切换至 "中华医学电子期刊资源库"

中华肺部疾病杂志(电子版) ›› 2025, Vol. 18 ›› Issue (05) : 821 -823. doi: 10.3877/cma.j.issn.1674-6902.2025.05.030

短篇论著

三维斑点追踪在肺癌患者免疫治疗后左心房功能损害评价的应用
李才坤1, 张又红1,(), 肖斌彬1, 温盼1, 刘醒1, 刘志栋1, 周剑辉1, 温春玲2, 叶劲1, 严恒琛2   
  1. 1514031 梅州,梅州市人民医院超声三科
    2514031 梅州,梅州市人民医院肿瘤二科
  • 收稿日期:2025-06-20 出版日期:2025-10-25
  • 通信作者: 张又红
  • 基金资助:
    2023年度梅州市社会发展科技计划项目(2023C0301177)

Application of three­dimensional speckle tracking in evaluating left atrial function damage in lung cancer patients after immunotherapy

Caikun Li, Youhong Zhang(), Binbin Xiao   

  • Received:2025-06-20 Published:2025-10-25
  • Corresponding author: Youhong Zhang
引用本文:

李才坤, 张又红, 肖斌彬, 温盼, 刘醒, 刘志栋, 周剑辉, 温春玲, 叶劲, 严恒琛. 三维斑点追踪在肺癌患者免疫治疗后左心房功能损害评价的应用[J/OL]. 中华肺部疾病杂志(电子版), 2025, 18(05): 821-823.

Caikun Li, Youhong Zhang, Binbin Xiao. Application of three­dimensional speckle tracking in evaluating left atrial function damage in lung cancer patients after immunotherapy[J/OL]. Chinese Journal of Lung Diseases(Electronic Edition), 2025, 18(05): 821-823.

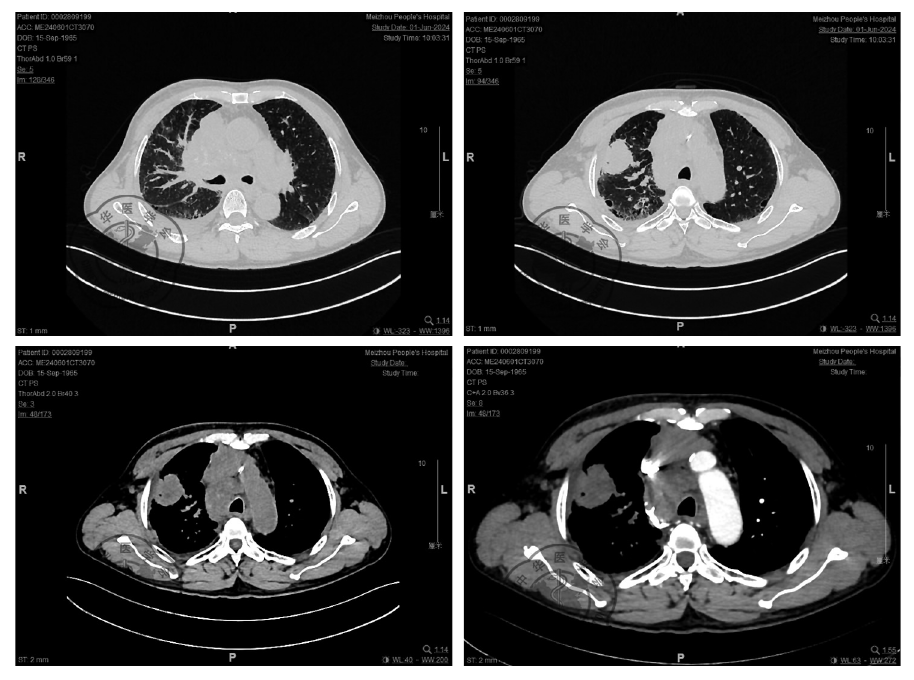
图1 患者胸部CT典型征象右肺上叶前段可见一团块影,截面约3.4 cm×4.5 cm,边界清,边缘可见分叶,其内密度欠均匀,增强扫描呈欠均匀轻度强化,右肺部分小叶间隔增厚,双肺透亮度增强,双肺支气管血管束增多、增粗、部分模糊,走行僵硬,双肺可见散在斑片状密度增高模糊影;双肺上叶可见散在大小不一薄壁囊状透亮影,边界清。心脏不大,心包内可见少量液性密度影,冠状动脉、主动脉壁可见斑点状钙化灶。右侧胸腔可见新月状液性低密度灶
表1 治疗前后患者心功能(±s)
1
李慧慧,梁斐,曾剑. ⅠB~ⅢA期可切除非小细胞肺癌辅助化疗后序贯阿替利珠单抗对比最佳支持治疗:IMpower010研究解读[J]. 肿瘤学杂志2022, 28(12): 1052-1062.
2
冯雨. 辅助化疗后辅助阿替利珠单抗治疗可提高可切除的ⅠB~ⅢA期非小细胞肺癌的无病生存期[J]. 中华医学杂志2022, 102(19): 1444-1449.
3
颜博,张然,袁智勇,等. 免疫治疗导致的心脏毒性相关研究进展[J]. 癌症2023, 42(9): 473-483.
4
Gilon D, Iakobishvili Z, Leibowitz D. The diagnosis and management of immune checkpoint inhibitor cardiovascular toxicity: Myocarditis and beyond[J]. Vaccines (Basel), 2022, 10(2): 304.
5
孙涛. 2023版CSCO肿瘤心脏病学指南中化疗及免疫治疗心脏毒性的更新要点解读[J]. 实用肿瘤杂志2023, 38(5): 434-439.
6
Goody PR, Zimmer S, Öztürk C, et al. 3D-speckle-tracking echocardiography correlates with cardiovascular magnetic resonance imaging diagnosis of acute myocarditis-An observational study[J]. Int J Cardiol Heart Vasc, 2022, 41: 101081.
7
AL Saikhan L, Park C, Tillin T, et al. Does 3D-speckle tracking echocardiography improve prediction of major cardiovascular events in a multi-ethnic general population? A Southall and Brent Revisited (SABRE) cohort study[J]. PLoS One, 2023, 18(6): e0287173.
8
方慧杰,张鑫,翟玉翠,等. 肾细胞癌患者舒尼替尼治疗前后三维斑点追踪成像参数值变化及对心脏毒性的预警价值[J]. 新疆医科大学学报2024, 47(6): 854-861.
9
中华医学会肿瘤学分会,中华医学会杂志社. 中华医学会肺癌临床诊疗指南(2022版)[J]. 中华肿瘤杂志2022, 44(6): 457-490.
10
陈婷婷,杨艳玲,韩好男,等. 免疫治疗时代广泛期小细胞肺癌的放疗进展[J]. 中国肺癌杂志2025, 28(5): 353-362.
11
刘国强,康朔. 阿替利珠单抗联合标准化疗方案治疗广泛期小细胞肺癌的成本-效用分析[J]. 中国药房2021, 32(1): 77-81.
12
Lei Sheng, Jing Gao, Qian Xu, 等. 依据驱动基因野生型晚期非小细胞肺癌患者的特定病理学特征选择最佳的一线免疫治疗:一项系统回顾和网状荟萃分析[J]. 中华肿瘤防治杂志2022, 29(1): 1-14.
13
闫静静,刘韶瑜,葛洪霞,等. 免疫检查点抑制剂相关心肌炎的临床诊治进展[J]. 中国循环杂志2025, 40(2): 197-202.
14
张晶,秦晓涵,都乐,等. 免疫检查点抑制剂相关非心肌炎心脏毒性的诊疗进展[J]. 临床内科杂志2023, 40(2): 79-82.
15
李秋月,周彦君,王笑林,等. 肺癌患者免疫治疗相关心脏毒性早期识别及预防的研究进展[J]. 中华现代护理杂志2024, 30(8): 1116-1120.
16
张燕,安涛,张宇辉,等. 肿瘤免疫治疗相关的心脏毒性特点分析[J]. 中华心力衰竭和心肌病杂志(中英文), 2023, 7(2): 97-102.
17
蔡青青,程蕾蕾. 免疫检查点抑制剂相关心脏毒性研究进展[J]. 中国临床医学2024, 31(4): 531-536.
18
刘志月,刘梅,黄鹤,等. 实时三维超声心动图及三维斑点追踪技术评估左心室射血分数保留的多发性骨髓瘤患者左心房功能的价值[J]. 临床心血管病杂志2021, 37(10): 936-942.
19
Li M, Lv Q, Zhang Y, et al. Serial changes of right ventricular function assessed by three-dimensional speckle-tracking echocardiography in clinically well adult heart transplantation patients[J]. Int J Cardiovasc Imag, 2023, 39(4): 725-736.
20
陈婧,张松涛. 4DAutoVQ、3D-STI在老年慢性心力衰竭患者心功能评价中的应用研究[J]. 新疆医科大学学报2023, 46(1): 86-92.
21
朵天军,朱战英,赵彩虹,等. 3D-STI下左心房功能参数与冠状动脉病变严重程度的相关性[J]. 中南医学科学杂志2023, 51(6): 946-948.
22
阎琳,唐力,马春燕,等. 二维斑点追踪成像评价蒽环类抗肿瘤药对乳腺癌患者左房功能的影响[J]. 临床超声医学杂志2014, 16(11): 729-732.
23
王凤霞,陶静,燕建锋,等. 3D-STI在ECMO辅助下复杂冠脉病变患者PCI术前后心功能评估中的应用[J]. 中国医疗设备2021, 36(5): 91-94.
24
梁帅,赵美娜,王晓辉,等. 超声3D-STI参数联合血清NT-proBNP水平对急性心肌梗死患者PCI术后不良心血管事件的预测价值[J]. 川北医学院学报2025, 40(6): 751-754.
25
马晓,唐国璋,赵亮,等. 左房扩张指数联合三维斑点追踪技术评价心房颤动的左心房功能[J]. 中国超声医学杂志2023, 39(5): 519-522.
26
Al Saikhan L, Park C, Tillin T, et al. Does 3D-speckle tracking echocardiography improve prediction of major cardiovascular events in a multi-ethnic general population? A Southall and Brent Revisited (SABRE) cohort study[J]. PLoS One, 2023, 18(6): e0287173.
[1] 高瞻, 唐莎莎, 秦蘅, 王关嵩, 张雯. 慢性阻塞性肺疾病合并肺癌的临床特征及危险因素分析[J/OL]. 中华肺部疾病杂志(电子版), 2025, 18(05): 685-690.
[2] 唐雪飞, 蒋润民, 倪云峰, 雷杰, 王文辰, 赵雅波, 马首政, 姜涛. 小细胞肺癌和大细胞神经内分泌癌微生物群特征[J/OL]. 中华肺部疾病杂志(电子版), 2025, 18(05): 721-726.
[3] 高红, 潘冬青, 陈凤, 张林香, 苗素琴, 韩坤秀, 曲乐, 闫萍. 胸腔镜支气管肺癌肺段切除术后中重度急性疼痛风险分析[J/OL]. 中华肺部疾病杂志(电子版), 2025, 18(05): 732-736.
[4] 贾贝丽, 冯雅琳, 林苏杰, 刘婧, 张雪丽, 周亚菲. 肺癌患者化疗期间院内肺部感染临床特征及其影响因素[J/OL]. 中华肺部疾病杂志(电子版), 2025, 18(05): 742-746.
[5] 吴靓, 石晴晴, 徐海龙, 江海城, 李健, 宋志静, 赵盼盼. 超声引导下前锯肌平面阻滞联合全身麻醉对肺癌胸腔镜肺叶切除术后镇痛及肺功能的影响[J/OL]. 中华肺部疾病杂志(电子版), 2025, 18(05): 773-778.
[6] 陈璐, 鲁静, 帅维正, 狄守印, 王倩, 陶莎, 杨玉晶. 全程肺康复管理在肺癌患者胸腔镜围术期的临床应用[J/OL]. 中华肺部疾病杂志(电子版), 2025, 18(05): 811-813.
[7] 张青, 吴灵芝, 冯契靓, 陈荣荣, 秦二云, 张诚实, 赵云峰, 雷撼, 刘明. 黄芪多糖调控CEACAM7通过EMT通路抑制肺癌A549细胞恶性生物学行为的机制研究[J/OL]. 中华肺部疾病杂志(电子版), 2025, 18(04): 552-557.
[8] 王大泉, 应开军, 孙云浩, 王尧. 胸腔镜支气管袖式切除术对肺癌患者术后并发症及呼吸功能的影响[J/OL]. 中华肺部疾病杂志(电子版), 2025, 18(04): 620-625.
[9] 王勇, 董家才, 关江, 何晋琴, 戴红霞, 刘经伟, 张永伦, 郑重庆. 胸腔内迷走神经阻滞复合全身麻醉在胸腔镜肺癌肺叶切除术中的临床应用[J/OL]. 中华肺部疾病杂志(电子版), 2025, 18(04): 626-631.
[10] 孙晓容, 钟瑶, 张雯, 刘佳铭, 叶东樊. 肺癌免疫治疗并发脊髓炎救治成功一例[J/OL]. 中华肺部疾病杂志(电子版), 2025, 18(04): 657-659.
[11] 周玲, 肖颖, 李秋诗, 陈兆毅, 李琪, 吴园明. 亚麻木酚素通过circRNA HIPK3影响非小细胞肺癌A549 细胞凋亡及铁死亡的机制研究[J/OL]. 中华肺部疾病杂志(电子版), 2025, 18(03): 362-368.
[12] 刘晓青, 张又丹, 张雪玲, 戴纪刚, 刘权兴. 数字化患者画像动态症状模型在肺癌术后管理中的意义[J/OL]. 中华肺部疾病杂志(电子版), 2025, 18(03): 429-433.
[13] 程颖慧, 孙娟, 杨冬梅, 朱晓俊, 程鹤, 郝月琴. 胸腔镜肺癌根治术后并发症影响因素分析[J/OL]. 中华肺部疾病杂志(电子版), 2025, 18(03): 442-446.
[14] 曹冬霞, 杨恩艳, 付启梅, 徐心怡, 王荣花, 张静文. 多模式呼吸训练仪结合全程肺康复训练管理在肺癌胸腔镜围术期的临床应用[J/OL]. 中华肺部疾病杂志(电子版), 2025, 18(02): 295-299.
[15] 喻星豪, 黄娜, 刘罡. 肺癌的靶向与免疫联合治疗的研究进展[J/OL]. 中华肺部疾病杂志(电子版), 2025, 18(02): 330-333.
阅读次数
全文


摘要


AI


AI小编
你好!我是《中华医学电子期刊资源库》AI小编,有什么可以帮您的吗?