切换至 "中华医学电子期刊资源库"

中华肺部疾病杂志(电子版) ›› 2022, Vol. 15 ›› Issue (03) : 451 -453. doi: 10.3877/cma.j.issn.1674-6902.2022.03.048

病例报告

支气管扩张症合并脓肿诺卡菌、曲霉菌感染一例
郭丽娅1, 王玉光1, 高翔2, 王亚南1, 焦以庆1, 祝勇1,()   
  1. 1. 100010 北京,首都医科大学附属北京中医医院呼吸科
    2. 100010 北京,首都医科大学附属北京中医医院检验科
  • 收稿日期:2021-12-05 出版日期:2022-06-25
  • 通信作者: 祝勇

A case report: Bronchiectasis combined with Nocardia abscessus, Aspergillus infection

Liya Guo1, Yuguang Wang1, Xiang Gao2   

  • Received:2021-12-05 Published:2022-06-25
引用本文:

郭丽娅, 王玉光, 高翔, 王亚南, 焦以庆, 祝勇. 支气管扩张症合并脓肿诺卡菌、曲霉菌感染一例[J/OL]. 中华肺部疾病杂志(电子版), 2022, 15(03): 451-453.

Liya Guo, Yuguang Wang, Xiang Gao. A case report: Bronchiectasis combined with Nocardia abscessus, Aspergillus infection[J/OL]. Chinese Journal of Lung Diseases(Electronic Edition), 2022, 15(03): 451-453.

诺卡菌属(Nocardia)是腐生需氧的放线菌属,以腐生方式广泛分布于自然环境中,在土壤中广泛存在,参与有机物质的腐烂[1,2]。主要引起免疫抑制患者的机会性感染,可累及肺、皮肤和脑等全身各个脏器,其中感染肺部的以星形诺卡菌复合群多见[3]。肺诺卡菌病是由诺卡菌引起的一种急性、亚急性或慢性化脓性或肉芽肿性肺部感染[4]。诺卡菌主要引起免疫抑制患者的机会性感染,诺卡菌病、曲霉菌的合并感染临床较为少见。本文报告1例支气管扩张症合并脓肿诺卡菌、曲霉菌感染。

图1 患者胸部高分辨CT左肺舌叶空腔内可见曲霉球(箭头所示),经三维重建,其横断位(A)、冠状位(B)、矢状位(C)均可见"空气新月征"
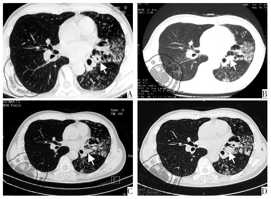
图2 患者2018年4月17日(A),2019年8月16日(B),2020年3月2日(C),2021年4月1日(D)胸部CT变化,可见左舌叶空腔内软组织密度填充影(箭头所示)逐渐增大
图3 痰标本及BALF标本涂片及培养结果
1
王 辉. 临床微生物学手册[M]. 中华医学电子音像出版社,2017: 46.
2
胡必杰. 哈里森感染病学[M]. 上海科学技术出版社,2019: 530.
3
严群锋,陈启明,孙正林,等. 表现为重症肺炎的肺豚鼠耳炎奴卡菌病一例[J]. 中华结核和呼吸杂志2020, 43(7): 616-619.
4
王 杰,李 羲,黄华萍. 关注免疫功能正常者肺奴卡菌病[J/CD]. 中华肺部疾病杂志(电子版), 2016, 9(3): 244-247.
5
罗玉玲,刘升明. 肺诺卡菌病3例[J]. 中国感染与化疗杂志2019, 19(1): 92-95.
6
Jeffrey PK, Donald RY, Tan-Lucien HM, et al. CT findings of pulmonary nocardiosis[J]. Ajr Am J Roentgenol, 2011, 197(2): 266-272.
7
黄 磊,李湘燕,孙立颖,等. 23株诺卡菌的耐药特点分析[J]. 中国临床药理学杂志2018, 267(13): 34-38.
8
Alejandro R, Nina MC. Nocardia infections in solid organ transplantation:Guidelines from the Infectious Diseases Community of Practice of the American Society of Transplantation[J]. Clin transplant, 2019, 33(9): e13509.
9
杨胡琴,施焕中,童朝晖. 奴卡菌病13例临床分析[J]. 中华结核和呼吸杂志2017, 40(008): 588-591.
10
Beaman BL, Beaman L. Nocardia species: host-parasite relationships[J]. Clin Microbiol Rev, 1994, 7(2): 213-264.
11
Tetsuo F, Jun I, Akira W, et al. Clinical characteristics of pulmonary nocardiosis in immunocompetent patients[J]. J Infect Chemother, 2016, 22(11): 738-743.
12
牟向东,郭文佳,于 丽,等. 支气管扩张症合并肺诺卡菌病二例并文献复习[J]. 中国呼吸与危重监护杂志2019, 18(2): 72-76.
13
Yu K, Tachibana K, Tsuyuguchi K, et al. Pulmonary nocardiosis: A clinical analysis of 59 cases[J]. Respir Invest, 2013, 52(3): 160-166.
14
田丹丽,梁春坡. 肺奴卡菌病药物治疗的研究进展[J]. 中国现代应用药学2020, 37(14): 1783-1787.
15
Meena DS, Kumar D, Bohra GK, et al. Pulmonary Nocardiosis with Aspergillosis in a patient with COPD: A rare co-infection[J]. IDCases, 2020: e00766.
16
黄东东,蒋 涛,肖 建,等. 变态反应性支气管肺曲霉菌病继发肺诺卡菌感染一例并文献复习[J]. 国际呼吸杂志2019, 39(15): 1182-1185.
17
张明洋,韩晓庆,吴 妍,等. 星形诺卡菌合并烟曲霉菌感染1例[J]. 解放军医学院学报2019, 40(1): 86-87.
18
Wu J, Wu Y, Zhu Z. Pulmonary infection caused by Nocardia cyriacigeorgica in a patient with allergic bronchopulmonary aspergillosis: A case report[J]. Med, 2018, PMID: 30412142.
19
Sharma B, Ghosh G, Kamble U, et al. Allergic broncho pulmonary aspergillosis complicated by nocardiosis[J]. Case Rep Pulmonol, 2012, 2012: 758630.
20
Al-Anazi Khalid A, Aljurf Mahmoud D, Al-Mohareb Fahad I, et al. Successful management of invasive pulmonary nocardiosis and aspergillosis in a patient with t-cell lymphoma: a case report[J]. Clin Med Case Rep, 2008, 1: 65-71.
21
桑福德. 桑福德抗微生物治疗指南:第48版[M]. 中国协和医科大学出版社,2012: 42.
22
张德平,孟凡青. 肉芽肿性肺疾病[J]. 中国呼吸与危重监护杂志2011, 10(2): 202-205.
23
Chopra Amit, Avadhani Vaidehi, Tiwari Anupama, et al. Granulomatous lung disease: clinical aspects[J]. Expert Rev Respir Med, 2020, 14(10): 1045-1063.
24
Mukhopadhyay S, Gal AA. Granulomatous lung disease: an approach to the differential diagnosis[J]. Arch Pathol Lab Med, 2010, 134(5): 667-690.
25
Ohshimo S, Guzman J, Costabel U, et al. Share Differential diagnosis of granulomatous lung disease: clues and pitfalls: Number 4 in the Series "Pathology for the clinician" Edited by Peter Dorfmüller and Alberto Cavazza[J]. Eur Respir Rev, 2017, 26(145): 170012.
[1] 钱雅君, 虞竹溪, 徐颖, 董丹江, 顾勤. 危重型新型冠状病毒感染合并侵袭性肺曲霉病的临床特征和高危因素分析[J/OL]. 中华危重症医学杂志(电子版), 2024, 17(01): 3-9.
[2] 冯丹, 姜尔烈. 血液病患者侵袭性肺曲霉菌病研究进展[J/OL]. 中华实验和临床感染病杂志(电子版), 2022, 16(03): 145-149.
[3] 张燕, 杨跃青, 邱峥. IgG 联合血清细胞因子对肺结核并发慢性肺曲霉菌病的诊断意义[J/OL]. 中华肺部疾病杂志(电子版), 2024, 17(05): 809-812.
[4] 游雅婷, 刘熙, 白莉, 郭亮. 肺曲霉菌病患者的影像学及临床特征分析[J/OL]. 中华肺部疾病杂志(电子版), 2024, 17(02): 229-233.
[5] 王刚, 单伟根, 刘娟, 李长庆, 王新民. 常规治疗联合阿托伐他丁钙片对支气管扩张症临床分析[J/OL]. 中华肺部疾病杂志(电子版), 2023, 16(04): 538-540.
[6] 杨智晖, 赵宇博, 许倩, 潘洁, 常兴芳, 路康, 许宁. 经鼻高流量湿化氧疗治疗支气管扩张症伴感染临床分析[J/OL]. 中华肺部疾病杂志(电子版), 2023, 16(02): 206-208.
[7] 王赛妮, 徐旺, 李华娟, 唐英俊, 李卫霞, 李羲, 黄华萍. 影像表现为肺纤维化的肉芽肿性多血管炎一例报告并文献复习[J/OL]. 中华肺部疾病杂志(电子版), 2022, 15(04): 603-605.
[8] 桑琳莉, 赵蒙蒙, 丁平, 徐兴祥, 曹柳兆. 免疫性血小板减少症并发奴卡菌血症及肺曲霉菌病后继发肺腺癌一例[J/OL]. 中华肺部疾病杂志(电子版), 2022, 15(01): 138-140.
[9] 王丽萍, 周娟, 袁林栋. 电子支气管镜联合GM试验诊断COPD合并肺曲霉菌感染的诊断意义[J/OL]. 中华肺部疾病杂志(电子版), 2021, 14(03): 365-367.
[10] 任之栋, 张巧, 张玉江, 杨睿, 万敏, 马千里. 慢性阻塞性肺疾病合并慢性肺曲霉菌病的高危因素及临床特征分析[J/OL]. 中华肺部疾病杂志(电子版), 2021, 14(01): 11-16.
[11] 唐薪竣, 宋元林. 黏液活性药治疗成人支气管扩张症的研究进展[J/OL]. 中华肺部疾病杂志(电子版), 2020, 13(06): 833-835.
[12] 李春梅, 南岩东, 李王平, 谢永宏, 金发光, 胡莺. 病理确诊的慢性肺曲霉菌病的临床特点分析[J/OL]. 中华肺部疾病杂志(电子版), 2019, 12(02): 202-204.
[13] 高晓华, 冷敏, 徐向英, 鞠贞会, 王丽萍, 张荣杰, 李军鹏. 支气管扩张症营养不良患者门诊干预的分析[J/OL]. 中华肺部疾病杂志(电子版), 2017, 10(01): 73-74.
[14] 程红燕, 王东萍, 赵京黎, 何瑶, 包训迪. 肺诺卡菌临床特征分析[J/OL]. 中华临床医师杂志(电子版), 2024, 18(01): 35-40.
[15] 李凤玉, 邓静敏. 肺诺卡菌病诊治的研究进展[J/OL]. 中华临床医师杂志(电子版), 2020, 14(10): 848-852.
阅读次数
全文


摘要


AI


AI小编
你好!我是《中华医学电子期刊资源库》AI小编,有什么可以帮您的吗?