.

Results

In the cryoablation group 23 cases, the tumor location was left-sided in 5 cases (21.74%) and right-sided in 18 cases (78.26%); nodules were subsolid in 20 cases (86.96%) and solid in 3 cases (13.04%); nodule size was <5 mm in 0 cases, 5~10 mm in 5 cases (21.74%), and >10 mm in 18 cases (78.26%); pathological types were benign in 15 cases (65.22%) and malignant in 8 cases (34.78%), including 1 case of lung squamous cell carcinoma (4.35%) and 7 cases of lung adenocarcinoma (30.43%). In the microwave group 26 cases, the tumor location was left-sided in 12 cases (46.15%) and right-sided in 14 cases (53.85%); nodules were subsolid in 17 cases (65.38%) and solid in 9 cases (34.62%); nodule size was <5 mm in 1 case (3.85%), 5~10 mm in 4 cases (15.38%), and >10 mm in 21 cases (80.77%); pathological types were benign in 8 cases (30.77%) and malignant in 18 cases (69.23%), including 1 case of lung squamous cell carcinoma (3.85%), 15 cases of lung adenocarcinoma (57.69%), 1 case of sarcomatoid carcinoma (3.85%), and 1 case of metastatic breast cancer (3.85%). In the cryoablation group, complications were: pneumothorax in 1 case (4.35%), subcutaneous emphysema in 1 case (4.35%), recurrence in 3 cases (13.04%), and death in 0 cases. In the microwave group, complications were: pneumothorax in 5 cases (19.23%), pleural effusion in 1 case(3.85%), abscess in 1 case (3.85%), distant metastasis in 1 case (3.85%), recurrence in 4 cases (15.38%), and death in 3 cases (11.54%).

Conclusion

Both microwave ablation and cryoablation are safe and effective for the treatment of pulmonary nodules and can be considered as treatment options in addition to surgery.

表1 两组肺结节患者临床资料结果比较
图1 肺结节微波消融和冷冻消融治疗前后CT图像。图A-D为肺结节微波冷冻消融治疗前后CT影像,图A为患者64岁,女,2021年3月胸部CT检查左下肺背段见一大小为10 mm亚实性磨玻璃结节;图B为左下肺背段结节CT引导下经皮肺穿刺微波消融术;图C为微波消融术后即刻复查胸部CT形成的晕征;图D为微波消融术后3年复查胸部CT仅遗留一纤维化病灶,肿瘤未复发。图E-H为肺结节冷冻消融治疗前后CT影像;图E为患者60岁,女,2022年10月胸部CT平扫示右上肺后段大小10 mm磨玻璃结节;图F为CT引导下经皮肺穿刺冷冻消融术;图G为冷冻消融术后即刻复查胸部CT形成的晕征;图H为冷冻消融术后3年复查胸部CT纤维化病灶较2年减缩小,肿瘤未复查
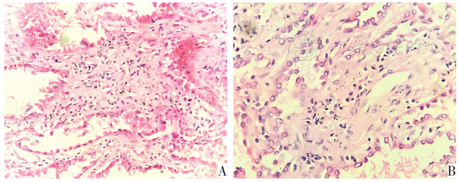
图2 两组肺结节患者组织病理学结果。图A为穿刺活检术后病理结果显示为腺癌(HE 10×40);图B为穿刺活检术后病理结果为腺癌(HE 10×40)
1
沈旭,沈诚,肖丛佳,等. 多发肺结节消融治疗的研究进展[J]. 中国胸心血管外科临床杂志2025(3): 401-405.
2
Lin X, Zhou J, Wang B, et al. Safety and feasibility of computed tomography-guided radiofrequency ablation for treating high-risk pulmonary nodules in postoperative lung cancer patients[J]. J Int Med Res, 2025, 53(9): 3000605251382006.
3
王尊宪,孙琳,马淑霞. 冷冻消融治疗恶性肿瘤研究进展[J]. 新乡医学院学报2025(5): 432-436.
4
黄义勤,周勇,刘艳虎,等. CT引导下经皮液氮冷冻消融治疗老年肺恶性肿瘤的有效性及安全性[J]. 南京医科大学学报(自然科学版), 2025, 45(8): 1170-1177.
5
刘征玉,夏要友. 微波消融在肝脏恶性肿瘤中的应用及研究进展[J]. 中国现代医生2025(13): 110-113.
6
王黔宇,王云,蒋婷,等. 微波消融和冷冻消融治疗肺结节有效性及安全性对比分析[J/OL]. 中华肺部疾病杂志(电子版), 2024, 17(6): 980-984.
7
吴琪,范伯男,李岩. 2022全球癌症统计报告分析解读:中国与世界癌症疾病负担与流行趋势[J]. 诊断学理论与实践2025, 24(2): 135-145.
8
陈建斌,郭晓艳. 低剂量螺旋计算机断层扫描在肺癌筛查中的应用价值分析[J]. 当代医药论丛2025, 23(23): 93-95.
9
李梅,张洪兵,夏春秋,等. AI赋能的专病管理平台在肺癌患者术后康复中的应用研究[J]. 中国肺癌杂志2025(3): 176-182.
10
侯明远,杜贞华,王志龙,等. 多发肺结节消融治疗研究进展[J]. 介入放射学杂志2025, 34(7): 789-796.
11
Stephen HuangSK. The early translational research of radiofrequency catheter ablation[J]. Heart Rhythm, 2021, 18(2): 321-322.
12
Wang LH, Jiang Y, Sun CH, et al. Advancements in the application of ablative therapy and its combination with immunotherapy in anti-cancer therapy[J]. Biochim Biophys Acta Rev Cancer, 2025, 1880(2): 189285.
13
Tian Y, Qi X, Jiang X, et al. Cryoablation and immune synergistic effect for lung cancer: A review[J]. Front Immunol, 2022, 13: 950921.
14
Castillo-Fortuño ÀPáez-Carpio A, Matute-González M, et al. Lung cryoablation: patient selection, techniques, and postablation imaging[J]. Radiographics, 2025, 45(6): e240157.
15
Xu Z, Wang X, Ke H, et al. Cryoablation is superior to radiofrequency ablation for the treatment of non-small cell lung cancer: A meta-analysis[J]. Cryobiology, 2023, 112: 104560.
16
侯永乐,丁振兴,刘圣杰,等. CT引导下微波消融与射频消融治疗周围型非小细胞肺癌的临床效果及预后研究[J]. 中国中西医结合外科杂志2025(3): 386-391.
17
梁曦月,王猛,高飞,等. 冷冻消融治疗晚期非小细胞肺癌的近期疗效及安全性[J]. 中国介入影像与治疗学2023, 20(3): 148-152.
18
Tang L, Liu H, Cheng J, et al. Cryoablation versus microwave ablation in the treatment of hepatocellular carcinoma: A Systematic Review and meta-analysis [J]. Asian J Surg, 2024: S1015-9584(24)02567-3.
19
Xu F, Wei Z, Ye X. Immunomodulatory effects of microwave ablation on malignant tumors[J]. Am J Cancer Res, 2024, 14(6): 2714-2730.
20
张洲博,王鹏,李天,等. 微波消融与冷冻消融治疗肺肿瘤的疗效和安全性分析[J]. 肿瘤学杂志2025(4): 299-304.
21
Liu X, Zhan Y, Wang H, et al. Radiofrequency ablation versus microwave ablation for lung cancer/lung metastases: a meta-analysis[J]. ANZ J Surg, 2025, 95(1-2): 56-65.
22
Bertolotti L, Bazzocchi MV, Iemma E, et al. Radiofrequency ablation,cryoablation, and microwave ablation for the treatment of small renal masses: efficacy and complications[J]. Diagnostics (Basel), 2023, 13(3): 388.
23
李国霖. CT引导下微波消融治疗肺磨玻璃结节的临床疗效及安全性分析[J]. 现代医用影像学2025, 34(12): 2230-2232.
24
姜华,金发光. 肺小结节消融的现状与争议[J/OL]. 中华肺部疾病杂志(电子版), 2024, 17(3): 493-496.
25
Hu X, Hu Q, He Y, et al. Efficacy and safety of microwave ablation and its synergistic potential in the treatment of early-stage non-small cell lung cancer [J]. Clin Imaging, 2024, 107: 110070.
26
Shang Y, Li G, Zhang B, et al. Image-guided percutaneous ablation for lung malignancies [J]. Front Oncol, 2022, 12: 1020296.
27
任圆梦,陆立群,许金红,等. 微波消融治疗非小细胞肺癌的疗效与不良反应[J]. 吉首大学学报(自然科学版), 2025, 46(5): 69-76.
28
张翠翠,刘敏. 微波消融联合常规化疗方案治疗晚期非鳞状非小细胞肺癌的临床效果[J]. 临床医学研究与实践2025, 10(27): 68-71.
29
张达毅,蔡跃东,王晓聪. 肺结节患者微波消融术治疗效果的影响因素分析[J]. 福建医药杂志2025, 47(1): 43-46.
30
李帅,韩哲洙,金秀颖,等. 微波消融治疗肺癌的疗效及安全性[J]. 癌症进展2023, 21(17): 1888-1892.
[1] 高昕雨, 杨楷熠, 陈慧婷, 朱丽, 方雅滨, 宋梅, 曾锦树. 甲状腺乳头状癌术后颈部转移淋巴结超声引导下微波消融与再次手术的疗效比较[J/OL]. 中华医学超声杂志(电子版), 2025, 22(09): 858-867.
[2] 杨肖立, 杨传盛. 超声引导下微波消融治疗非哺乳期乳腺炎的临床疗效[J/OL]. 中华乳腺病杂志(电子版), 2025, 19(06): 348-351.
[3] 严一杰, 张军, 孟繁杰, 关志宇. 肺结节-胸膜关系预测CT引导下肺穿刺活检后气胸风险的作用研究[J/OL]. 中华肺部疾病杂志(电子版), 2026, 19(01): 36-41.
[4] 刘紫芋, 陈方梅, 高盼, 宋溢, 田宇燕, 魏静. 肺癌患者同步放化疗癌因性疲乏潜在剖面分析及影响因素研究[J/OL]. 中华肺部疾病杂志(电子版), 2026, 19(01): 49-55.
[5] 杜东莲, 史志伟, 姚洁, 张树敏, 代卫斌. 基于CT影像组学和临床特征预测单发肺结节生长的临床意义[J/OL]. 中华肺部疾病杂志(电子版), 2026, 19(01): 56-61.
[6] 刘薇, 刘洪飞, 姬骁亮, 崔红伟, 郑明明, 刘方硕, 刘志静, 张燕. 受体相互作用蛋白激酶2、程序性细胞死亡因子1表达对肺癌患者免疫疗法疗效预测及预后分析[J/OL]. 中华肺部疾病杂志(电子版), 2026, 19(01): 62-69.
[7] 高贝贝, 屈卓军, 赵夏佚, 王丹, 张嫚, 杨文静. 肺癌伴恶性胸腔积液经皮导管引流后致肺不张的预测分析[J/OL]. 中华肺部疾病杂志(电子版), 2026, 19(01): 22-27.
[8] 陈雪梅, 郭宇桐, 刘锦程, 钱航, 王斌, 徐智. 二硫化钼负载铂钯联用氮化硼的新型传感器构建及对神经元特异性烯醇化酶的检测研究[J/OL]. 中华肺部疾病杂志(电子版), 2025, 18(06): 860-865.
[9] 韩炜, 张炜, 郭建峰, 高秀秀, 李静, 崔涛涛. 基于计算机断层扫描形态学和放射组学特征预测实性肺结节恶性程度的临床意义[J/OL]. 中华肺部疾病杂志(电子版), 2025, 18(06): 929-935.
[10] 许志翱, 顾丽萍, 曹敏, 宣梦馨, 李艳婷, 赵丽亭. 基于加速康复外科和预康复模式对老年肺癌围术期多维度管理干预及预后的影响[J/OL]. 中华肺部疾病杂志(电子版), 2025, 18(06): 979-984.
[11] 俞颖倩, 徐兴祥. 淋巴结转移与非转移对原发性支气管肺癌免疫微环境及免疫治疗的影响[J/OL]. 中华肺部疾病杂志(电子版), 2025, 18(06): 1027-1030.
[12] 陈璐, 鲁静, 帅维正, 狄守印, 王倩, 陶莎, 杨玉晶. 全程肺康复管理在肺癌患者胸腔镜围术期的临床应用[J/OL]. 中华肺部疾病杂志(电子版), 2025, 18(05): 811-813.
[13] 余萱, 贺需旗, 郭光辉, 谭雷, 李凯, 曾庆劲. 新型微波消融系统治疗血管旁与非血管旁肝癌的安全性及疗效[J/OL]. 中华肝脏外科手术学电子杂志, 2025, 14(06): 888-893.
[14] 段兴福, 唐建中, 孙志为, 陈业盛, 高波, 费振浩. 后腹膜入路腹腔镜微波消融术治疗复发性肝癌的临床疗效[J/OL]. 中华肝脏外科手术学电子杂志, 2025, 14(06): 919-924.
[15] 杜昊楠, 张广健, 王嘉巍, 梁挺, 锁瑞洋, 张佳. 人工智能在肺结节诊疗体系中的应用前景[J/OL]. 中华胸部外科电子杂志, 2026, 13(01): 64-73.
阅读次数
全文


摘要


AI


AI小编
你好!我是《中华医学电子期刊资源库》AI小编,有什么可以帮您的吗?