切换至 "中华医学电子期刊资源库"

中华肺部疾病杂志(电子版) ›› 2023, Vol. 16 ›› Issue (06) : 903 -905. doi: 10.3877/cma.j.issn.1674-6902.2023.06.039

病例报告

肺部感染为主要表现艾滋病合并马尔尼菲篮状菌病一例
张怡, 郑少琴(), 杨莎()   
  1. 400038 重庆,陆军(第三)军医大学第一附属医院感染病科
  • 收稿日期:2023-09-23 出版日期:2023-12-25
  • 通信作者: 郑少琴, 杨莎

One case of of AIDS with Marneffei basiform mycosis shown as pulmonary infection

Yi Zhang, Shaoqin Zheng(), Sha Yang()   

  • Received:2023-09-23 Published:2023-12-25
  • Corresponding author: Shaoqin Zheng, Sha Yang
引用本文:

张怡, 郑少琴, 杨莎. 肺部感染为主要表现艾滋病合并马尔尼菲篮状菌病一例[J/OL]. 中华肺部疾病杂志(电子版), 2023, 16(06): 903-905.

Yi Zhang, Shaoqin Zheng, Sha Yang. One case of of AIDS with Marneffei basiform mycosis shown as pulmonary infection[J/OL]. Chinese Journal of Lung Diseases(Electronic Edition), 2023, 16(06): 903-905.

艾滋病全称获得性免疫缺陷综合征(acquired immunodeficiency syndrome, AIDS),是由人类免疫缺陷病毒(human immunodeficiency virus, HIV)引起的一种免疫功能缺陷传染性疾病。马尔尼菲篮状菌(Talaromyces Marneffei, SM)是一种双相真菌[1]。通过皮肤外伤、消化道和呼吸道感染,对AIDS等免疫力低下的人群可引起马尔尼菲篮状菌病(Penicilliosis Marneffeis disease, PSM),是AIDS常见并发症,为AIDS指证性疾病[2,3]。PSM多发生于晚期AIDS,起病隐匿,与其他真菌病临床症状相似,多数病情进展迅速,诊断困难误诊率高,是导致AIDS死亡的主要原因[4,5]。PSM分为局限型和播散型,播散型PSM较为多见,发展迅速,严重者导致患者死亡。播散型PSM主要通过呼吸道传播,肺部感染受累最早出现,主要表现咳嗽、咳痰等。本文对我院收治的肺部感染为主要表现艾滋病并马尔尼菲篮状菌一例进行分析,报告如下。

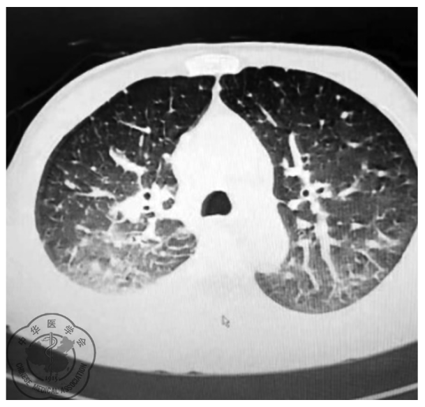
图1 胸部CT示。注:1.双肺多发结节影;2.双肺轻度水肿伴感染;3.纵隔及双侧腋窝淋巴结肿大;4.心包积液,右侧胸腔积液
图2 前胸及后背可见暗红色丘疹,中间凹陷,散在分布
1
Chuanyi N, Jingzhen L, Wudi W, et al. Accuracy of rapid diagnosis of talaromyces marneffei: A systematic review and meta-analysis EJ3[J]. PLoS One, 2018, 13(4): e0195569.
2
Qiaofei L, Chuqiang W, Kang Z, et al. AIDS-assoziierte disseminierte talaromyces marneffei-mykose(vormals penicillium marneffei-mykose)[J]. J German Soc Dermatol, 2018, 16(10): 1256-1259.
3
Pruksaphon K, Intaramat A, Ratanabanangkoon K, et al. Development and characterization of an immunochromatographic test for the rapid diagnosis of Talaromyces(Penicillium)marneffei[J]. PLoS One, 2018, 13(4): e0195596.
4
Wang YG, Cheng JM, Ding HB, et al. Study on the clinical features and prognosis of Penicilliosis marneffei without human immunodeficiency virus infection[J]. Mycopathol, 2018, 183(3): 551-558.
5
Jiang J, Meng S, Huang S, et al. Effects of Talaromyces marneffei infection on mortality of HIV/AIDS patients in southern China: A retrospective cohort study[J]. Clin Microbiol Infect, 2019, 25(2): 233-241.
6
Ning C, Lai J, Wei W, et al. Accuracy of rapid diagnosis of Talaro myces marneffei:A systematic review and meta-analysis[J]. PLoS One, 2018, 13(4): e0195569.
7
张东伟,蓝 冰,叶 萍,等. 马尔尼菲青霉菌病感染160例临床分析[J]. 中国医药导报2017, 14(32): 116-119.
8
赵 瑾,方 芳,乐英棒,等. 马尔尼菲青霉菌病的临床特征与实验室检测结果分析[J]. 海南医学2018, 29(19): 2735-2738.
9
Pongpom M, Vanottanakom P, Nimmanee P, et al. Adaptation to macrophage killing by Talaromyces marneffei[J]. Future Science Oa, 2017, 3(3): FSO215.
10
谭鹆昕,高 丽,张 米,等. 艾滋病合并马尔尼菲篮状菌病的研究进展[J]. 中国真菌学杂志2018, 13(6): 371-375.
11
黄 斌. 艾滋病合并播散性马尔尼菲青霉菌病95例临床分析[J]. 医师在线2017, 3: 25-26.
12
石秀东,黄诗雯,詹 艺,等. AIDS合并马尔尼菲青霉菌感染的胸部CT表现[J]. 放射学实践2019, 34(2): 143-146.
13
李宏军,张玉忠. 艾滋病合并马尔尼菲青霉菌肺炎的CT表现[J]. 反射学实践2009, 24(9): 952-954.
14
任美吉,李 莉,赵 晶,等. AIDS合并播散型马尔尼菲青霉菌感染的胸腹部CT表现[J]. 新发传染病电子杂志2017, 2(4): 214 -217.
15
Masur H, Brooks JT, Benson CA, et al. Prevention and treatment of opportunistic infections in HIV-infected adults and adolescents:Updated Guidelines from the Centers for Disease Control and Prevention, National Institutes of Health,and HIV Medicine Association of the Infectious Diseases Society of America[J]. Clin Infect Dis, 2014, 58(9): 1308-1311.
16
Lau SK, Lo GC, Lam CS, et al. In vitro activity of posaconazole against Talaromyces marneffei by broth m-i crodilution and Etest methods and comparison to itraconazole,voriconazole,and anidulafungin[J]. Antimicrob Agents Chemother, 2017, 61(3): 1480-1485.
17
Zheng J, Gui X, Cao Q, et al. A clinical study of acquired immunodeficiency syndrome associated penicillium marneffei infection from a non-endemic area in China[J]. Plos One, 2015, 10(6): e0130376.
18
宏基因组分析和诊断技术在急危重症感染应用专家共识组.宏基因组分析和诊断技术在急危重症感染应用的专家共识[J].中华急诊医学杂志2019, 28(2):151-155.
19
叶 萍,孔晋亮,吴 聪,等. 不同方案治疗马尔尼菲青霉病的疗效分析[J]. 中华医院感染学杂志2016, 26(18): 4128-4131.
20
周怡宏,鲁雁秋,陈耀凯. 艾滋病合并马尔尼菲蓝状菌的诊治现状及研究进展[J]. 中国真菌学杂志2019, 14(5): 308-312.
[1] 农云洁, 黄小桂, 黄裕兰, 农恒荣. 超声在多重肺部感染诊断中的临床应用价值[J/OL]. 中华医学超声杂志(电子版), 2024, 21(09): 872-876.
[2] 曾雪灵, 杨思园, 常宇飞, 赵红心, 王凌航. 176例人类免疫缺陷病毒合并肺部感染者呼吸道病原体特点与免疫学特征[J/OL]. 中华实验和临床感染病杂志(电子版), 2024, 18(03): 142-148.
[3] 董大红, 周明虎, 李芝朋, 许正峰. 碳青霉烯类抗生素联合呼吸机治疗肺部感染的临床疗效分析[J/OL]. 中华肺部疾病杂志(电子版), 2024, 17(05): 793-796.
[4] 邢嘉翌, 龚佳晟, 祝佳佳, 陆群. 肺癌化疗患者继发肺部感染的病原菌耐药性及炎症因子变化分析[J/OL]. 中华肺部疾病杂志(电子版), 2024, 17(05): 714-718.
[5] 郑玉, 许振浪, 陈青青. 类鼻疽致肺部感染患者的治疗及药学监护分析一例[J/OL]. 中华肺部疾病杂志(电子版), 2024, 17(04): 670-672.
[6] 高瑞, 康迪斯, 秦蘅, 胡月明, 初同伟, 代丽. 加速康复管理改善膝关节置换术后肺部感染并发症和疗效的Meta分析[J/OL]. 中华肺部疾病杂志(电子版), 2024, 17(02): 234-237.
[7] 郭小琦, 张璞, 李小军, 余明, 王博. 口服醋酸泼尼松联合局部注射曲安奈德对食管早癌ESD术后食管狭窄及肺部感染的预防疗效分析[J/OL]. 中华肺部疾病杂志(电子版), 2024, 17(02): 288-291.
[8] 徐辉, 杨勇琼, 刘健, 许剑, 江佳莲, 邓正波. s-ChE、PCT、CRP在肺结核中的表达及继发肺部感染的预测意义[J/OL]. 中华肺部疾病杂志(电子版), 2024, 17(02): 292-295.
[9] 罗懿, 王洪武. 宏基因组高通量测序在肺部感染中的应用[J/OL]. 中华肺部疾病杂志(电子版), 2024, 17(02): 320-323.
[10] 刘凌卉, 程铃, 张小雪, 肖敏. 环状RNA与肺部感染的研究进展[J/OL]. 中华肺部疾病杂志(电子版), 2024, 17(01): 140-143.
[11] 陈慧, 范婷, 李春花, 黄其密, 陈晓英, 翁启明, 彭茹, 唐思, 何佳霖, 陈庆, 王旖旎, 汤玲一. 重症急性胰腺炎并发肺部感染临床分析[J/OL]. 中华肺部疾病杂志(电子版), 2023, 16(06): 856-859.
[12] 闫晶, 刘磊, 王永红. AECOPD肺部感染控制窗的影响因素分析[J/OL]. 中华肺部疾病杂志(电子版), 2023, 16(05): 715-717.
[13] 周杉京, 诸葛金科, 王芳芳. 补肺活血胶囊对COPD患者cCor、ALD、Ang-Ⅱ的影响[J/OL]. 中华肺部疾病杂志(电子版), 2023, 16(04): 517-519.
[14] 贾玲玲, 滕飞, 常键, 黄福, 刘剑萍. 心肺康复在各种疾病中应用的研究进展[J/OL]. 中华临床医师杂志(电子版), 2024, 18(09): 859-862.
[15] 华美芳, 陈莉, 张峰林, 刘忠. 出血性脑卒中术后并发肺部感染的影响因素分析[J/OL]. 中华脑血管病杂志(电子版), 2024, 18(02): 110-114.
阅读次数
全文


摘要


AI


AI小编
你好!我是《中华医学电子期刊资源库》AI小编,有什么可以帮您的吗?