切换至 "中华医学电子期刊资源库"

中华肺部疾病杂志(电子版) ›› 2025, Vol. 18 ›› Issue (06) : 1007 -1011. doi: 10.3877/cma.j.issn.1674-6902.2025.06.026

论著

惠普尔养障体感染肺空洞结节一例及文献复习
郑静, 毕周奎, 王家瑞, 游雅婷, 徐智, 白莉()   
  1. 400037 重庆,陆军(第三)军医大学新桥医院呼吸与危重症医学科
  • 收稿日期:2025-09-25 出版日期:2025-12-25
  • 通信作者: 白莉

A case of pulmonary cavitary nodule in a patient with Tropheryma whipplei and literature review

Jing Zheng, Zhoukui Bi, Jiarui Wang, Yating You, Zhi Xu, Li Bai()   

  1. Department of Respiratory and Critical Care Medicine, Xinqiao Hospital, Army Medical University, Chongqing 400037, China
  • Received:2025-09-25 Published:2025-12-25
  • Corresponding author: Li Bai
引用本文:

郑静, 毕周奎, 王家瑞, 游雅婷, 徐智, 白莉. 惠普尔养障体感染肺空洞结节一例及文献复习[J/OL]. 中华肺部疾病杂志(电子版), 2025, 18(06): 1007-1011.

Jing Zheng, Zhoukui Bi, Jiarui Wang, Yating You, Zhi Xu, Li Bai. A case of pulmonary cavitary nodule in a patient with Tropheryma whipplei and literature review[J/OL]. Chinese Journal of Lung Diseases(Electronic Edition), 2025, 18(06): 1007-1011.

目的

分析惠普尔养障体(Tropheryma whipplei, Twhipplei)感染肺空洞结节患者临床资料并文献复习,旨在提高临床对惠普尔养障体肺部感染的认识。

方法

归纳整理我院诊疗的1例惠普尔养障体肺部感染患者病例,包括患者病史、实验室检查结果、CT影像学表现、宏基因组二代测序(metagenomic next generation sequencing, mNGS)结果、诊疗经过、治疗效果等资料,结合惠普尔养障体肺部感染相关文献复习。

结果

纳入患者为居住城区的青年女性,39岁;有猫科动物接触史。实验及辅助检查:白细胞6.35×109/L、中性粒细胞绝对值3.5×109/L、淋巴细胞绝对值2.02×109/L、单核细胞绝对值0.58×109/L、嗜酸性粒细胞0.21×109/L、血红蛋白118 g/L、C-反应蛋白(C-reactive protein, CRP)0.4 mg/L;凝血四项:血浆凝血酶原时间(prothrombin time, PT)11.0 sec、活化部分凝血活酶时间(activated partial thromboplastin time, APTT)28.7 sec、凝血酶时间(thrombin time, TT)14.7 sec、纤维蛋白原(fibrinogen, FBG)2.45 g/L;肺泡灌洗液(bronchoalveolar lavage fluid, BALF)mNGS提示:G菌:惠普尔养障体,序列数1179,相对丰度14.60%;真菌:似平滑念珠菌,序列数18相对丰度0.16%;DNA病毒:人类β疱疹病毒7型,序列数3,相对丰度2.12%。肺CT左下肺孤立性肺空洞结节为首发表现,经mNGS诊断为惠普尔养障体肺部感染,给予复方磺胺甲恶唑片口服3月规范抗感染治疗,肺空洞结节直径由18 mm×13 mm吸收缩小至11 mm×6 mm,治疗有效。

结论

支气管肺泡灌洗液mNGS是确诊惠普尔养障体肺部感染的有效方法,临床上以肺空洞结节为唯一表现的非免疫抑制的患者需警惕惠普尔养障体感染,复方磺胺甲恶唑口服治疗效果显著。

Objective

To analyze the clinical data of one case with pulmonary cavitary nodule caused by Tropheryma whipplei(T.whipplei) infection and review the literature, aiming to improve the clinical understanding of pulmonary infection caused by T. whipplei.

Methods

A case of T. whipplei lung infection was reviewed and summarized, including the patient′s medical history, laboratory test results, CT imaging findings, metagenomic next generation sequencing (mNGS) results, treatment process, and therapeutic outcomes. The case was also compared with relevant literature on T. whipplei lung infections.

Result

The study enrolled a female 39-year-old urban residents with a history of feline feline contact.Laboratory and auxiliary examinations revealed the following: white blood cell count 6.35×109/L, absolute neutrophil count 3.5×109/L, absolute lymphocyte count 2.02×109/L, absolute monocyte count 0.58×109/L, absolute eosinophil count 0.21×109/L, hemoglobin 118 g/L, C-reactive protein (CRP) 0.4 mg/L. Coagulation panel: prothrombin time (PT) 11.0 sec, activated partial thromboplastin time (APTT) 28.7 sec, thrombin time (TT) 14.7 sec, fibrinogen (FBG) 2.45 g/L. Metagenomic next-generation sequencing (mNGS) of bronchoalveolar lavage fluid (BALF) indicated: Gram-positive bacteria: Tropheryma whipplei, sequence count 1179, relative abundance 14.60%; Fungus: Candida parapsilosis, sequence count 18, relative abundance 0.16%; DNA virus: Human betaherpesvirus 7, sequence count 3, relative abundance 2.12%. Chest CT showed a solitary cavitary nodule in the left lower lung as the initial presentation. The patient was diagnosed with Tropheryma whipplei pulmonary infection via mNGS and received a standardized 3-month course of oral cotrimoxazole (trimethoprim-sulfamethoxazole) anti-infective therapy. Following treatment, the cavitary nodule diameter decreased from 18 mm×13 mm to 11 mm×6 mm, indicating effective treatment response.

Conclusion

Bronchoalveolar lavage fluid mNGS is an effective diagnostic method for pulmonary infections caused by T. whipplei. Patients without immunosuppression who present solely with lung cavities or nodules should be vigilant for T. whipplei infection in clinical. Oral treatment with compound sulfamethoxazole has shown significant therapeutic effects.

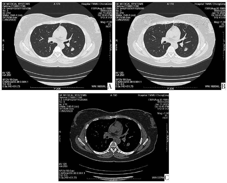
图1 2025-1-15肺部CT扫描图像。图A为左肺下叶背段实性结节,直径为18 mm×13 mm,结节内见空洞;图B为左肺下叶背段实性结节周围见浅淡模糊影及小结节影;图C为纵膈窗未见肿大淋巴结
图2 2025-2-10治疗2周后肺部CT扫描图像。图A为左肺下叶背段见实性结节,大小约为14 mm×10 mm,结节较前缩小,空洞已基本吸收;图B为左肺下叶背段实性结节周围见浅淡模糊影及小结节影;图C为纵膈窗结节较前缩小,未见空洞,未见肿大淋巴结
图3 2025-3-10治疗1月余后肺部CT扫描图像。图A为左肺下叶背段实性结节直径约为13 mm×8 mm,结节吸收缩小;图B为左肺下叶背段实性结节周围见浅淡模糊影及小结节影;图C为纵膈窗结节较前缩小,未见肿大淋巴结
图4 2025-5-29治疗3月停药后肺部CT扫描图像。图A为左肺下叶背段实性结节大小约为11 mm×6 mm,结节较前进一步缩小;图B为左肺下叶背段实性结节周围见浅淡模糊影及小结节影;图C为纵膈窗结节较前进一步缩小,未见肿大淋巴结
1
Ahmad AI, Wikholm C, Pothoulakis I, et al. Whipple′s disease review,prevalence, mortality, and characteristics in the United States: a cross-sectional national inpatient study[J]. Medicine(Baltimore), 2022, 101(49): e32231.
2
Anselmo A, Rizzo F, Gervasi E, et al. Tropheryma whipplei and Giardia intestinalis co-infection:metagenomic analysis during infection and the recovery follow-up[J]. Infect Dis Rep, 2025, 17(3): 62.
3
Dolmans RA, Boel CH, Lacle MM, et al. Clinical manifestations, treatment, and diagnosis of Tropheryma whipplei infections[J]. Clin Microbiol Rev, 2017, 30(2): 529-555.
4
Lai LM, Zhu XY, Zhao R, et al. Tropheryma whipplei detected by metagenomic next-generation sequencing in bronchoalveolar lavage fluid[J]. Diagn Microbiol Infect Dis, 2024, 109(4): 116374.
5
Hujoel IA, Johnson DH, Lebwohl B, et al. Tropheryma whipplei infection(Whipple disease)in the USA[J]. Dig Dis Sci, 2019, 64(1): 213-223.
6
Shi J, Liu R, Qiu J, et al. Pulmonary infection caused by Tropheryma whipplei: a case report and review of the literature[J]. J Med Case Rep, 2024, 18(1): 613.
7
尹辛大,许明玲. 惠普尔养障体重症肺炎1例报告[J]. 中国感染控制杂志2022, 21(8): 812-815.
8
Pawan KC, Frehiywot KA, Sabin K, et al. Whipple′s disease mimicking sarcoidosis[J]. Cureus, 2023, 15(7): e41839.
9
Keita AK, Mediannikov O, Ratmanov P, et al. Looking for Tropheryma whipplei source and reservoir in rural Senegal[J]. Am J Trop Med Hyg, 2013, 88(2): 339-343.
10
Marth T, Moos V, Müller C, et al. Tropheryma whipplei infection and Whipple′s disease[J]. Lancet Infect Dis, 2016, 16(3): e13-e22.
11
Lagier JC, Papazian L, Fenollar F, et al. Tropheryma whipplei DNA in bronchoalveolar lavage samples: a case control study[J]. Clin Microbiol Infect, 2016, 22(10): 875-879.
12
Bao R, Ma L, Wang W. A case of pulmonary nodular lesion caused by Tropheryma whipplei infection: a case report and literature review[J]. BMC Pulm Med, 2025, doi: 10.1186/s12890-025-04047-4.
13
Lin M, Wang K, Qiu L, et al. Tropheryma whipplei detection by metagenomic next-generation sequencing in bronchoalveolar lavage fluid:a cross-sectional study[J]. Front Cell Infect Microbiol, 2022, 12: 961297.
14
Zhang WM, Xu L. Pulmonary parenchymal involvement caused by Tropheryma whipplei[J]. Open Med(Wars), 2021, 16(1): 843-846.
15
Wilson MR, Sample HA, Zorn KC, et al. Clinical metagenomic sequencing for diagnosis of meningitis and encephalitis[J]. N Engl J Med, 2019, 380(24): 2327-2340.
16
Fang ZX, Liu Q, Tang W, et al. Experience in the diagnosis and treatment of pneumonia caused by infection with Tropheryma whipplei:a case series[J]. Heliyon, 2023, 9(6): e17132.
17
Gu W, Deng X, Lee M, et al. Rapid pathogen detection by metagenomic next-generation sequencing of infected body fluids[J]. Nat Med, 2021, 27(1): 115-124.
18
Li H, Gao H, Meng H, et al. Detection of pulmonary infectious pathogens from bronchoalveolar lavage fluid by metagenomic next-generation sequencing[J]. Front Cell Infect Microbiol, 2020, 10: 567613.
19
hen S, Kang Y, Li D, et al. Diagnostic performance of metagenomic next-generation sequencing for the detection of pathogens in bronchoalveolar lavage fluid in patients with pulmonary infections: systematic review and meta-analysis[J]. Int J Infect Dis, 2022, 122: 867-873.
20
Li N, Cai QQ, Miao Q, et al. High-throughput metagenomics for identification of pathogens in the clinical settings[J]. Small Methods, 2021, 5(1): 2000792.
21
李佳琪,周慧敏,申晓曼,等. 病原宏基因组二代测序诊断惠普尔养障体感染一例并文献复习[J]. 中华医院感染学杂志2025, 35(10): 1514-1519.
22
廖亚龙,温魏棋,姚亚男,等. 宏基因组高通量测序技术快速诊断惠普尔养障体肺部感染1例报道[J]. 检验医学2025, 40(4): 409-412.
23
罗懿,王洪武. 宏基因组高通量测序在肺部感染中的应用[J/OL]. 中华肺部疾病杂志(电子版), 2024, 17(2): 320-323.
24
Melas N, Amin R, Gyllemark P, et al. Whipple′s disease:the great masquerader-a high level of suspicion is the key to diagnosis[J]. BMC Gastroenterol, 2021, 21(1): 128.
25
俞慧敏,朱婷婷,高春梅. 1例惠普尔养障体肺炎的诊治并文献分析[J]. 实用药物与临床2024, 27(2): 912-916.
[1] 王柳清, 李萍, 李小石, 刘阳, 吴鹤龄, 周国平. 以头痛、乏力首诊于神经科的鹦鹉热衣原体肺炎二例及文献复习[J/OL]. 中华实验和临床感染病杂志(电子版), 2024, 18(03): 176-181.
[2] 李倩, 邓莉平, 陈果, 张忠威, 莫平征, 胡文佳, 陈良君, 张捷, 张永喜, 杨蓉蓉, 熊勇. 宏基因组二代测序在获得性免疫缺陷综合征合并中枢神经系统感染中的临床应用[J/OL]. 中华实验和临床感染病杂志(电子版), 2023, 17(01): 24-31.
[3] 孙国先, 蔡萍, 刘微丽, 孟丽君, 侯红玲. 宏基因组二代测序在鲍曼不动杆菌肺炎混合感染者诊疗中的应用[J/OL]. 中华实验和临床感染病杂志(电子版), 2022, 16(02): 115-121.
[4] 罗来邦, 王绪杨, 胡续光, 张友福, 徐志丹. 宏基因组二代测序早期筛查肝移植术后人类微小病毒B19感染临床研究[J/OL]. 中华移植杂志(电子版), 2022, 16(06): 346-352.
[5] 吴志利, 骆小莉, 徐静, 胡明冬, 陈晓龙. 口腔来源的齿垢密螺旋体肺脓肿一例及文献复习[J/OL]. 中华肺部疾病杂志(电子版), 2025, 18(05): 784-788.
[6] 叶春幸, 丘国清, 林缓卿, 申严, 陈思达, 赖育庭, 徐香琴. 宏基因组二代测序肺结核及病原体特征分析[J/OL]. 中华肺部疾病杂志(电子版), 2024, 17(06): 985-990.
[7] 林英, 何洪, 杨琦, 姚兴伟, 马婧涵, 杨玉婷, 刘月红, 贾悦, 李长安. 联合宏基因组二代测序诊断普雷沃氏菌致肺脓肿1例并文献复习[J/OL]. 中华肺部疾病杂志(电子版), 2024, 17(04): 625-629.
[8] 徐旺, 王赛妮, 李华娟, 唐英俊, 刘峰, 林玲, 黄华萍. 肺泡灌洗液宏基因组二代测序辅助诊断肺隐球菌病一例[J/OL]. 中华肺部疾病杂志(电子版), 2023, 16(01): 132-134.
[9] 徐心怡, 曹磊, 刘澄英. 8例鹦鹉热衣原体肺炎临床特征分析[J/OL]. 中华肺部疾病杂志(电子版), 2022, 15(05): 739-741.
[10] 任腾, 刘伟, 焦娇, 李艳燕, 马瑞娜, 房延凤, 金发光. 耶氏肺孢子菌肺炎的临床特征分析[J/OL]. 中华肺部疾病杂志(电子版), 2022, 15(04): 473-476.
[11] 唐超, 施誉君, 谢翠英. 风湿性疾病合并肺孢子菌肺炎9例临床特征分析[J/OL]. 中华肺部疾病杂志(电子版), 2020, 13(04): 568-570.
[12] 杨翔, 郭兰骐, 谢剑锋, 邱海波. 宏基因组二代测序在脓毒症病原体诊断中的应用进展[J/OL]. 中华重症医学电子杂志, 2023, 09(03): 292-297.
[13] 黄建玲, 王丽. 猪链球菌脑膜炎一例报道[J/OL]. 中华脑科疾病与康复杂志(电子版), 2024, 14(03): 187-189.
[14] 张庭秀, 胡绳, 马李杰, 肖贞良. 普雷沃氏菌感染致肺脓肿特征分析[J/OL]. 中华诊断学电子杂志, 2022, 10(04): 234-237.
[15] 裴小华, 张涛, 金柯, 柏云, 高飞, 朱蓓, 赵卫红. 非人类免疫缺陷病毒患者感染肺孢子菌肺炎的诊断学特征并文献复习[J/OL]. 中华诊断学电子杂志, 2022, 10(04): 224-228.
阅读次数
全文


摘要


AI


AI小编
你好!我是《中华医学电子期刊资源库》AI小编,有什么可以帮您的吗?